症例紹介

  • Top
  • 症例紹介
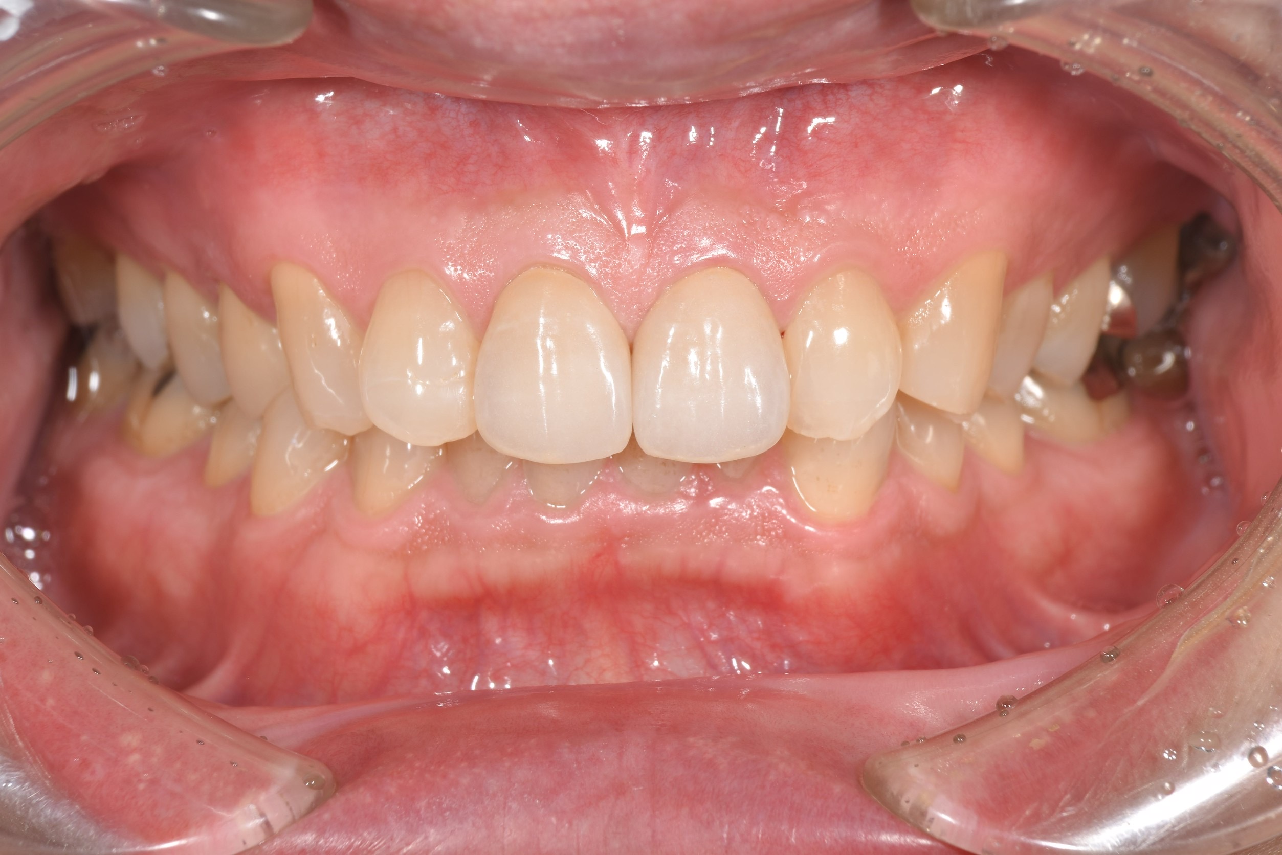
  • 前歯のインプラント抜歯即時埋入 前歯のインプラント抜歯即時埋入

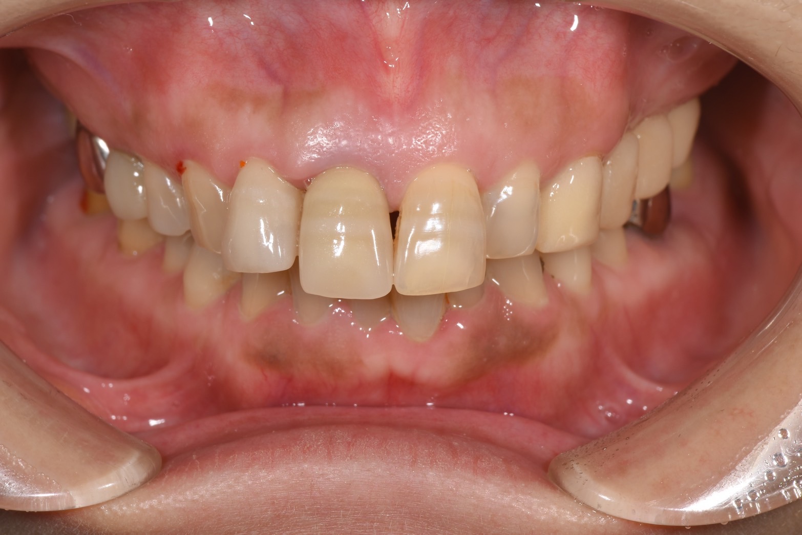
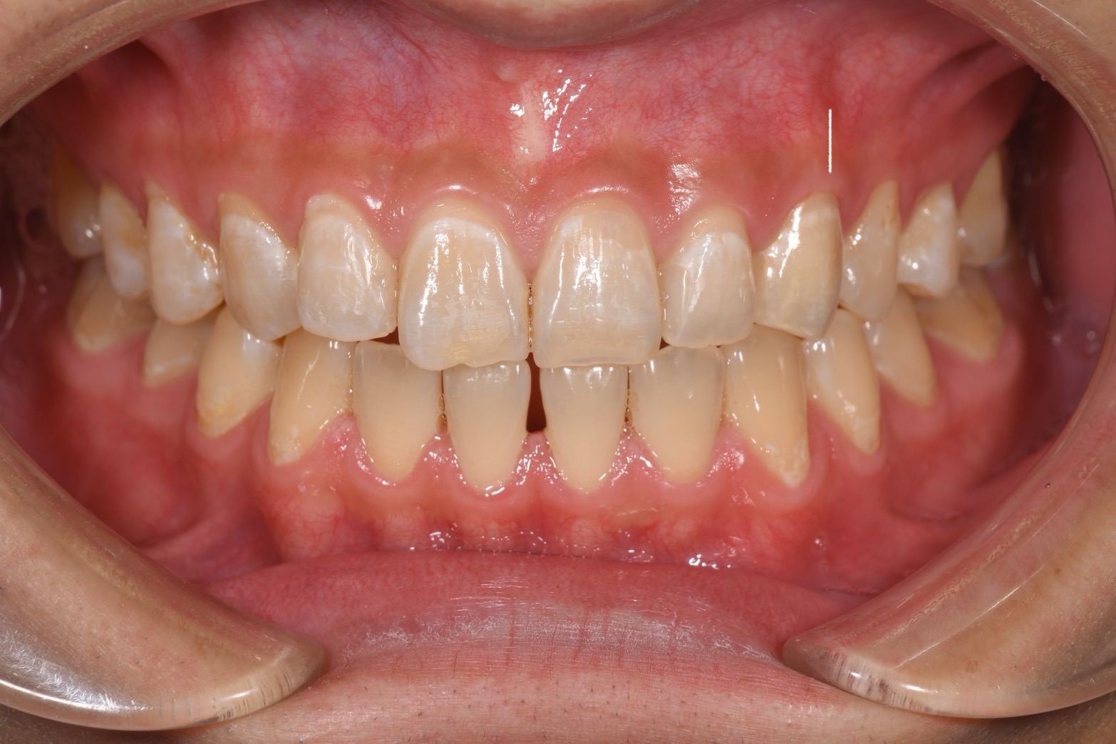
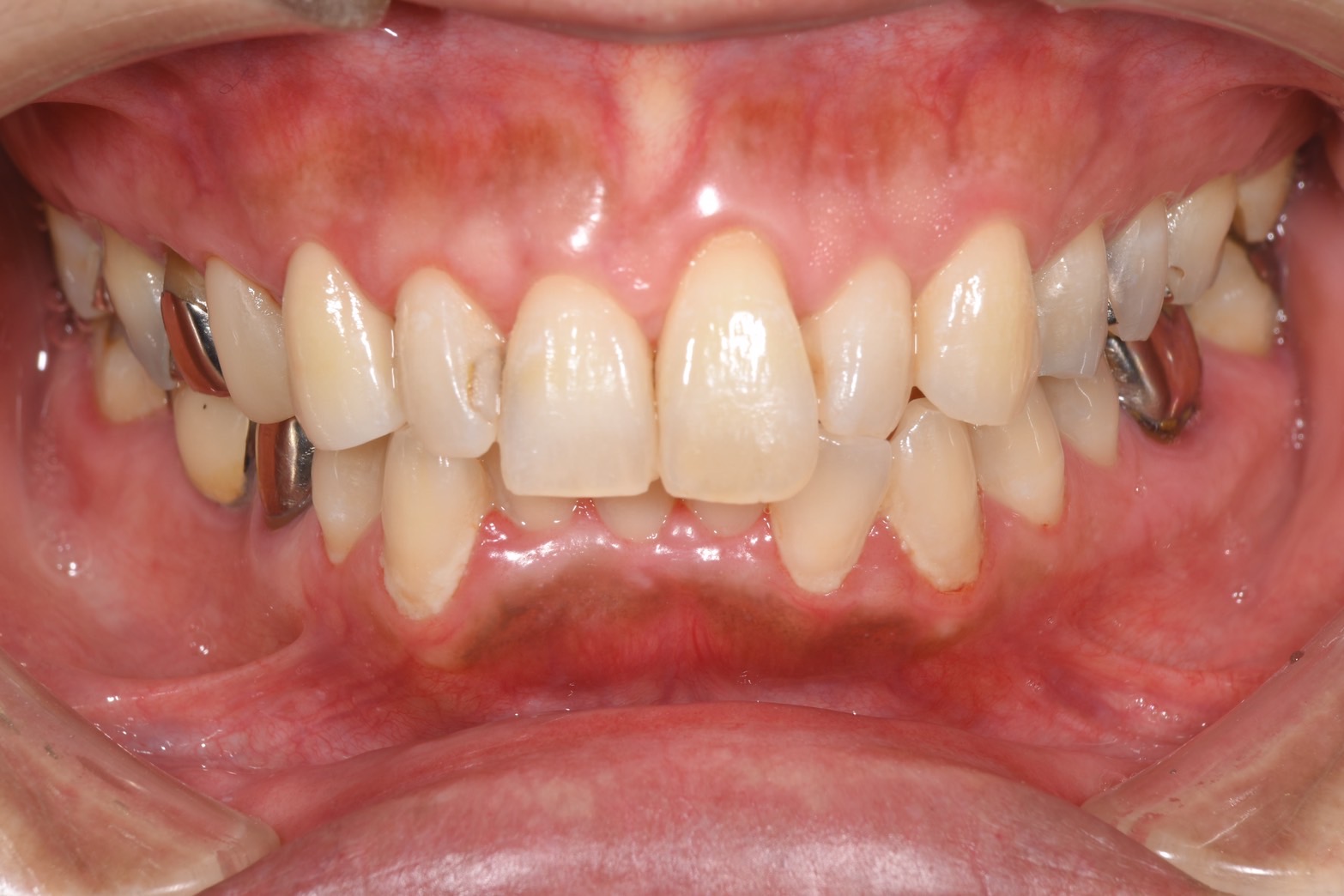
    前歯のインプラント抜歯即時埋入

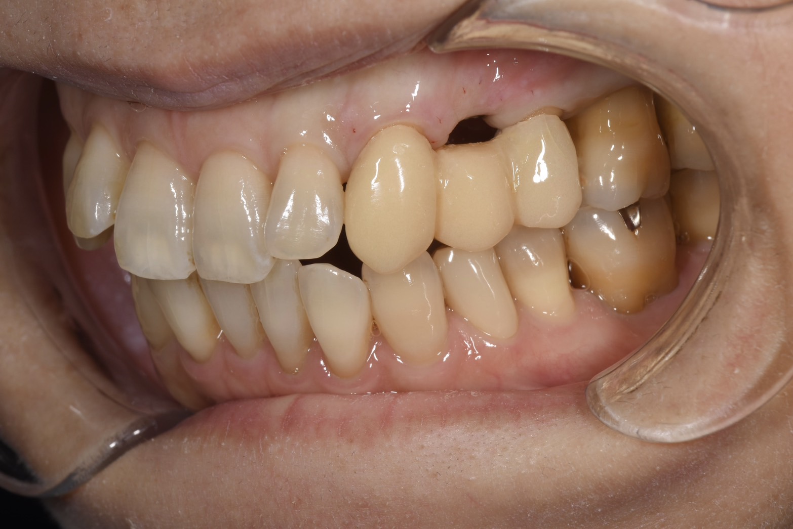
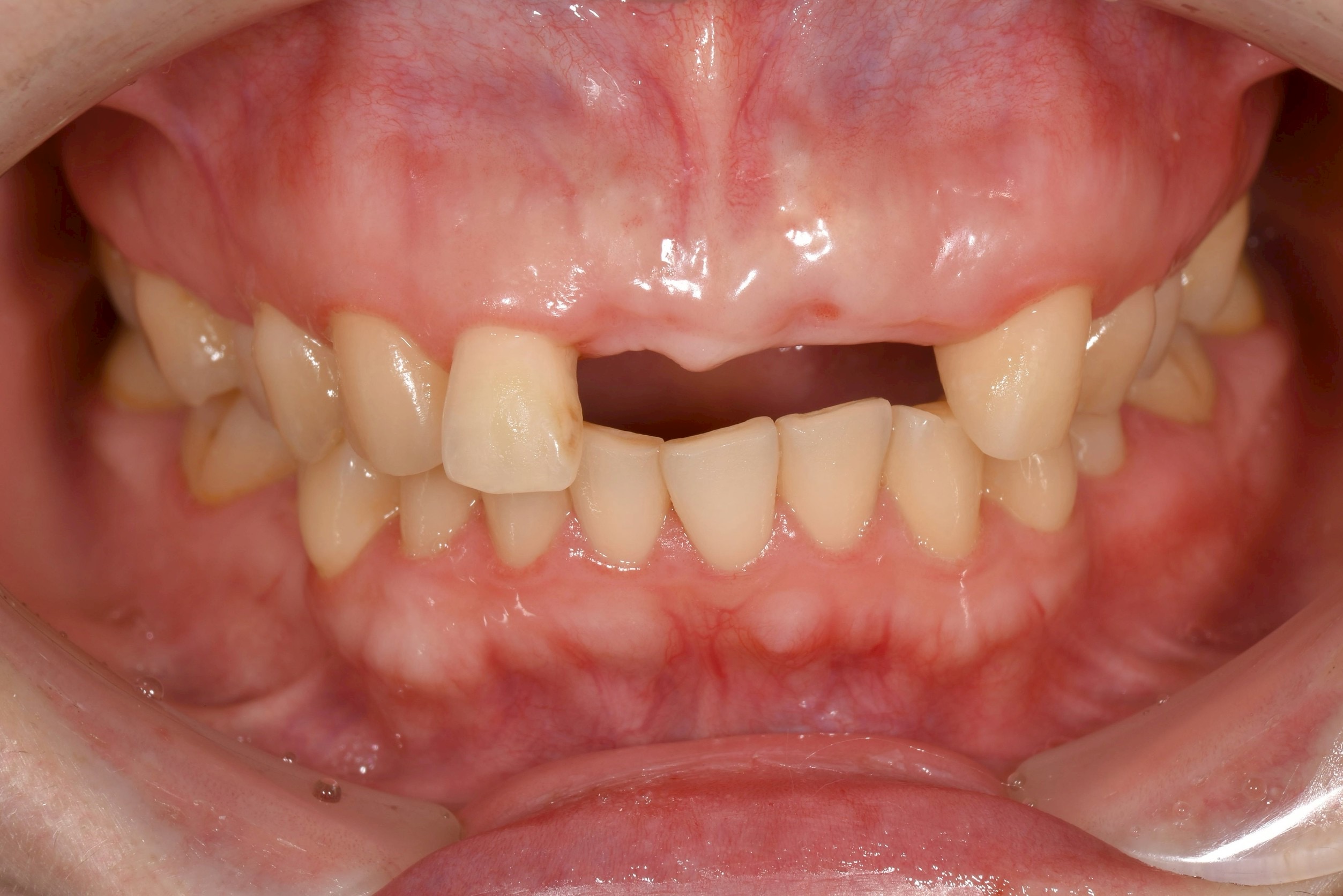
  • 折れた前歯3本をインプラントで治療 折れた前歯3本をインプラントで治療

    折れた前歯3本をインプラントで治療

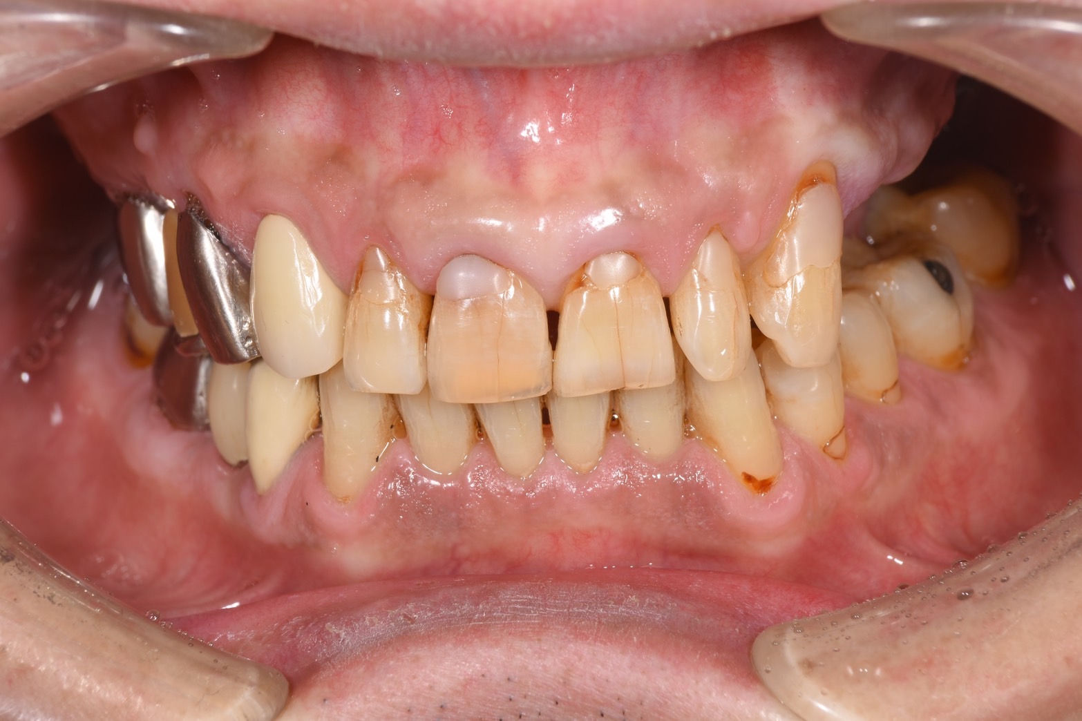
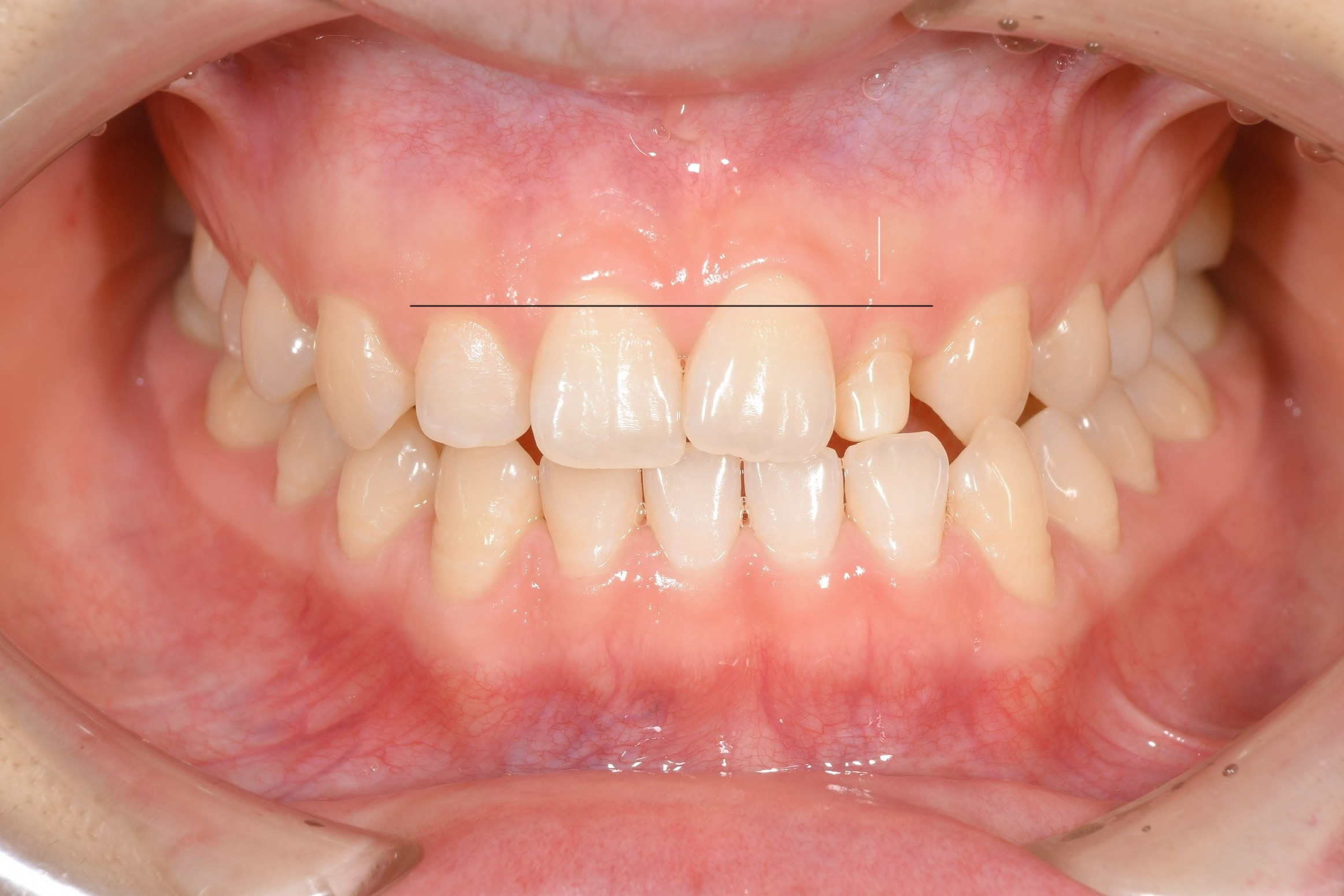
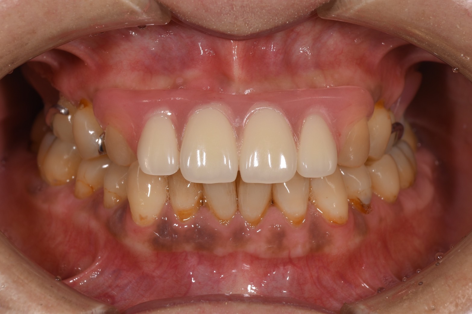
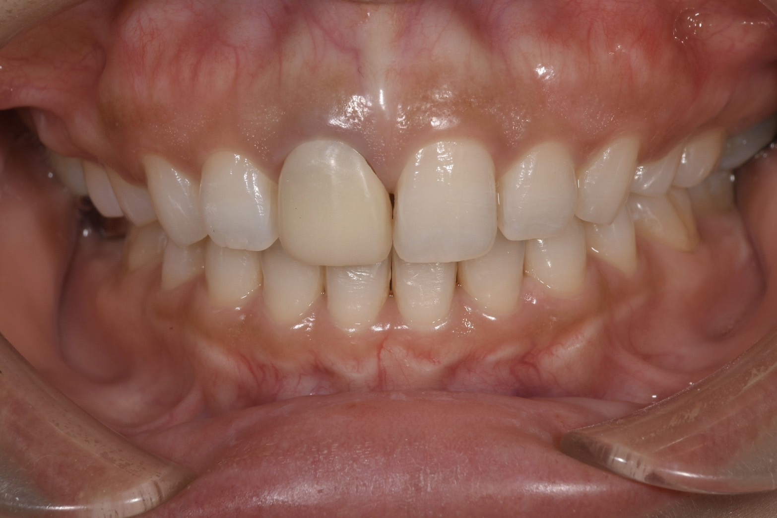
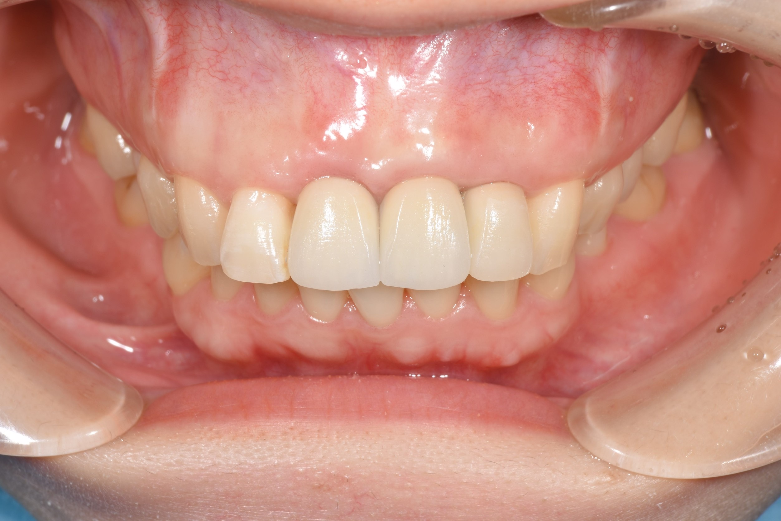
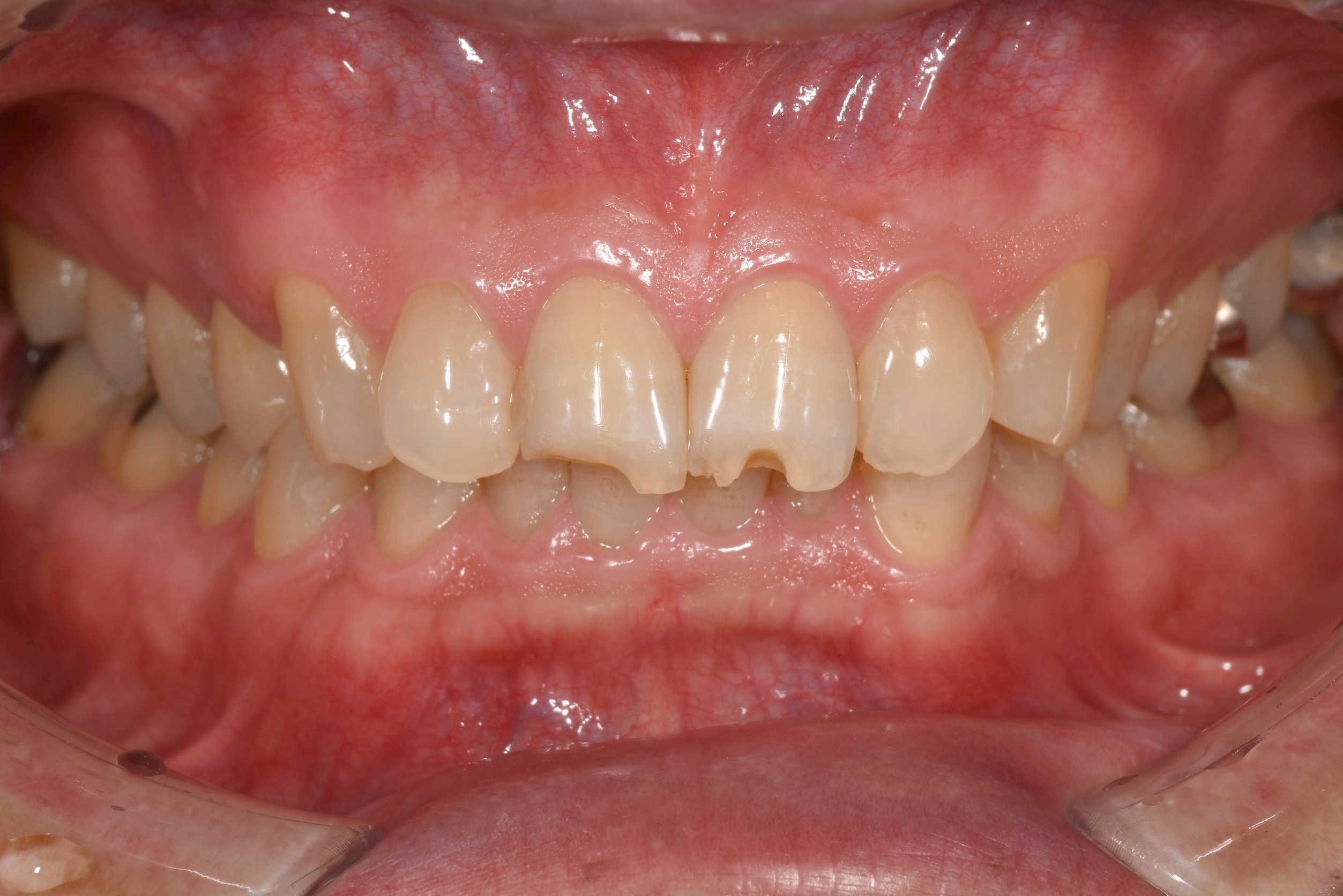
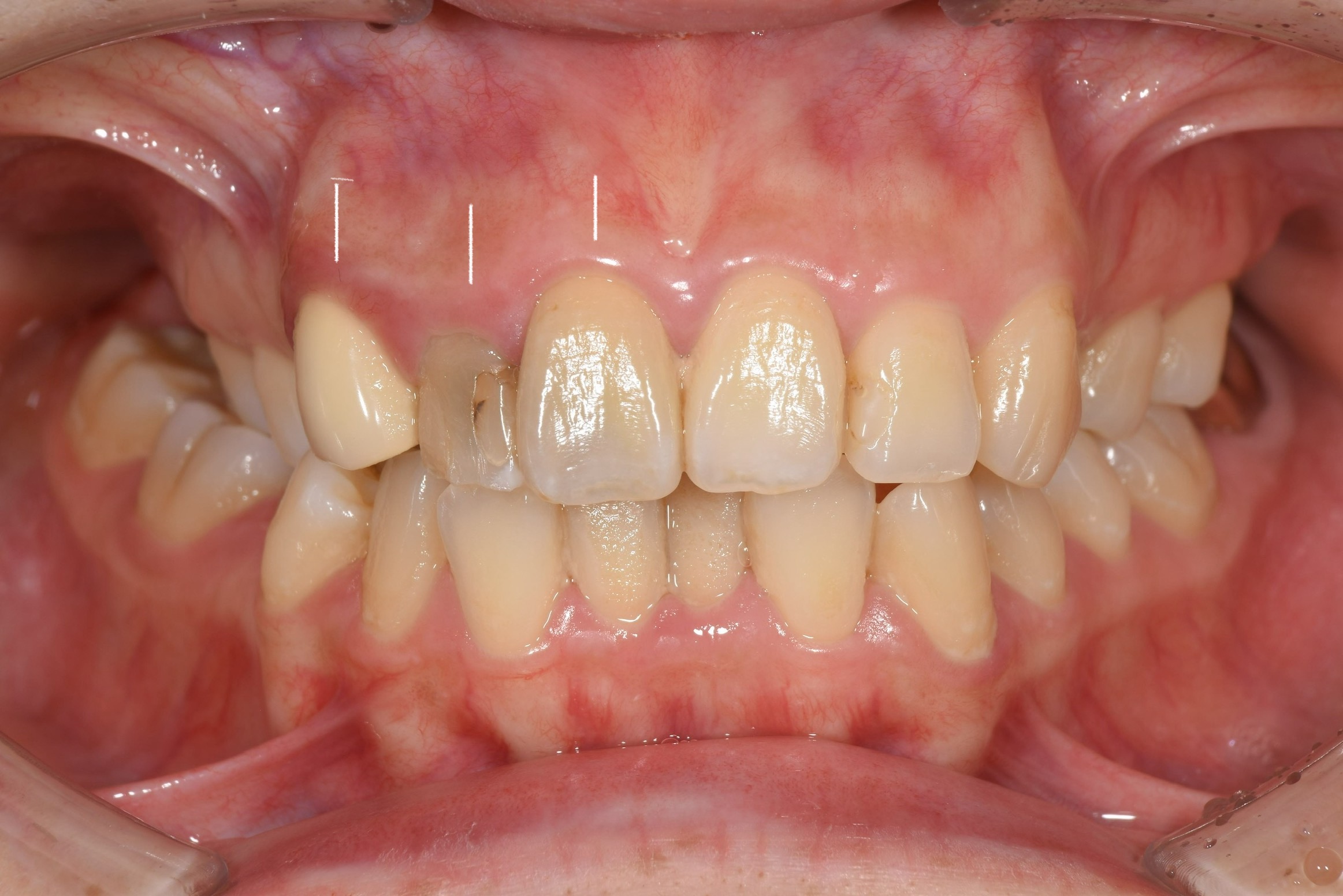
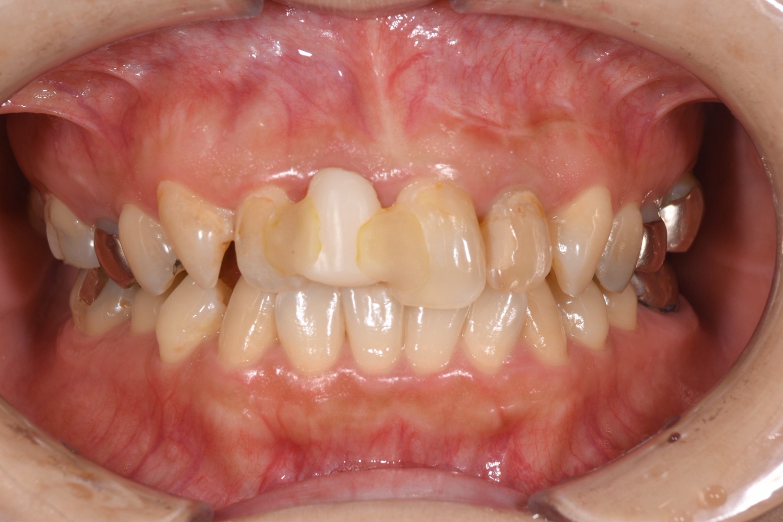
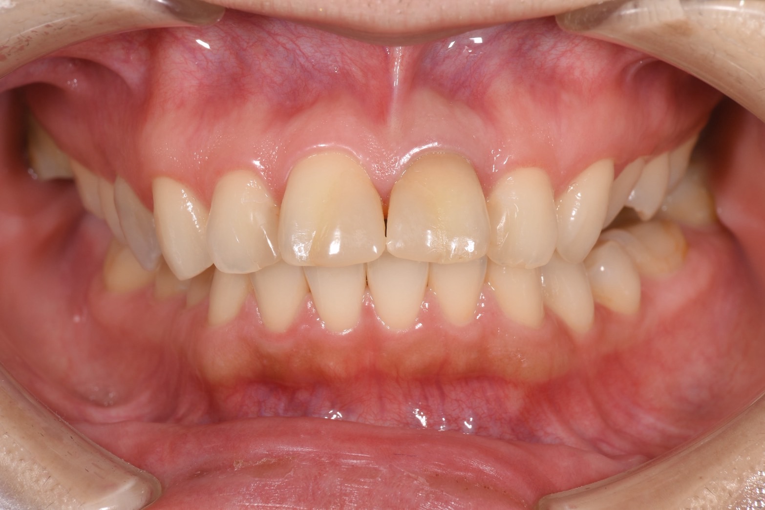
  • 欠けた前歯2本をセラミックで治療 欠けた前歯2本をセラミックで治療

    欠けた前歯2本をセラミックで治療

  • 前歯二本をセラミッククラウンで治療 前歯二本をセラミッククラウンで治療

    前歯二本をセラミッククラウンで治療

  • 前歯二本の色、形、並びをセラミックで治療 前歯二本の色、形、並びをセラミックで治療

    前歯二本の色、形、並びをセラミックで治療

  • 変色した歯をセラミックで治療 変色した歯をセラミックで治療

    変色した歯をセラミックで治療

  • 前歯のセラミックブリッジ 前歯のセラミックブリッジ

    前歯のセラミックブリッジ

  • 前歯の色、形、並びをセラミックで治療 前歯の色、形、並びをセラミックで治療

    前歯の色、形、並びをセラミックで治療

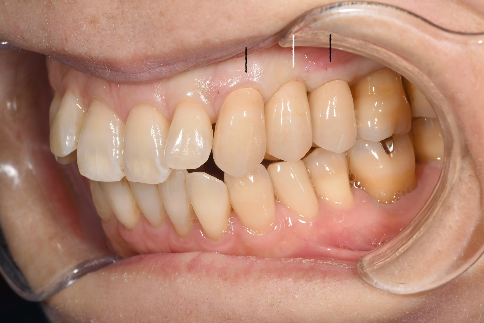
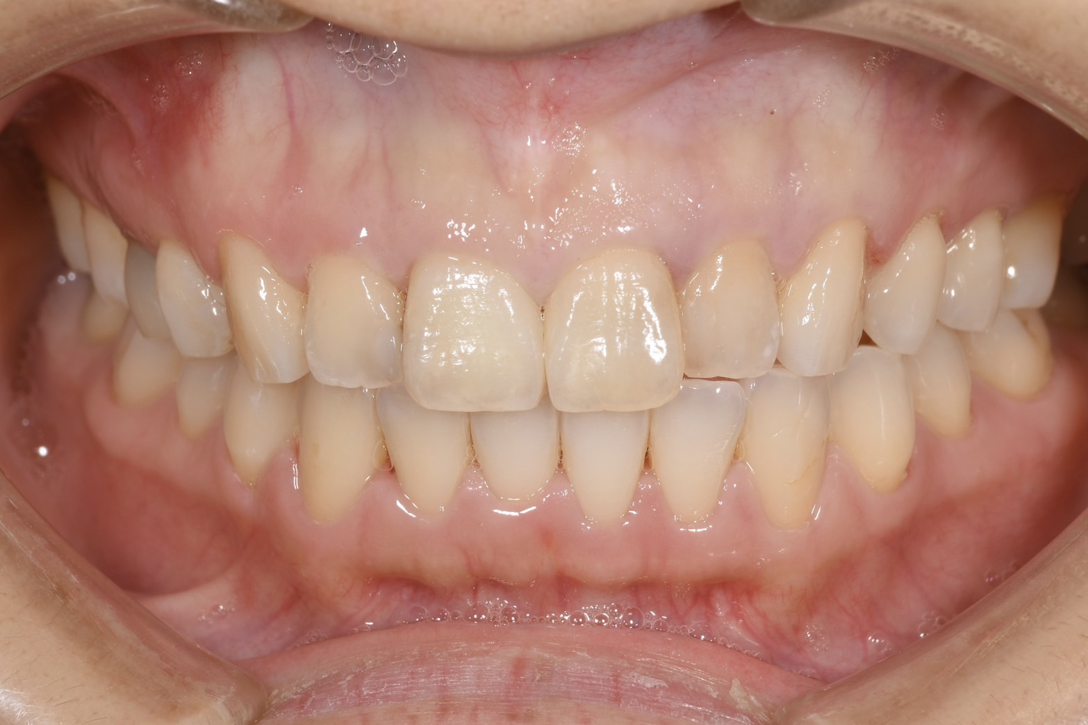
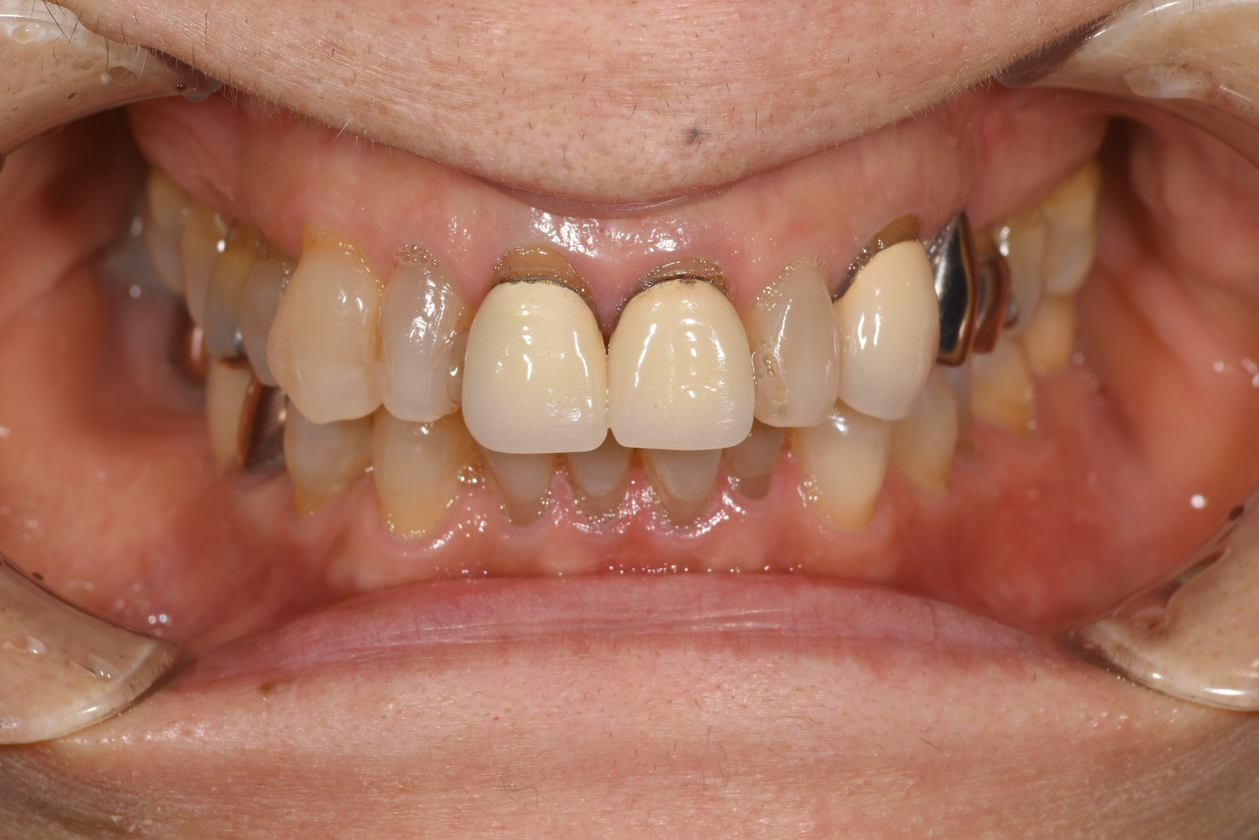
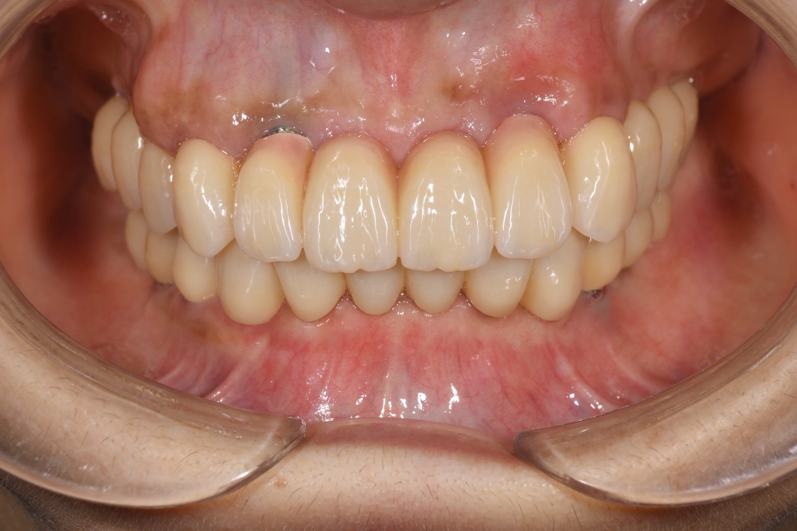
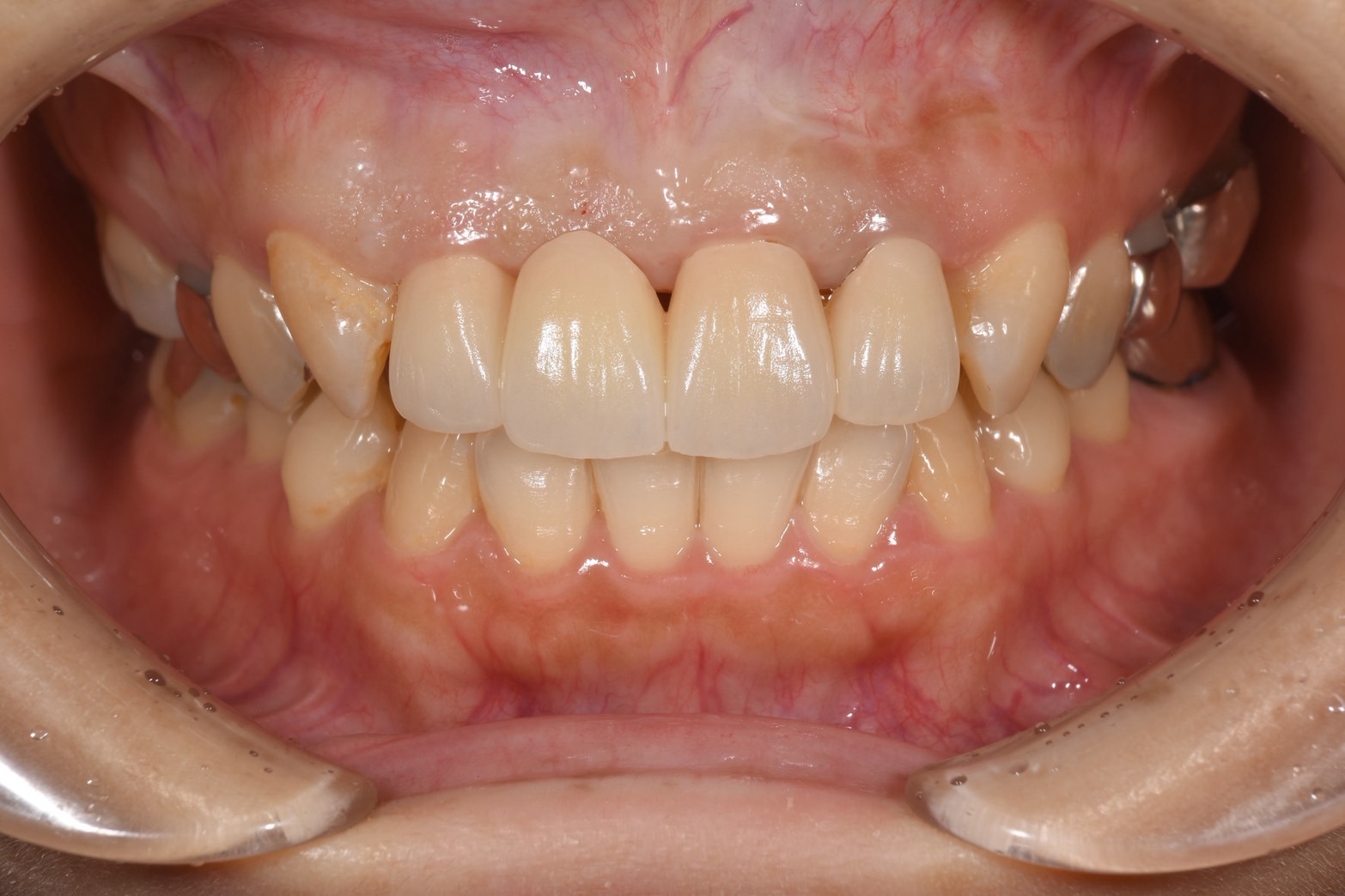
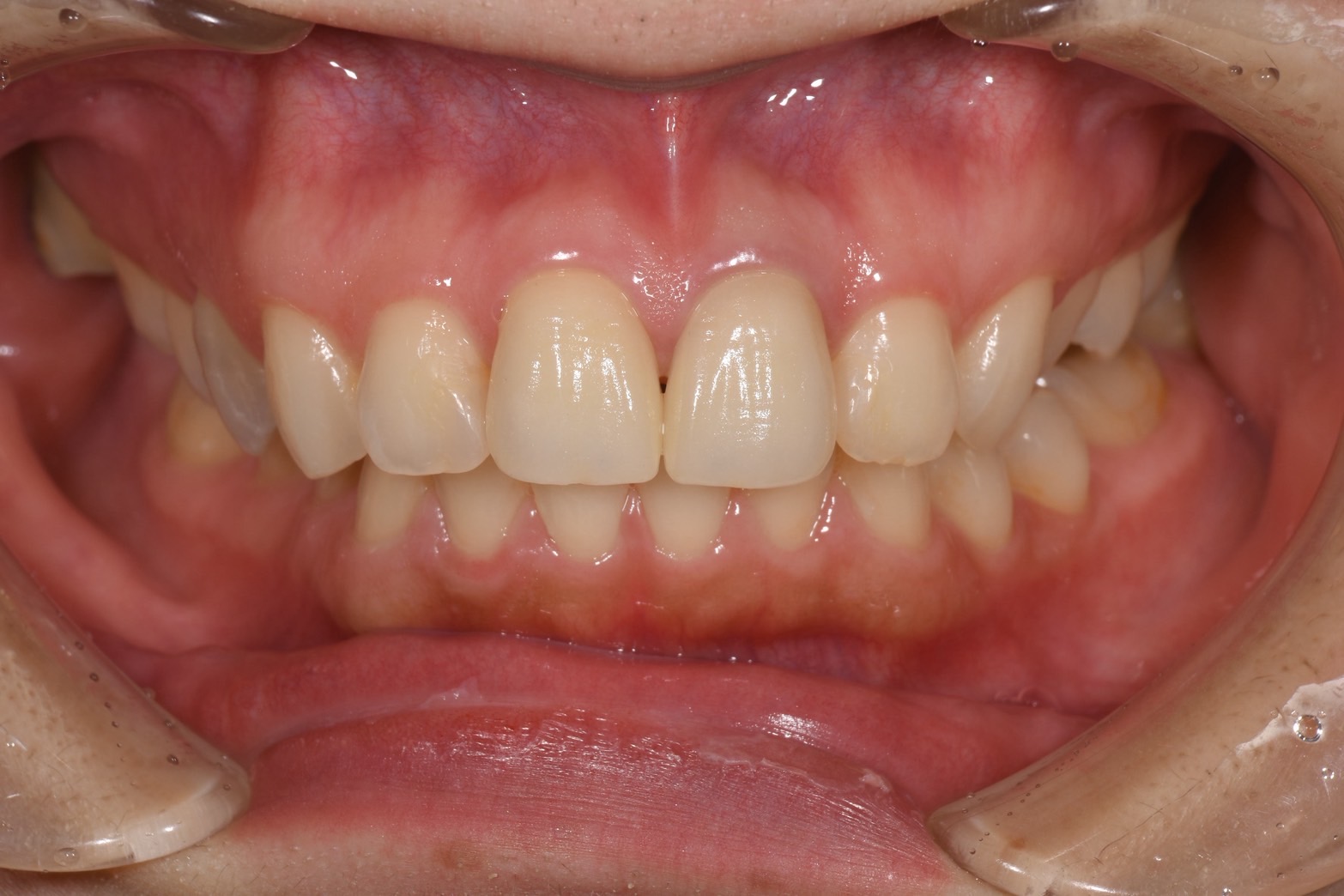
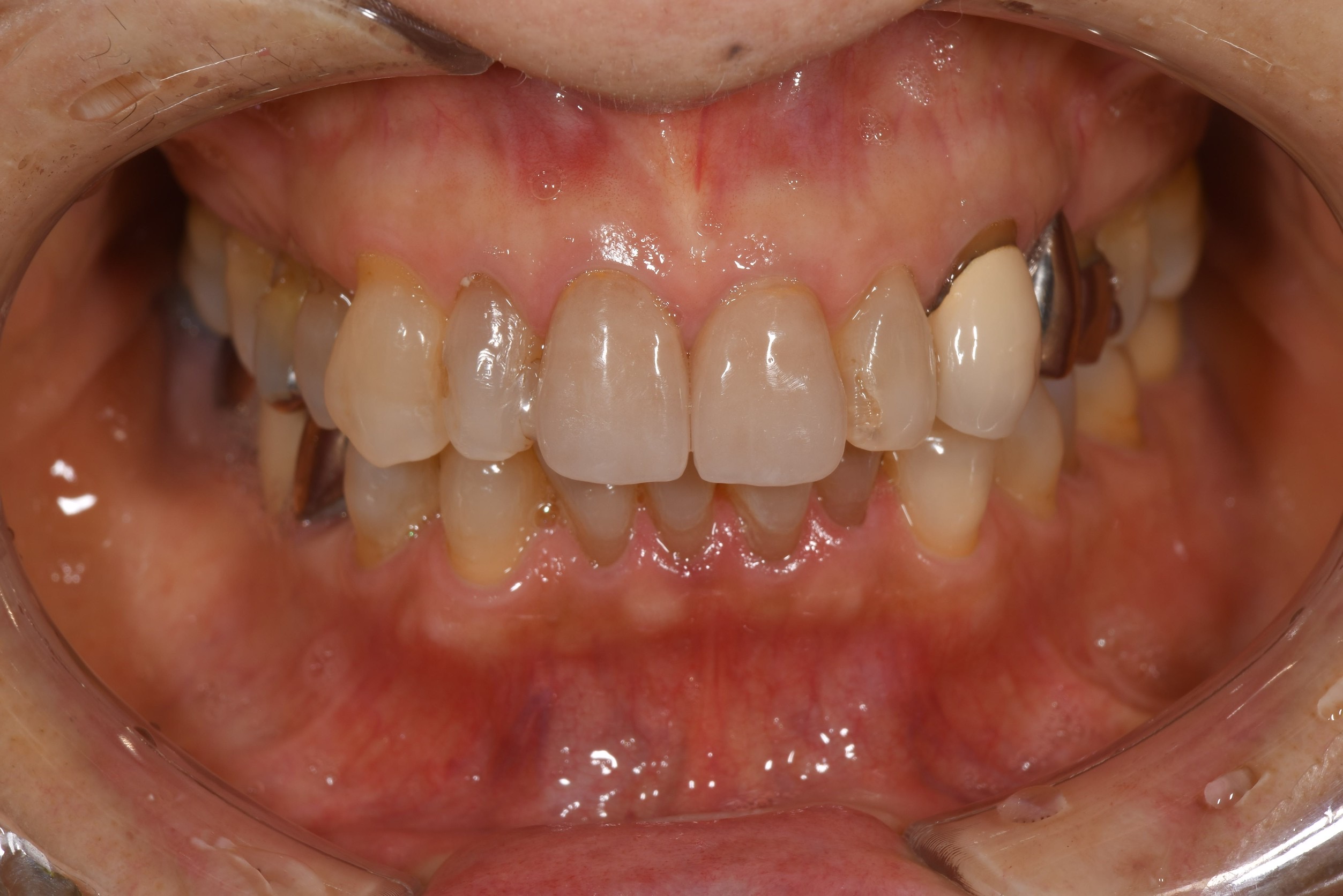
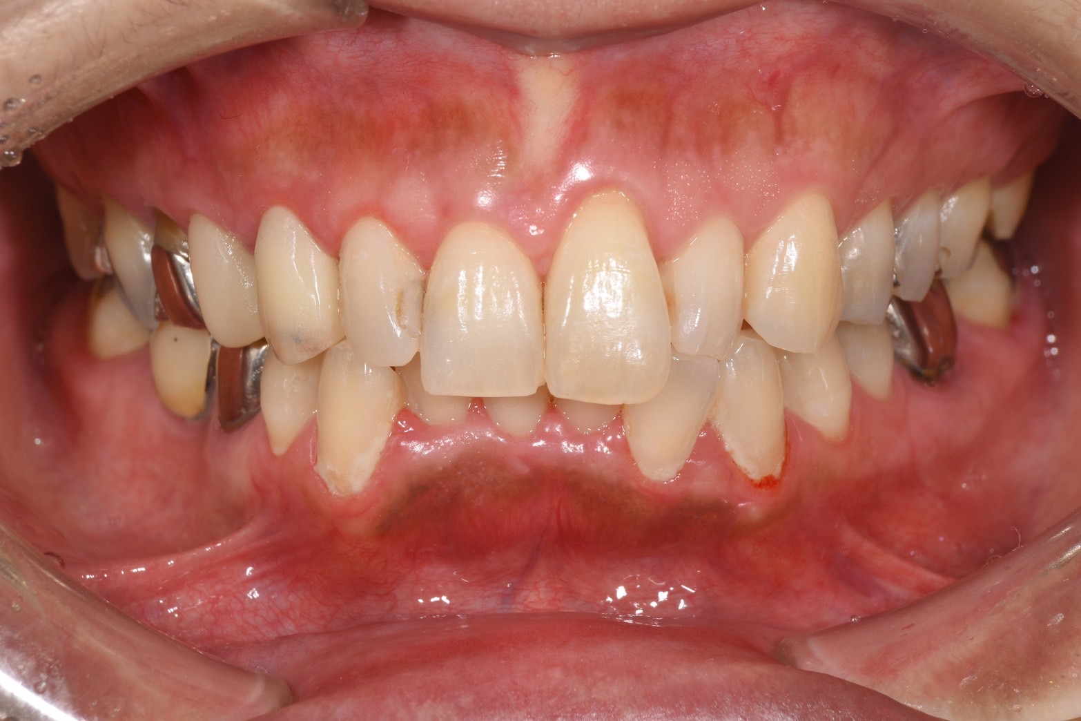
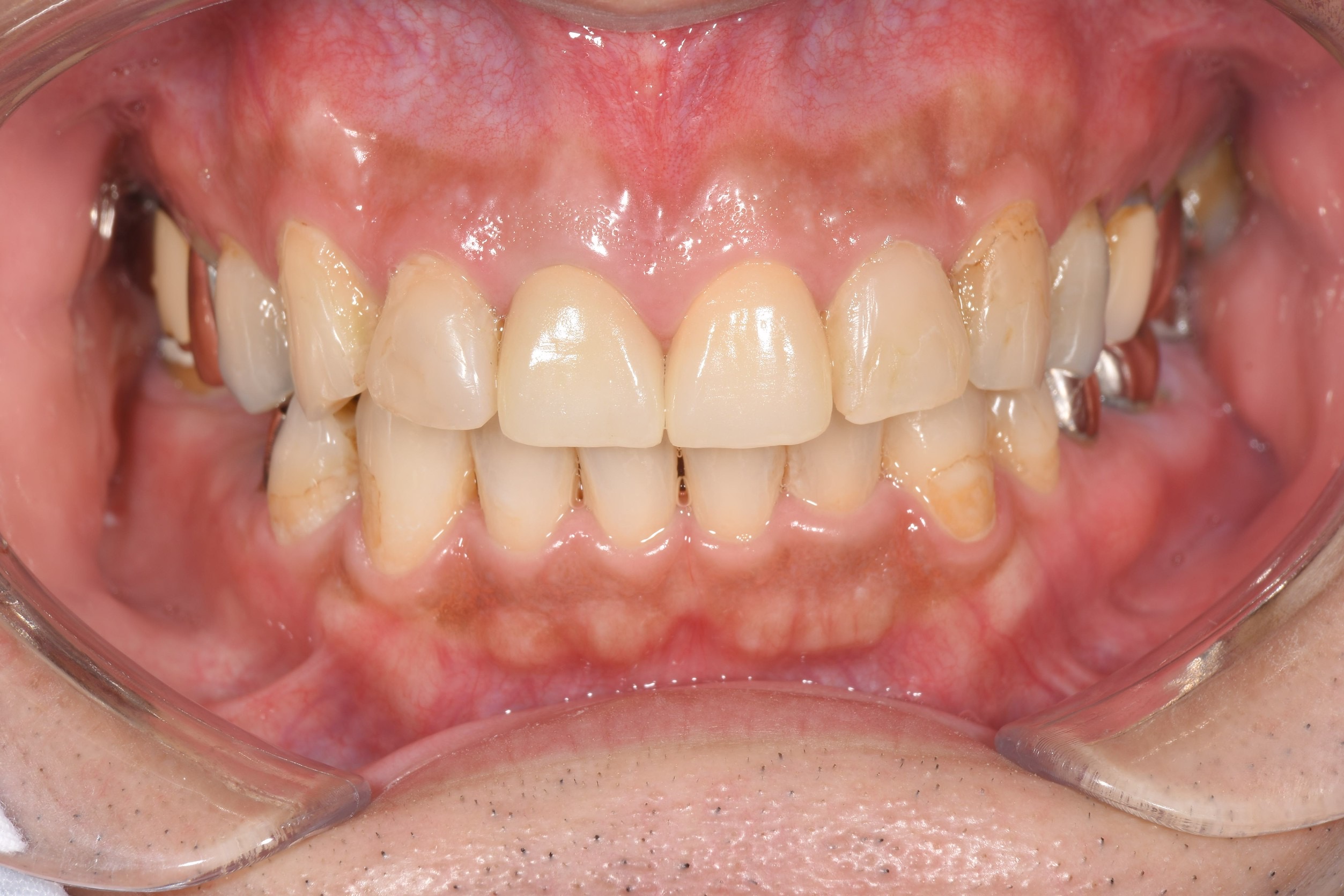
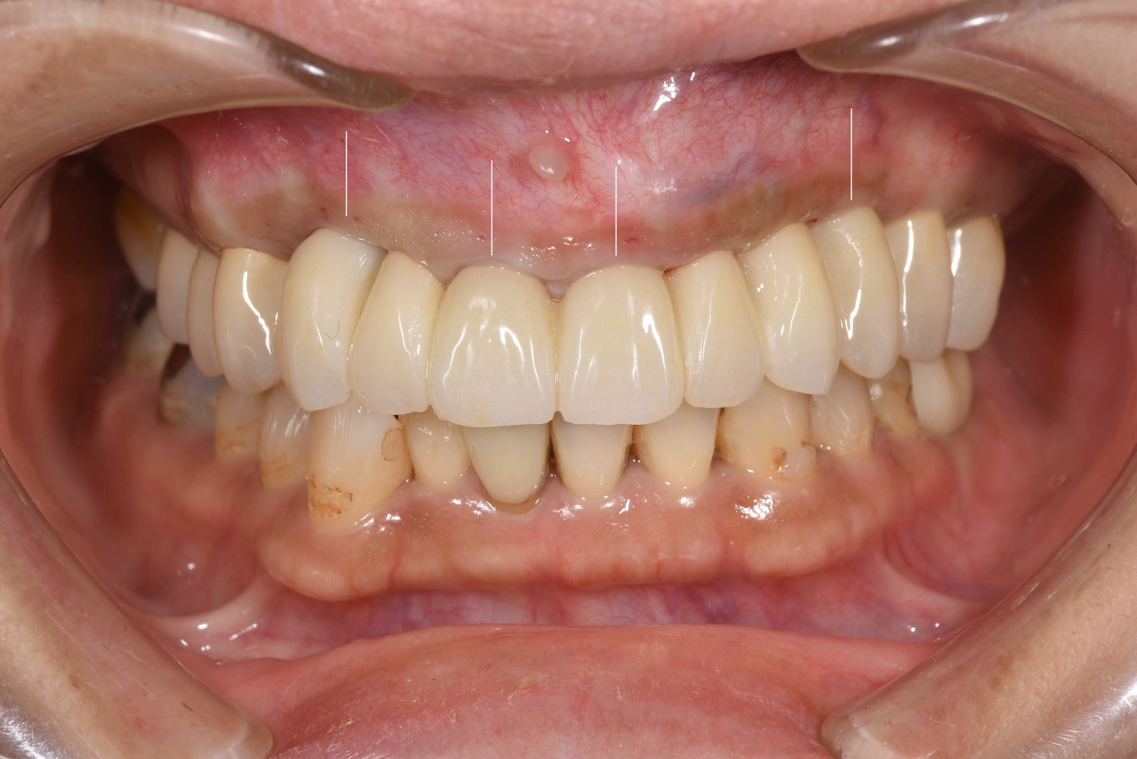
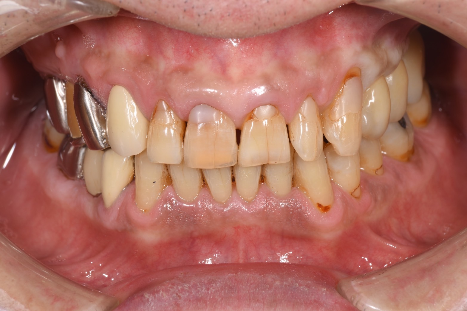
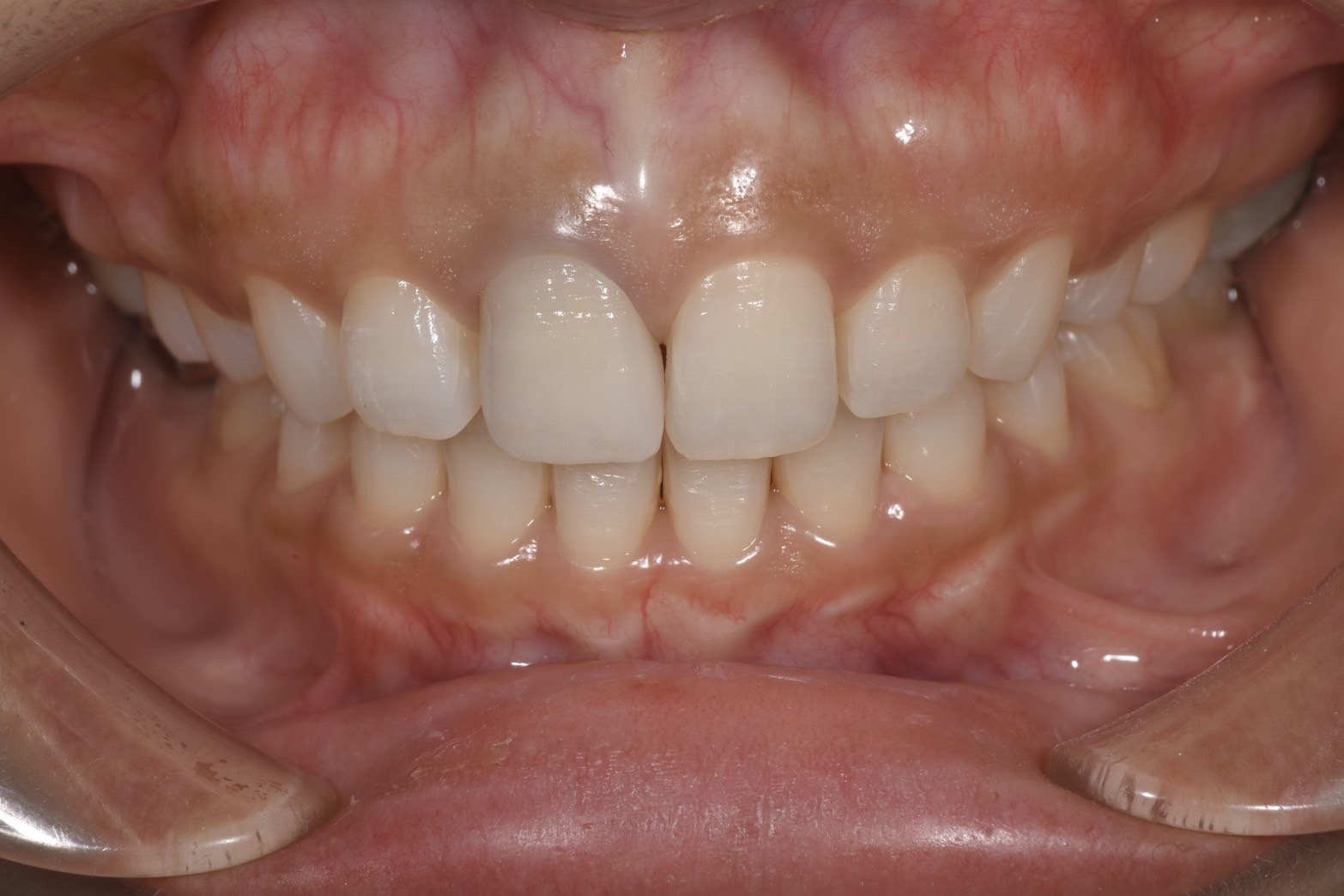
  • インプラントとセラミッククラウンで全顎治療 インプラントとセラミッククラウンで全顎治療

    インプラントとセラミッククラウンで全顎治療

  • 矮小歯をラミネートベニヤで治療 矮小歯をラミネートベニヤで治療

    矮小歯をラミネートベニヤで治療

  • ノンクラスプデンチャー ノンクラスプデンチャー

    ノンクラスプデンチャー

  • 左上犬歯のセラミッククラウン 左上犬歯のセラミッククラウン

    左上犬歯のセラミッククラウン

  • 奥歯のインプラントブリッジ 奥歯のインプラントブリッジ

    奥歯のインプラントブリッジ

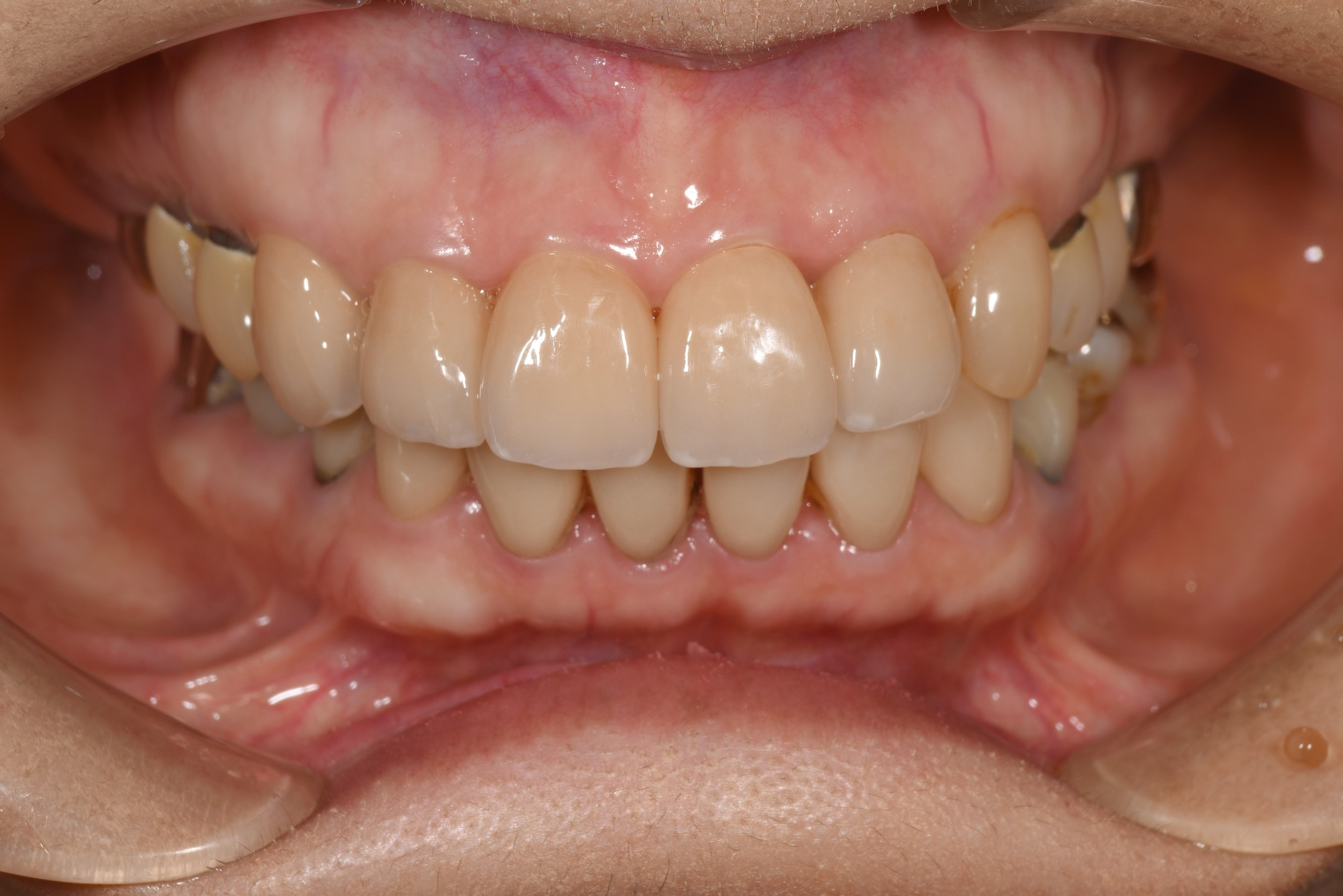
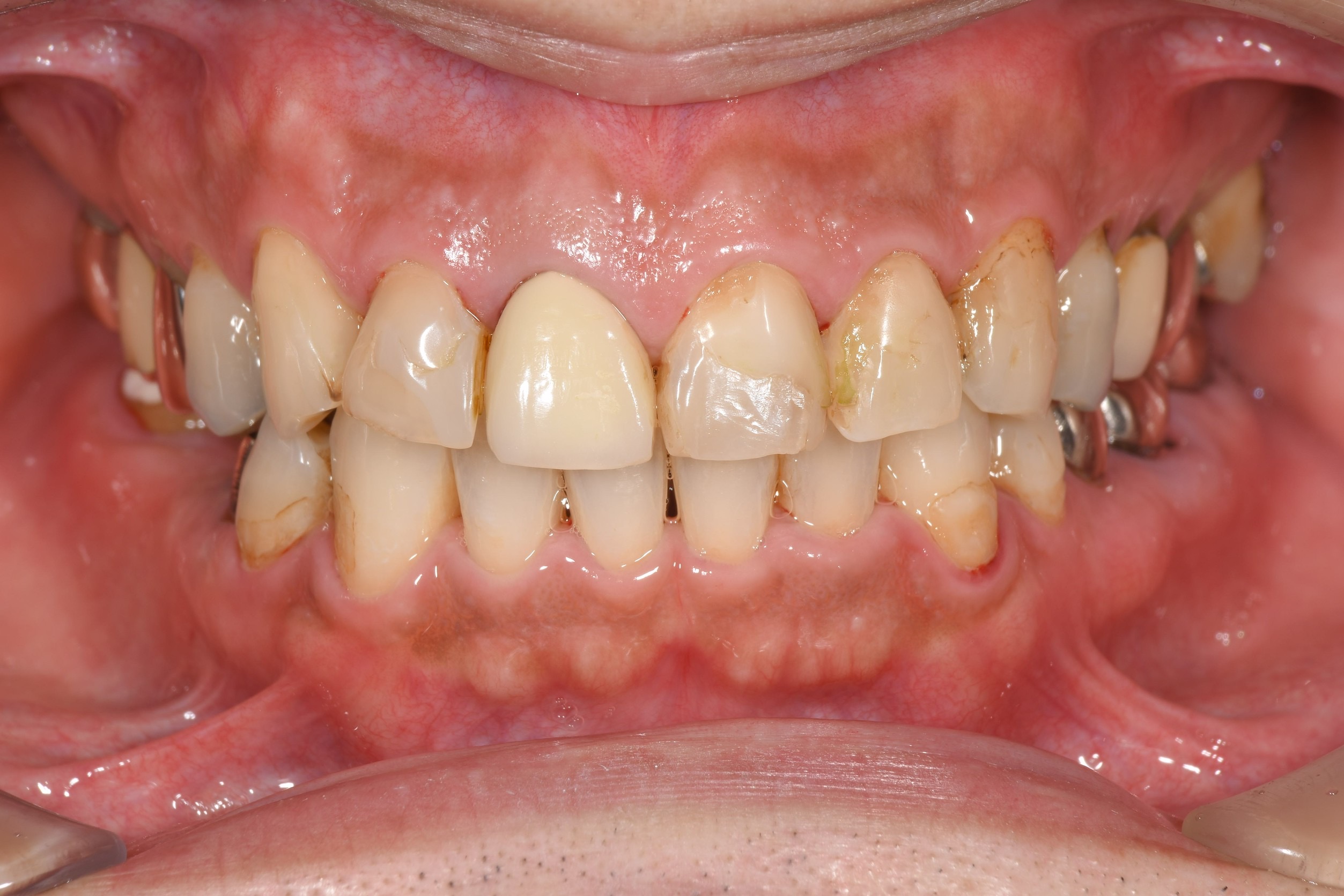
  • 保険治療の被せ物を除去してセラミックに 保険治療の被せ物を除去してセラミックに

    保険治療の被せ物を除去してセラミックに

  • 犬歯(前歯)のセラミッククラウン 犬歯(前歯)のセラミッククラウン

    犬歯(前歯)のセラミッククラウン

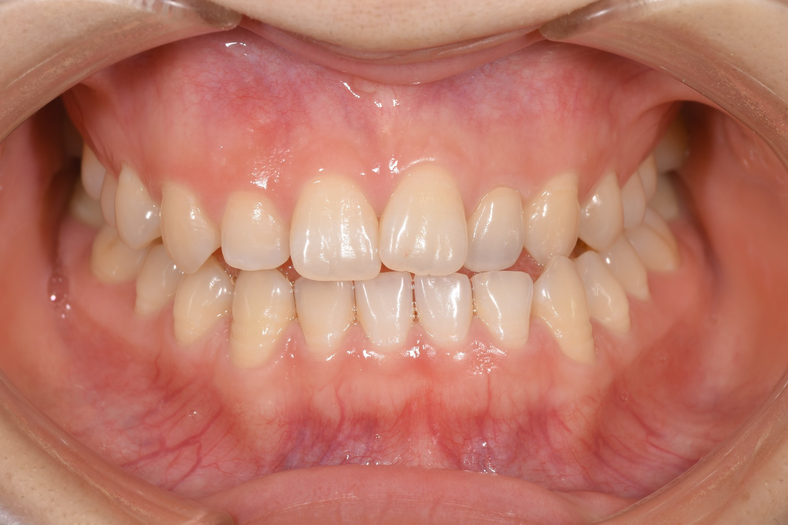
  • 前歯のセラミッククラウン 前歯のセラミッククラウン

    前歯のセラミッククラウン