- 枚方市の歯医者なら「宮園歯科医院」
- 症例紹介
- 他院で治療したセラミックの再治療
case 他院で治療したセラミックの再治療
-
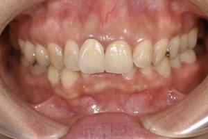
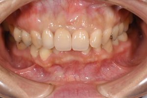
Before
-
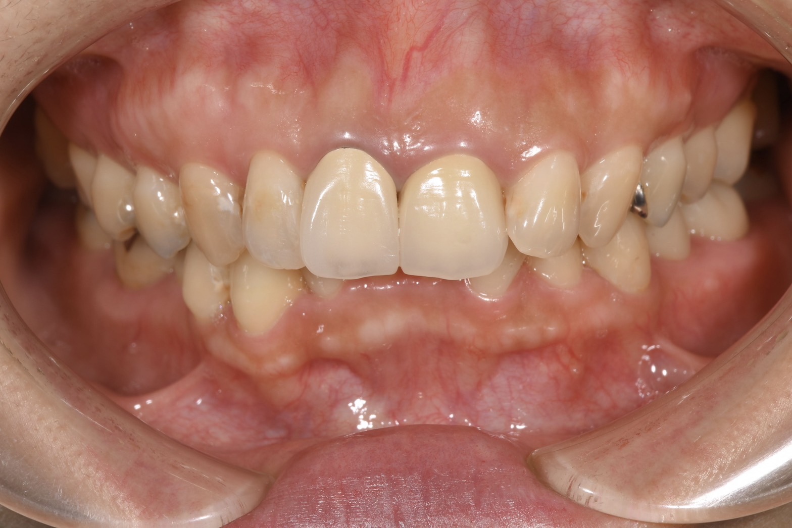
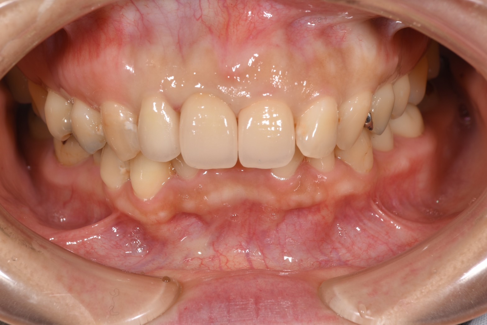
After
術前

前歯2本がセラミックで治療されているが、右上1番にメタルの土台が使用されているため、歯茎が黒く見える、
また適合不良のため2本とも歯肉に炎症があり、歯肉が赤っぽくなっている。
完成した被せ物

歯肉の下までしっかり型取りするために、圧排コードを用いてシリコン印象で製作したemaxクラウン。
右上2番目は大きな虫歯があったため根管治療を行った。
術後

歯肉の炎症による赤み、金属の土台による変色、天然歯との色の不調和を改善できた。
| カテゴリー | 被せ物治療 |
|---|---|
| 症例名 | セラミックの再治療 |
| 年齢 | 40 | 性別 | 女性 | 地域 | 枚方市 |
|---|---|---|---|---|---|
| 主訴/ニーズ | 前歯の被せ物をやりかえたい | ||||
| 治療回数 | 2回 | 治療期間 | 2週間 | ||
| 治療のリスク | 過度な力によるセラミックの破折 | ||||
| 想定される 副作用 |
ブラッシング不足による虫歯 | ||||
| 治療内容 | 前歯3本emaxクラウン | ||||
| 費用 | 30万円 | ||||