入れ歯治療

  • ノンクラスプデンチャー ノンクラスプデンチャー

    ノンクラスプデンチャー

  • ノンクラスプデンチャー(入れ歯に見えない入れ歯) ノンクラスプデンチャー(入れ歯に見えない入れ歯)

    ノンクラスプデンチャー(入れ歯に見えない入れ歯)

  • インプラントオーバーデンチャー インプラントオーバーデンチャー

    インプラントオーバーデンチャー

  • ノンクラスプデンチャー ノンクラスプデンチャー

    ノンクラスプデンチャー

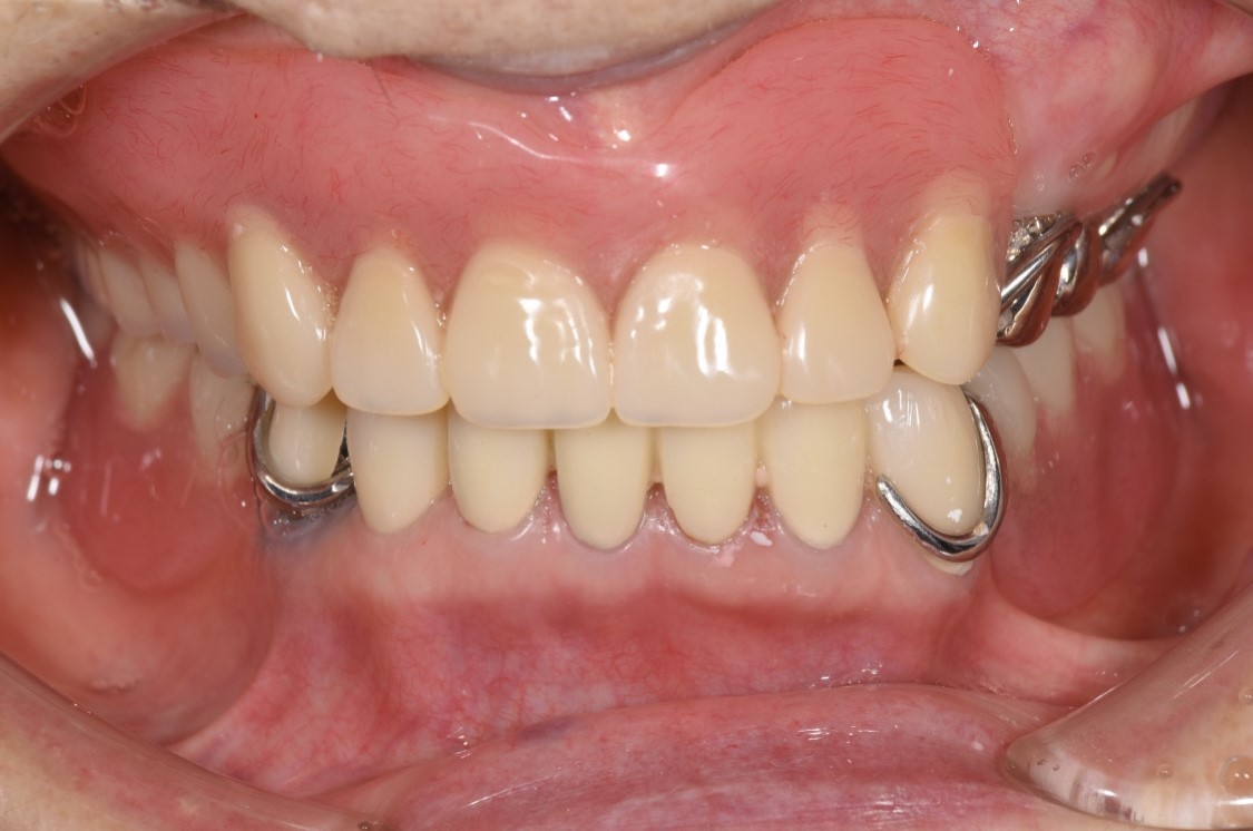
  • 下顎のみノンクラスプデンチャー 下顎のみノンクラスプデンチャー

    下顎のみノンクラスプデンチャー

  • 被せ物治療とノンクラスプデンチャー 被せ物治療とノンクラスプデンチャー

    被せ物治療とノンクラスプデンチャー

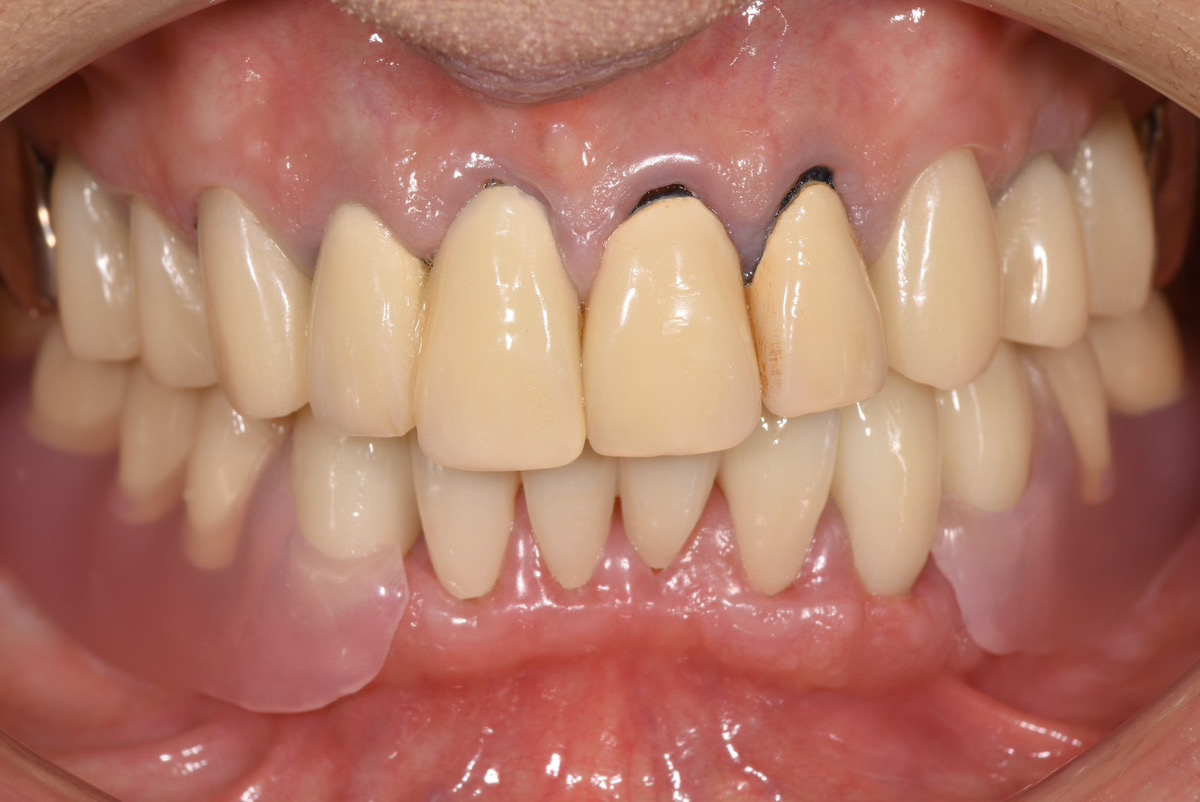
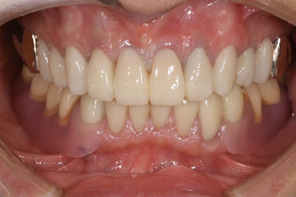
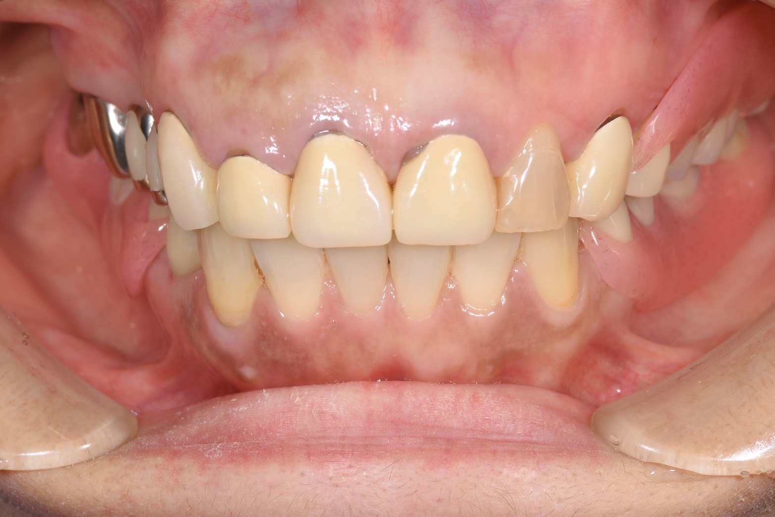
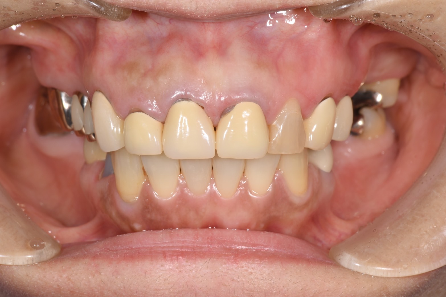
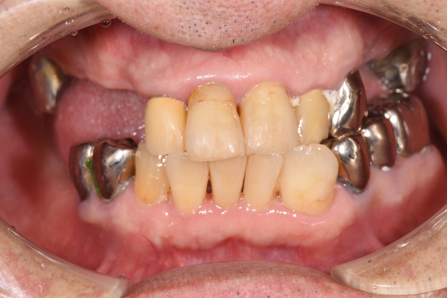
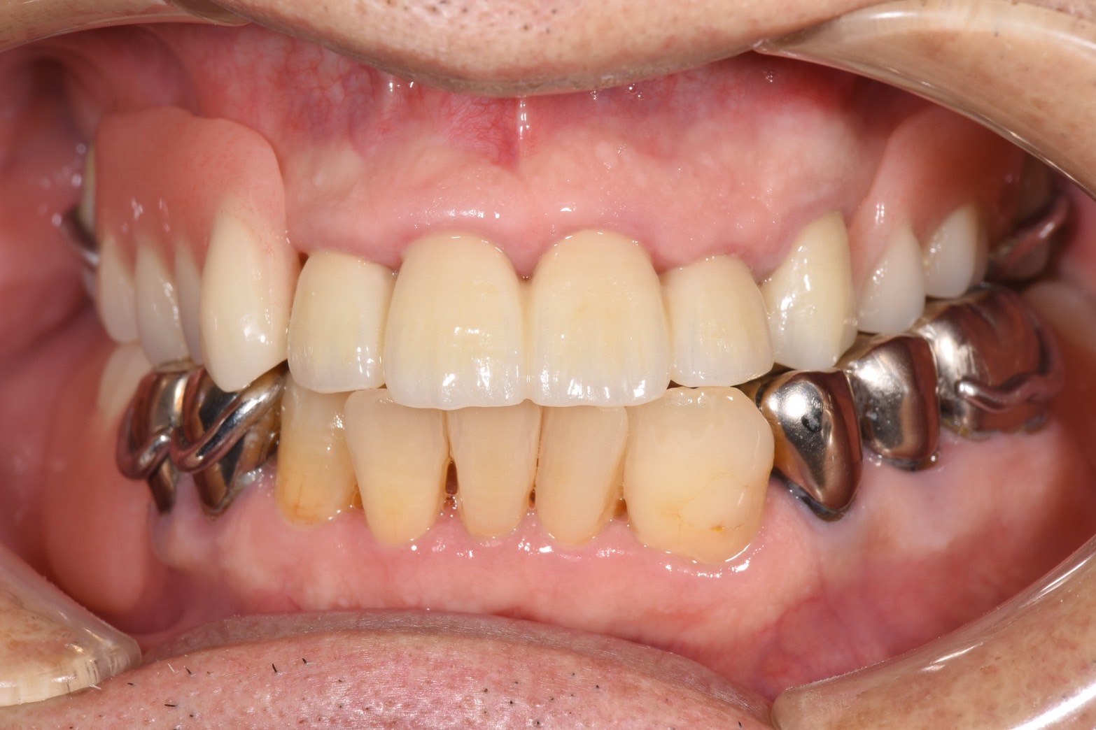
  • 咬合再構成 入れ歯・義歯 咬合再構成 入れ歯・義歯

    咬合再構成 入れ歯・義歯