- 枚方市の歯医者なら「宮園歯科医院」
- 症例紹介
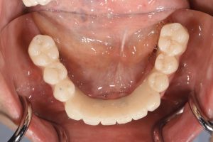
- オールオン6(下顎)
case オールオン6(下顎)
-
Before
-
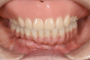
After
上下ともに義歯を使用されていましたが、噛みにくいとの事で来院されました。
上顎のフルデンチャー(総義歯)は吸着しますが、下顎は上顎と比較して吸着しづらいため下顎のみオールオン6治療(インプラント6本の上に着脱しない被せ物を付ける方法)を行いました。
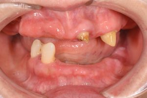
【治療前】


上下ともに2本づつ歯が残っていましたが、動揺していたため抜歯を行いました。
抜歯後、1回目の上下の仮の入れ歯を制作してからインプラントを埋入しました。
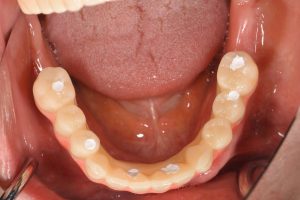
【2回目上顎義歯、下顎仮歯セット時】


インプラント埋入後二ヶ月経過した後、2次手術、型取り、噛み合わせの採得をし下顎オールオン6の仮歯をセットしました。
仮歯で二ヶ月すごしていただき、インプラント周囲の歯肉の炎症、顎関節症状の有無を確認してから最終のセラミックに移行します。
【最終補綴物セット時】


仮歯と違い、歯茎の色にしっかり合わせてセラミックの上部構造ができあがりました。
上下とも無歯顎でAO6での治療を希望される場合は、総義歯が安定しづらい下顎をおすすめいたします。
| カテゴリー | 下顎オールオン6(インプラント治療) |
|---|---|
| 症例名 | 下顎オールオン6 |
| 年齢 | 70 | 性別 | 女性 | 地域 | 枚方市 |
|---|---|---|---|---|---|
| 主訴/ニーズ | 下の入れ歯が噛みにくい、はずれやすい | ||||
| 治療回数 | 30回 | 治療期間 | 一年 | ||
| 治療のリスク | 過度な力によるセラミックの破折 | ||||
| 想定される 副作用 |
過度な力によるセラミックの破折 | ||||
| 治療内容 | 下顎オールオン6 | ||||
| 費用 | 280万円(税込) | ||||