- 枚方市の歯医者なら「宮園歯科医院」
- スタッフブログ
- インプラント治療の治療期間
インプラント治療の治療期間
Warning: Trying to access array offset on value of type bool in /home/xs831370/miyazono-dc.com/public_html/wp/wp-content/themes/miyazono-dc/single-blog.php on line 112
Warning: Trying to access array offset on value of type bool in /home/xs831370/miyazono-dc.com/public_html/wp/wp-content/themes/miyazono-dc/single-blog.php on line 112
Warning: Trying to access array offset on value of type bool in /home/xs831370/miyazono-dc.com/public_html/wp/wp-content/themes/miyazono-dc/single-blog.php on line 112
Warning: Trying to access array offset on value of type bool in /home/xs831370/miyazono-dc.com/public_html/wp/wp-content/themes/miyazono-dc/single-blog.php on line 112
Warning: Trying to access array offset on value of type bool in /home/xs831370/miyazono-dc.com/public_html/wp/wp-content/themes/miyazono-dc/single-blog.php on line 112
Warning: Trying to access array offset on value of type bool in /home/xs831370/miyazono-dc.com/public_html/wp/wp-content/themes/miyazono-dc/single-blog.php on line 112
枚方市の歯医者、宮園歯科医院です!
患者様にご質問頂く、インプラント治療の治療期間について詳しく解説いたします。
①抜歯後4ヶ月以上経過している場合
治療期間3〜4ヶ月
すぐにでもインプラント埋入が可能です。
インプラント埋入後に上顎なら4ヶ月、下顎なら3ヶ月で被せ物が入り、治療終了となります。
②抜歯がまだ済んでいない場合
治療期間6〜8ヶ月
上顎は抜歯後4ヶ月でインプラント埋入、インプラント埋入後、4ヶ月後に被せ物が入り治療終了です。(計8ヶ月)
下顎は抜歯後3ヶ月でインプラント埋入、インプラント埋入後、3ヶ月後に被せ物が入り治療終了です。(計6ヶ月)
骨造成手術をインプラント埋入と同時に行える場合は治療期間は上記と同じになります。
※抜歯当日にインプラントを埋入する方法(抜歯即時埋入)の場合は
上顎4ヶ月、下顎3ヶ月で治療終了となりますが、骨や歯肉の状態により出来ない場合もあります。
また通常と異なり、人工骨などの材料を使う必要があるため、費用が普通のインプラントより5〜10万円余計にかかってしまいます。
③骨が少なくインプラント埋入前に骨造成が必要な場合
治療期間9〜10ヶ月
骨造成を初めに行い半年経過後に、インプラントを埋入し上顎なら4ヶ月、下顎なら3ヶ月後に被せ物が入り治療終了です。
※抜歯が終わっていない場合は抜歯して抜歯窩が治癒してからの骨造成となるため、さらに3〜4ヶ月治療期が増えます。
④全体の噛み合わせが崩れており、噛み合わせ治療(咬合再構成)が必要な場合
治療期間12ヶ月〜
※患者様のお口の状態により治療期間が変わります。
当院で治療している症例をご紹介します。
初診時

他院で入れ歯を作ったが、食事がしづらいのでインプラント治療を希望され来院されました。
噛み合わせの面が崩れていたため、噛み合わせの修正を行なっていきます。
診断用ワックスアップ

全額にわたる治療の場合、患者様に術後の完成した状態を想像していただくのは難しいため、技工士が制作した診断用ワックスアップを確認していただき治療を進めます。
基本治療終了後

入れ歯と被せ物で噛み合わせの修正が終わった状態です。
ここまでで初めて来院していただいてから、2ヶ月弱となります。
この患者様はこの後、上顎の骨が少なかっためサイナスリフトを行い半年経過後にインプラントを5本埋入しました。
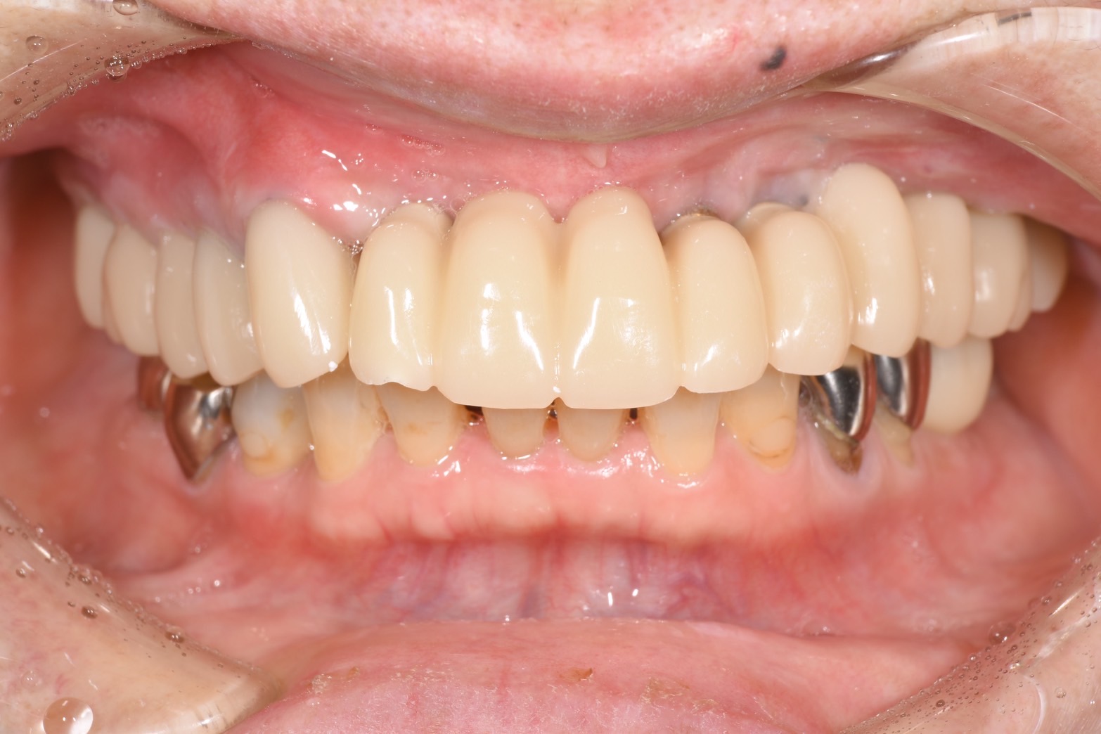
インプラント埋入4ヶ月


完成したプラスチックの仮歯をセットした状態です。
ここまでで治療スタートから12ヶ月経過しました。
今後の治療の内容
前歯の歯茎が薄く、長期的に見ると歯茎が下がってしまい、見栄えが悪くなりインプラントの寿命も短くなる可能性があるため仮歯の段階で、歯肉移植をすすめ、歯肉が安定してから最終のセラミックに移行します。
枚方市でインプラントや入れ歯でお困りがございましたらお問い合わせください。
院長 宮園 智之 - Tomoyuki Miyazono
枚方市の歯医者「宮園歯科医院」では、患者様に寄り添って症状やお悩みをお聞きし、ご納得いただいたうえで治療を進めることを重視しています。当院が常に心掛けているのは、患者様にとって安心できる歯科治療を行うことです。 こちらでは、当院の診療理念と院長についてご紹介しています。当院での治療をご検討中の方は、まずは当院の歯科治療に対する考え方をご覧ください。当院は、皆様が安心して通える歯科医院を目指して日々力を尽くしています。
経歴
- 大阪府枚方市出身
- 2006年 高槻高等学校 卒業
- 2013年 朝日大学 歯学部 卒業
- 2014年 朝日大学病院 勤務
- 2015年 大阪府内医療法人 勤務
- 2017年 大阪府内医療法人 院長 理事就任
- 2020年 宮園歯科医院 勤務
- 2022年 宮園歯科医院 院長就任
所属・学会
- JIADS エンドコース
- JIADS 補綴コース
- JIADS デンチャーコース
- JIADS ペリオコース
- JIADS 再生医療コース
- 大森塾 5期
- 日本臨床歯周病学会 会員
- 日本口腔インプラント学会・JACID