抜歯当日に入れ歯が入る治療(即時義歯)

BLOG

抜歯当日に入れ歯が入る治療(即時義歯)

抜歯当日に入れ歯が入る治療(即時義歯)

抜歯当日に入れ歯が入る治療(即時義歯)


Warning: Trying to access array offset on value of type bool in /home/xs831370/miyazono-dc.com/public_html/wp/wp-content/themes/miyazono-dc/single-blog.php on line 112

Warning: Trying to access array offset on value of type bool in /home/xs831370/miyazono-dc.com/public_html/wp/wp-content/themes/miyazono-dc/single-blog.php on line 112

Warning: Trying to access array offset on value of type bool in /home/xs831370/miyazono-dc.com/public_html/wp/wp-content/themes/miyazono-dc/single-blog.php on line 112

Warning: Trying to access array offset on value of type bool in /home/xs831370/miyazono-dc.com/public_html/wp/wp-content/themes/miyazono-dc/single-blog.php on line 112

Warning: Trying to access array offset on value of type bool in /home/xs831370/miyazono-dc.com/public_html/wp/wp-content/themes/miyazono-dc/single-blog.php on line 112

Warning: Trying to access array offset on value of type bool in /home/xs831370/miyazono-dc.com/public_html/wp/wp-content/themes/miyazono-dc/single-blog.php on line 112

抜歯当日に入れ歯が入る治療(即時義歯)

抜歯当日に入れ歯が入る治療(即時義歯)

枚方市の歯医者、宮園歯科医院の宮園です。

抜歯当日に入れ歯が入る治療(即時義歯)

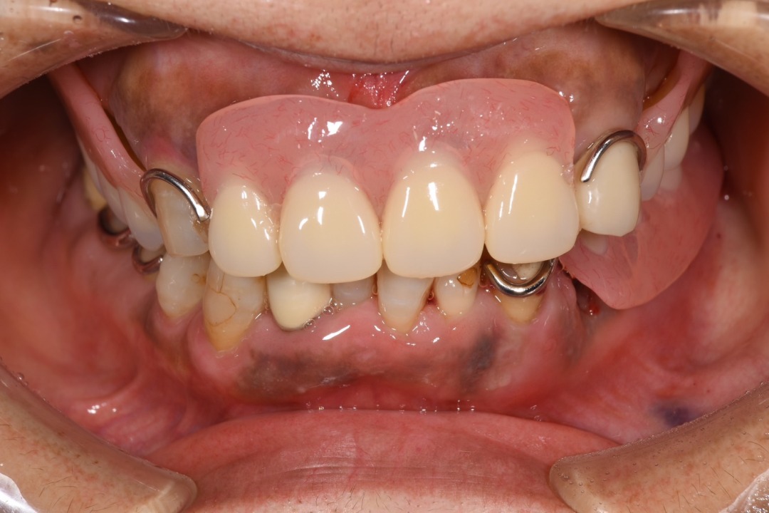
写真は同じ日の抜歯前と、抜歯後、即時義歯をセットしたものです。

通常、入れ歯は抜歯してから傷が治るまで、約3ヶ月ていど期間をおいて制作します。

抜歯直後に入れ歯を作ると、傷が治るにつれて、入れ歯と歯茎の間にスペースが出来てしまい、食べ物がはいりやすくなるためです。

しかし、抜歯の本数が多い場合、3ヶ月間歯がない状態では食事も出来ず、人前にも出づらくなってしまうため、即時義歯を製作します。

抜歯前にあらかじめ、入れ歯の型取り、噛み合わせのをとり、それを用いて抜歯後の歯並びを想定して技工士が製作します。

即時義歯のメリット

・歯のない期間がないため、審美性が失われない

・義歯に慣れることは必要だが、慣れれば義歯がないよりは食事がしやすい

・抜歯した傷を保護できるため傷の治りが早い

・保険適用

即時義歯のデメリット

・傷が治るとともに入れ歯と歯茎の間にスペースが出来てしまうため、食べかすが入りやすくなる

入れ歯、義歯でお悩みがございましたらご相談ください。

 

 

 

 

 

 

枚方市 歯医者

枚方 歯医者

歯医者 枚方市

歯医者 枚方

枚方市 入れ歯

枚方市 義歯

監修者情報

院長 宮園 智之 - Tomoyuki Miyazono

枚方市の歯医者「宮園歯科医院」では、患者様に寄り添って症状やお悩みをお聞きし、ご納得いただいたうえで治療を進めることを重視しています。当院が常に心掛けているのは、患者様にとって安心できる歯科治療を行うことです。 こちらでは、当院の診療理念と院長についてご紹介しています。当院での治療をご検討中の方は、まずは当院の歯科治療に対する考え方をご覧ください。当院は、皆様が安心して通える歯科医院を目指して日々力を尽くしています。

経歴

  • 大阪府枚方市出身
  • 2006年 高槻高等学校 卒業
  • 2013年 朝日大学 歯学部 卒業
  • 2014年 朝日大学病院 勤務
  • 2015年 大阪府内医療法人 勤務
  • 2017年 大阪府内医療法人 院長 理事就任
  • 2020年 宮園歯科医院 勤務
  • 2022年 宮園歯科医院 院長就任

所属・学会

  • JIADS エンドコース
  • JIADS 補綴コース
  • JIADS デンチャーコース
  • JIADS ペリオコース
  • JIADS 再生医療コース
  • 大森塾 5期
  • 日本臨床歯周病学会 会員
  • 日本口腔インプラント学会・JACID