- 枚方市の歯医者なら「宮園歯科医院」
- 症例紹介
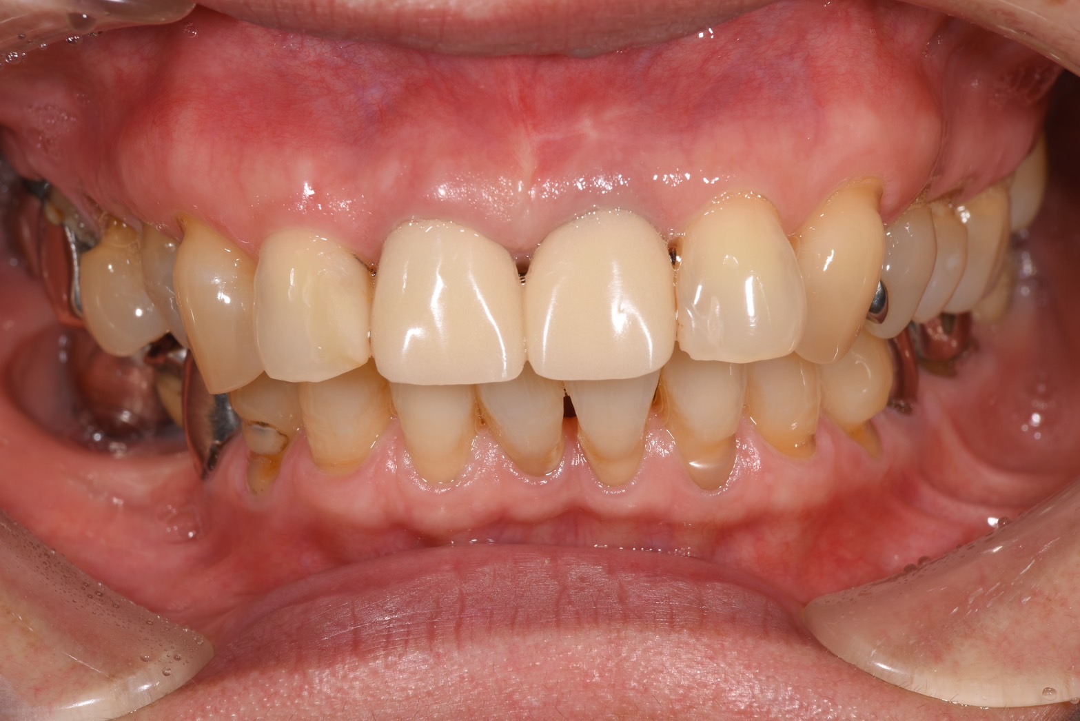
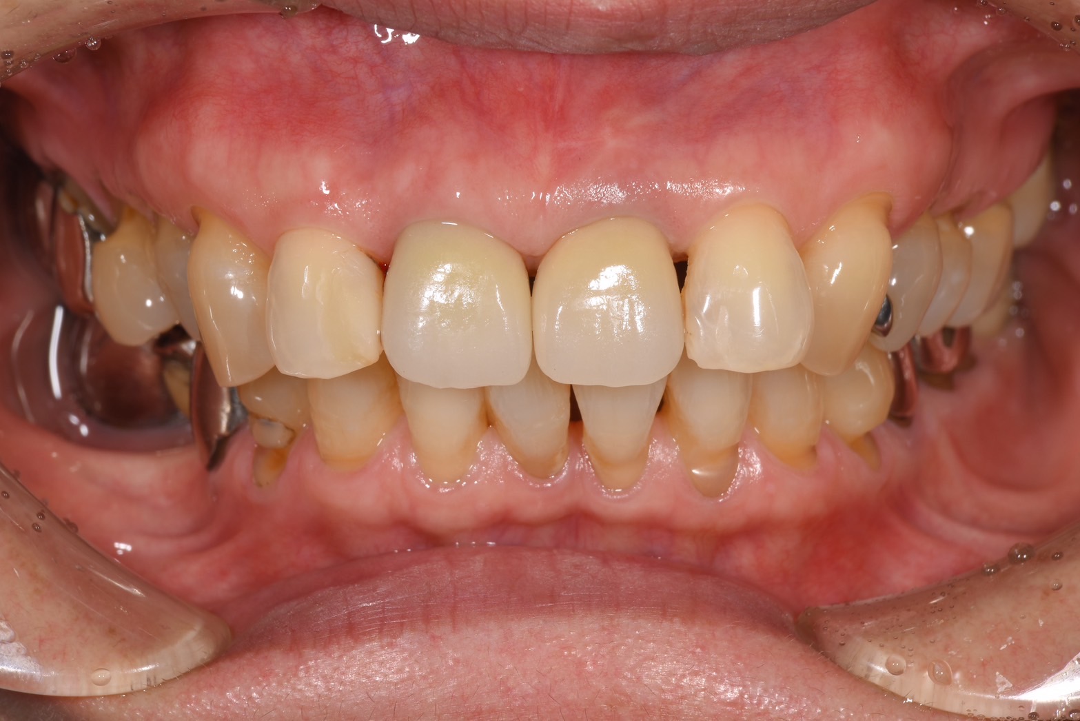
- 前歯のセラミッククラウン
case 前歯のセラミッククラウン
-
Before
-
After
| カテゴリー | 被せ物治療 |
|---|---|
| 症例名 | 前歯のセラミッククラウン |
| 年齢 | 60 | 性別 | 女性 | 地域 | 枚方市 |
|---|---|---|---|---|---|
| 主訴/ニーズ | 被せ物を綺麗にしたい | ||||
| 治療回数 | 2回 | 治療期間 | 2週間 | ||
| 治療のリスク | 過度な力による破折 | ||||
| 想定される 副作用 |
ブラッシング不足による虫歯 | ||||
| 治療内容 | 前歯2本を根管治療後、セラミッククラウンに | ||||
| 費用 | 20万 | ||||