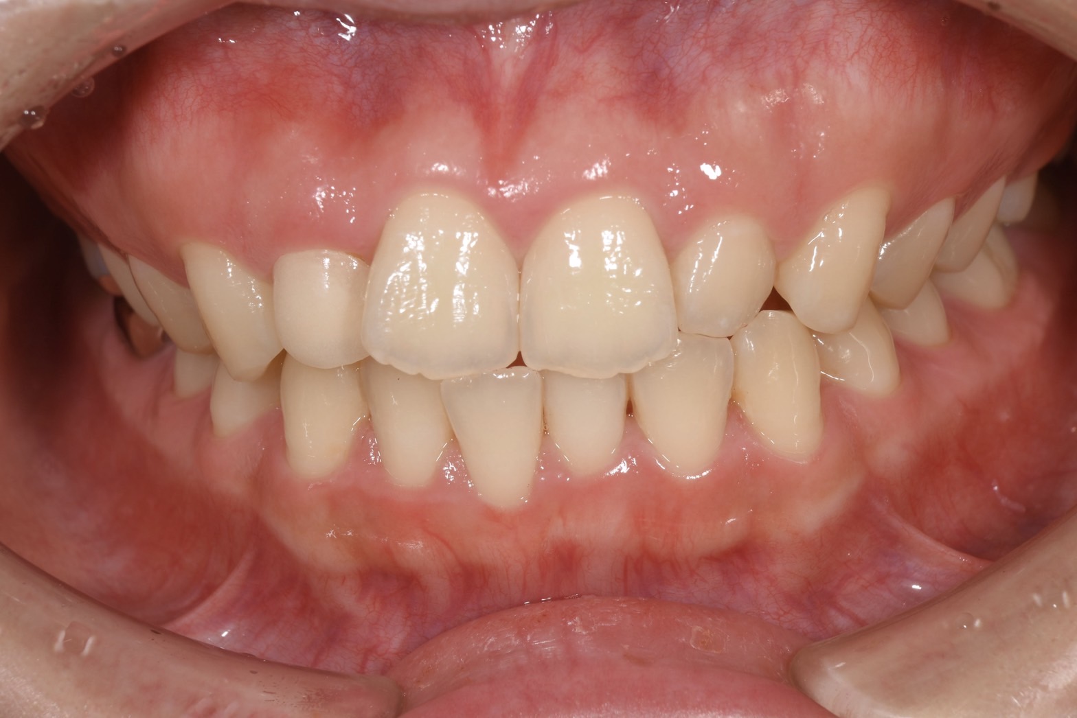
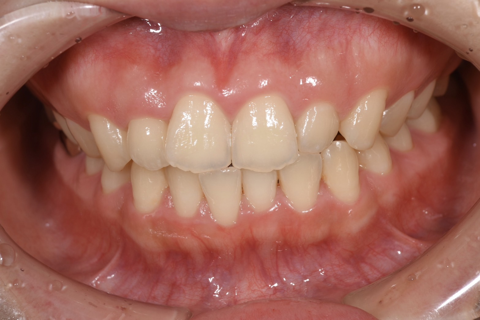
case 右上2番emaxクラウン
-
Before
-
After
| カテゴリー | 被せ物治療 |
|---|---|
| 症例名 | 根管治療後emaxクラウンに |
| 年齢 | 20 | 性別 | 女性 | 地域 | 枚方市 |
|---|---|---|---|---|---|
| 主訴/ニーズ | 綺麗な被せ物にしたい | ||||
| 治療回数 | 2回 | 治療期間 | 二週間 | ||
| 治療のリスク | 過度な力によるセラミックの破折 | ||||
| 想定される 副作用 |
ブラッシング不足による虫歯 | ||||
| 治療内容 | 根管治療後セラミックにて治療 | ||||
| 費用 | 10万円 | ||||