保険の被せ物治療の副作用

BLOG

保険の被せ物治療の副作用

保険の被せ物治療の副作用

保険の被せ物治療の副作用


Warning: Trying to access array offset on value of type bool in /home/xs831370/miyazono-dc.com/public_html/wp/wp-content/themes/miyazono-dc/single-blog.php on line 112

Warning: Trying to access array offset on value of type bool in /home/xs831370/miyazono-dc.com/public_html/wp/wp-content/themes/miyazono-dc/single-blog.php on line 112

Warning: Trying to access array offset on value of type bool in /home/xs831370/miyazono-dc.com/public_html/wp/wp-content/themes/miyazono-dc/single-blog.php on line 112

Warning: Trying to access array offset on value of type bool in /home/xs831370/miyazono-dc.com/public_html/wp/wp-content/themes/miyazono-dc/single-blog.php on line 112

Warning: Trying to access array offset on value of type bool in /home/xs831370/miyazono-dc.com/public_html/wp/wp-content/themes/miyazono-dc/single-blog.php on line 112

Warning: Trying to access array offset on value of type bool in /home/xs831370/miyazono-dc.com/public_html/wp/wp-content/themes/miyazono-dc/single-blog.php on line 112

保険の被せ物治療の副作用

保険の被せ物治療の副作用

保険の前歯被せ物には大きく分けて

①金属を使っているもの

金属のフレームにプラスチックでコーティングしている前装冠

②プラスチックだけで出来ているもの

プラスチックのブロックを削り出して作ったCAD/CAM冠

の2種類があります。

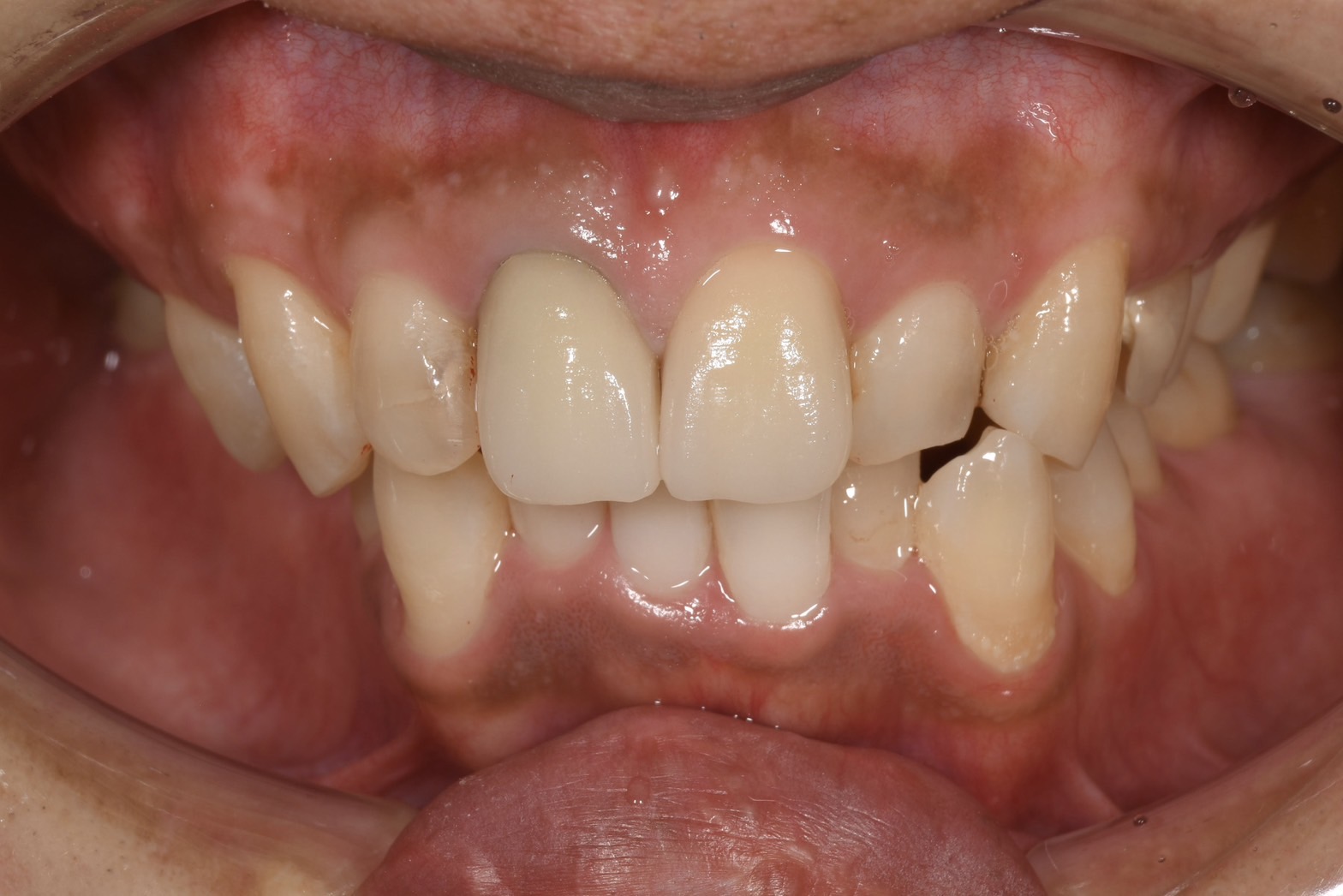
①は一度装着してしまうと入れ墨のように歯や歯肉に金属色が染み込んでしまい、被せ物をセラミックにしても完全に綺麗に治療することが難しくなります。

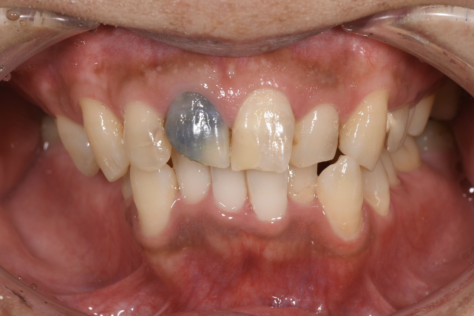
この写真では被せ物は元々されていませんが、土台に金属を使用されてたため、金属色が歯と歯茎に染み込んでしまっていました。

真ん中から見て右側の歯は大きな虫歯があったため根管治療後、左側と2本同時にセラミックで治療しましたが、メタルが使われていないため綺麗に仕上がっています。

 

②はプラスチックのため、歯ブラシなどで簡単に傷がつきやすく、傷がつくと磨き残しもつきやすくなります。

磨き残しにより、日常的に歯肉に炎症が起こり、徐々に歯茎が下り、被せ物をした歯だけ歯が長くなってしまい、見た目が悪くなってしまいます。

一度保険の被せ物にして、後でやりかえることは可能か?

とたまにご質問いただく事がございます。

やりかえは可能ですが以上のような理由から、初めからセラミックでの治療をおすすめ致しております。

前歯の色や形、被せ物などでお悩みがございましたらご相談下さい。

 

 

 

枚方市 歯医者

枚方 歯医者

歯医者 枚方市

歯医者 枚方

枚方市 インプラント

枚方市 セラミック

 

 

 

監修者情報

院長 宮園 智之 - Tomoyuki Miyazono

枚方市の歯医者「宮園歯科医院」では、患者様に寄り添って症状やお悩みをお聞きし、ご納得いただいたうえで治療を進めることを重視しています。当院が常に心掛けているのは、患者様にとって安心できる歯科治療を行うことです。 こちらでは、当院の診療理念と院長についてご紹介しています。当院での治療をご検討中の方は、まずは当院の歯科治療に対する考え方をご覧ください。当院は、皆様が安心して通える歯科医院を目指して日々力を尽くしています。

経歴

  • 大阪府枚方市出身
  • 2006年 高槻高等学校 卒業
  • 2013年 朝日大学 歯学部 卒業
  • 2014年 朝日大学病院 勤務
  • 2015年 大阪府内医療法人 勤務
  • 2017年 大阪府内医療法人 院長 理事就任
  • 2020年 宮園歯科医院 勤務
  • 2022年 宮園歯科医院 院長就任

所属・学会

  • JIADS エンドコース
  • JIADS 補綴コース
  • JIADS デンチャーコース
  • JIADS ペリオコース
  • JIADS 再生医療コース
  • 大森塾 5期
  • 日本臨床歯周病学会 会員
  • 日本口腔インプラント学会・JACID