スタッフブログ

  • 2025年8月のお休み

    2025年8月のお休み

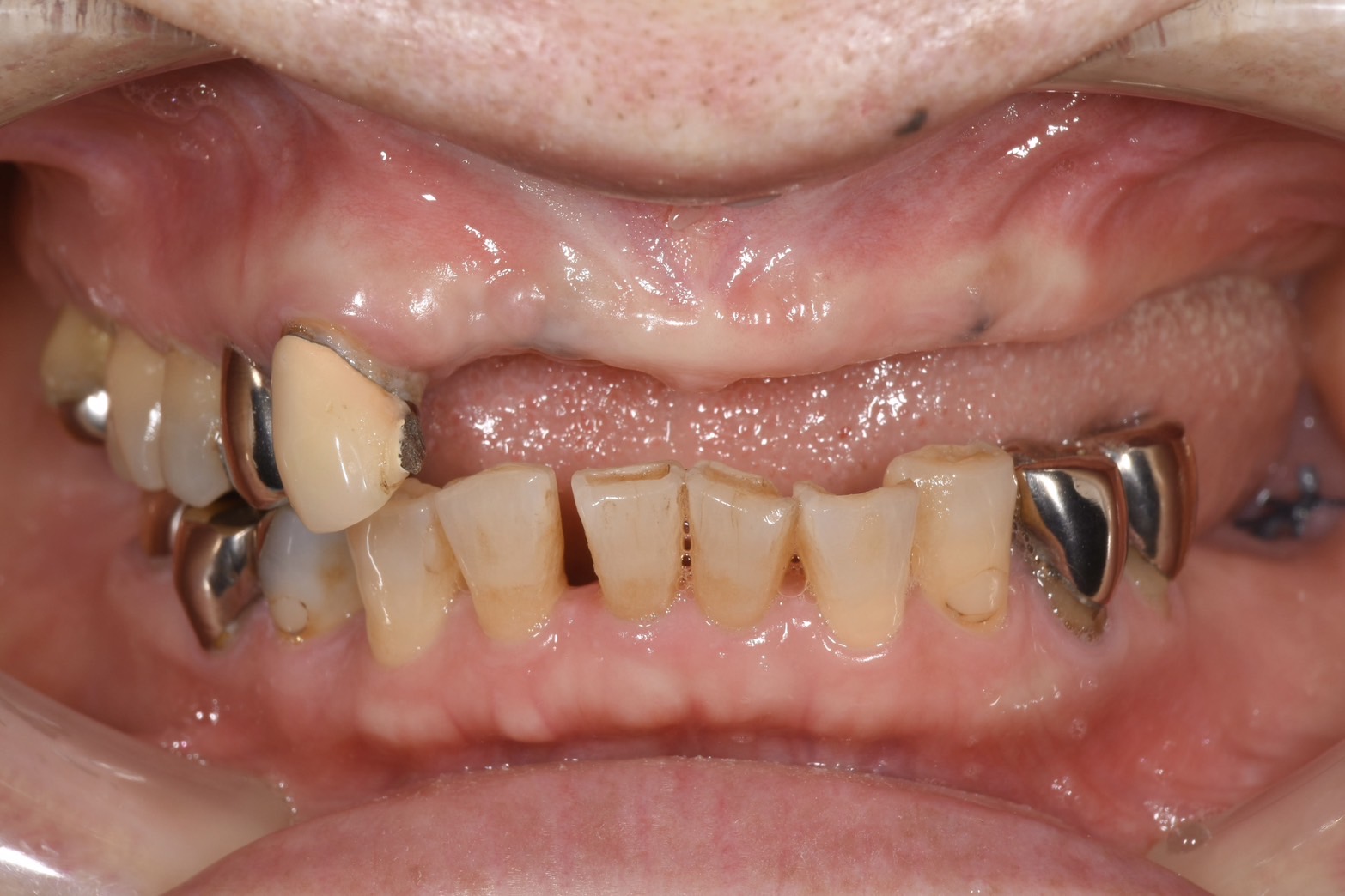
  • 前歯のインプラント抜歯即時埋入

    前歯のインプラント抜歯即時埋入

  • 医療費控除の利用方法について

    医療費控除の利用方法について

  • インプラントを長持ちさせる要素

    インプラントを長持ちさせる要素

  • 年末年始のお休みについて

    年末年始のお休みについて

  • 駐車場が5台に増えました。

    駐車場が5台に増えました。

  • インプラント抜歯即時埋入

    インプラント抜歯即時埋入

  • インプラントメーカーについて

    インプラントメーカーについて

  • インプラント治療の治療期間

    インプラント治療の治療期間

  • インプラント治療のリスクについて

    インプラント治療のリスクについて

  • お子様の虫歯治療について(小児歯科)

    お子様の虫歯治療について(小児歯科)

  • 子供の虫歯はなぜ出来るのか(小児歯科)

    子供の虫歯はなぜ出来るのか(小児歯科)

  • インプラント治療が出来る場合、できない場合

    インプラント治療が出来る場合、できない場合

  • インプラント治療の精度を上げる為に

    インプラント治療の精度を上げる為に

  • 12/31まで診療:年末年始の診療について

    12/31まで診療:年末年始の診療について

  • 被せ物の種類について

    被せ物の種類について