case インプラントと骨造成
-
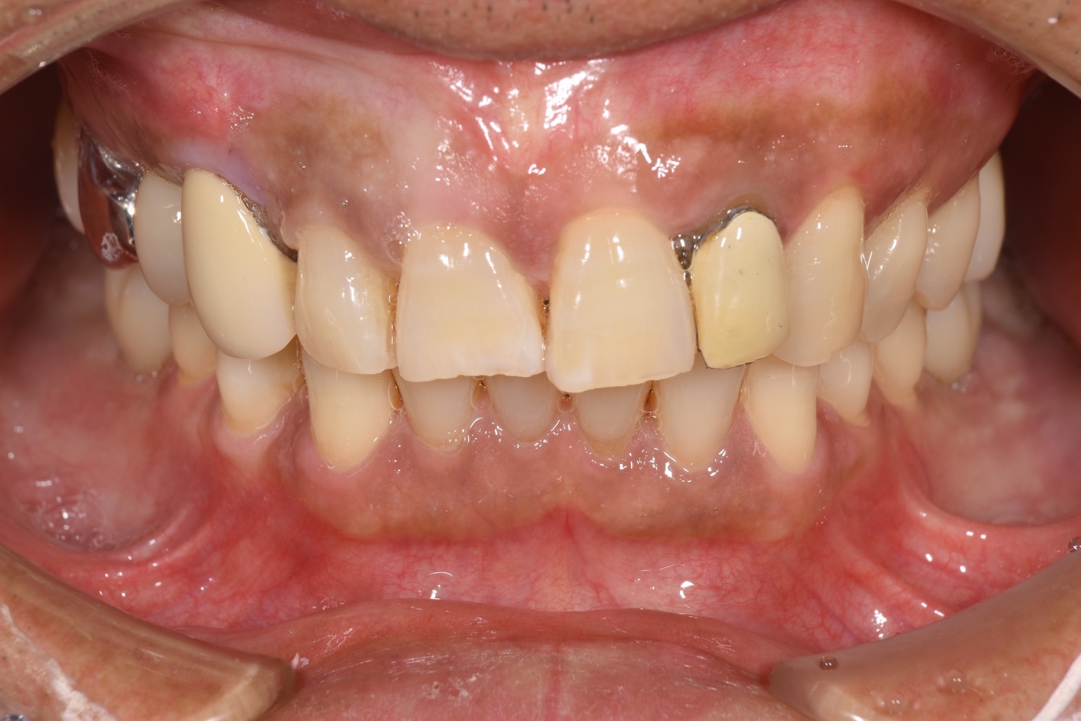
Before
-
After
・右上4
破折の為に抜歯後に、骨造成とインプラント埋入
・右上6.左上6
骨量不足のためソケットリフトとインプラント埋入
・右下6.左下6
インプラント埋入
右上4骨造成費用 11万
右上6.左上6ソケットリフト費用 5万×2
サージカルガイド上下費用 5万×2
インプラント費用 30万×5
合計 181万
| カテゴリー | インプラント |
|---|---|
| 症例名 | 奥歯のインプラント |
| 年齢 | 60 | 性別 | 男性 | 地域 | 枚方市 |
|---|---|---|---|---|---|
| 主訴/ニーズ | 奥歯がないのでインプラントをしたい | ||||
| 治療回数 | 20回 | 治療期間 | 6ヶ月 | ||
| 治療のリスク | ブラッシング不足によるインプラント周囲炎 | ||||
| 想定される 副作用 |
過度な力によるセラミックの破折 | ||||
| 治療内容 | 骨造成とインプラント埋入 | ||||
| 費用 | 181万 | ||||