- 枚方市の歯医者なら「宮園歯科医院」
- 症例紹介
- 前歯のインプラント抜歯即時埋入
case 前歯のインプラント抜歯即時埋入
-
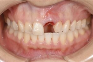
Before
-
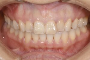
After
前歯の抜歯即時埋入の症例です。
・抜歯即時埋入とは
歯をぬいた当日にインプラントを埋入し仮歯までセットする治療方法です。
【メリット】
1.歯肉ラインが下がりにくいため審美性が良い。
2.治療期間が約3ヶ月。(通常の方法は約7ヶ月)
【デメリット】
1.元々の状態が悪いとインプラントがロストする可能性がある。
2.費用がプラスでかかる(当院では+5.5万円)
3.難易度が高いため出来る歯科医師が限られる。
・概要
元々他院に通われていましたが、歯根破折のため抜歯が必要となりインプラント治療が多い当院に抜歯即時埋入を希望されご来院いただきました。
【抜歯後】

【抜歯即時埋入当日】

【上部構造セット時】

どこにインプラントを埋入しているかわからないぐらい綺麗に仕上がりました。
・治療費用
インプラント(上部構造レイヤリングジルコニア) 44万円
サージカルガイト 6万円
抜歯即時埋入 5.5万円
合計 55.5万円(税込)
| カテゴリー | インプラント |
|---|---|
| 症例名 | 前歯のインプラント抜歯即時埋入 |
| 年齢 | 30歳 | 性別 | 女性 | 地域 | 枚方市 |
|---|---|---|---|---|---|
| 主訴/ニーズ | インプラント治療をしてほしい | ||||
| 治療回数 | 5回 | 治療期間 | 3ヶ月 | ||
| 治療のリスク | 過度な力によるセラミックの破折 | ||||
| 想定される 副作用 |
過度な力によるセラミックの破折 | ||||
| 治療内容 | 上記同様 | ||||
| 費用 | 55.5万円(税込) | ||||