セラミックで歯の色、形を修正

case セラミックで歯の色、形を修正

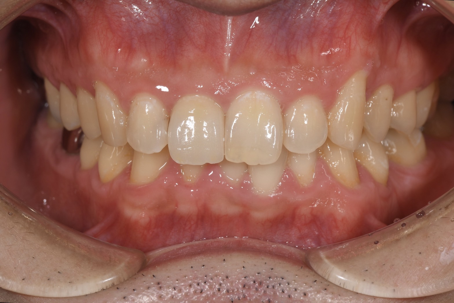
  • Before

    セラミックで歯の色、形を修正

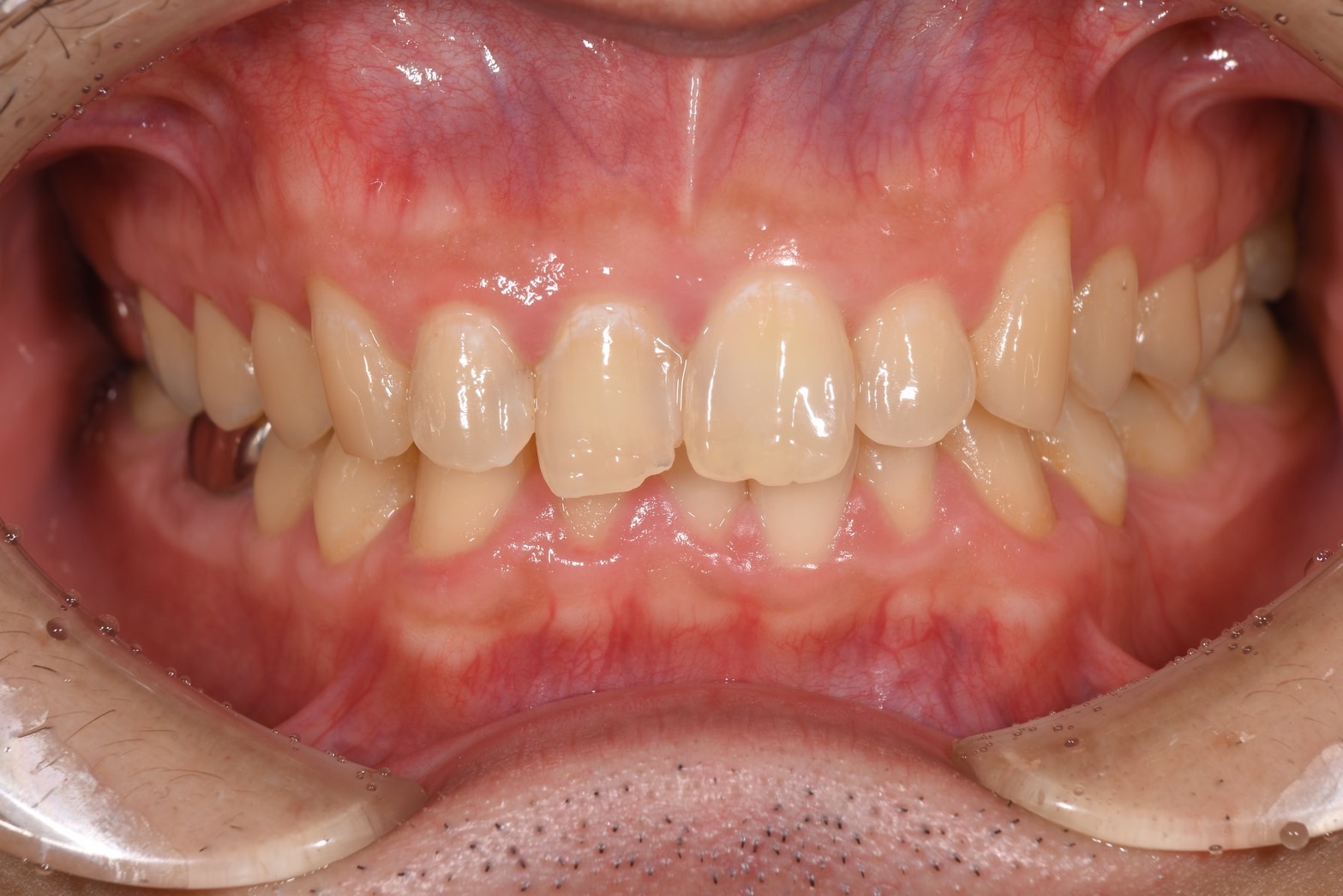
  • After

    セラミックで歯の色、形を修正

急な歯の痛みで来院されました。

右上1番が歯髄炎を起こしていたため、根管治療を行いました。

左右非対称であったため補綴治療時に、反対側の歯の、形態を少し修正して限りなく左右対称になるようにセラミックで補綴治療を行いました。

カテゴリー 被せ物治療
症例名 セラミックで見た目を改善
年齢 30 性別 男性 地域 枚方市
主訴/ニーズ 前歯を綺麗にしたい
治療回数 2回 治療期間 一週間
治療のリスク 過度な力によるセラミックの破折
想定される
副作用
ブラッシング不足による虫歯
治療内容 右上中切歯の治療
費用 10万