ラミネートべニアで前歯を治療|枚方市で歯医者なら医療法人宮園歯科医院
072-848-1105
大阪府枚方市須山町27−10
月・火・水・木・金曜日:
9:00 - 12:30 / 14:30 - 19:00
土曜日:
9:00 - 12:30 / 13:30 - 17:00
休診日:
日曜日・祝日
WEB診療予約
当院に初めてご来院の方
のみご利用ください
ラミネートべニアで前歯を治療
concept
診療案内
診療方針
初診の流れ
ご予約方法
medical
治療項目
インプラント治療
虫歯治療・根管治療
歯科口腔外科
審美歯科治療・ホワイトニング
予防歯科
入れ歯治療
小児歯科
歯周病治療
Price
料金表
Case
症例紹介
clinic
当院について
医院紹介・アクセス
院長紹介
設備紹介
採用情報
コラム
ニュース
072-848-1105
大阪府枚方市須山町27−10
WEB診療予約
当院に初めてご来院の方
のみご利用ください
Top
症例紹介
ラミネートべニアで前歯を治療
case
ラミネートべニアで前歯を治療
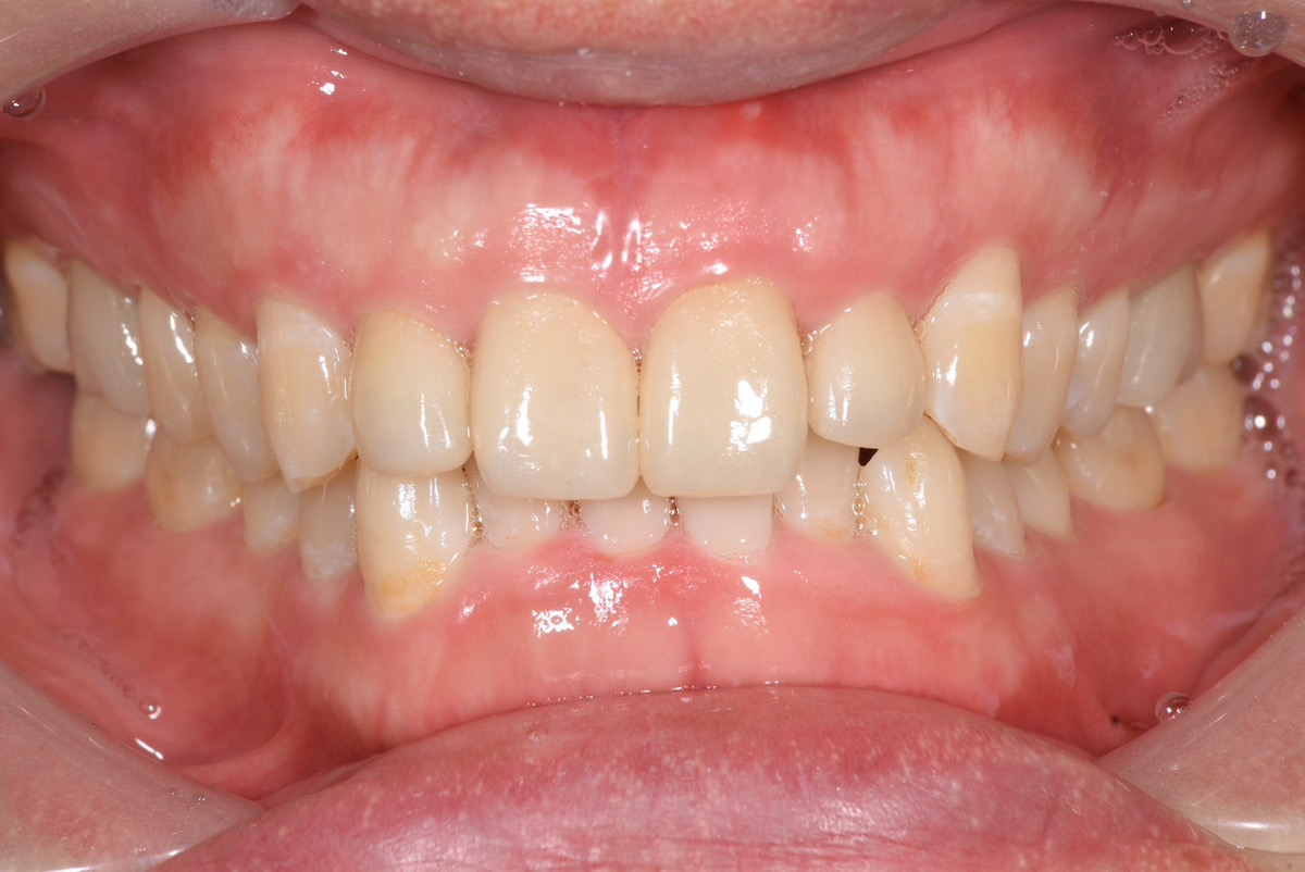
Before
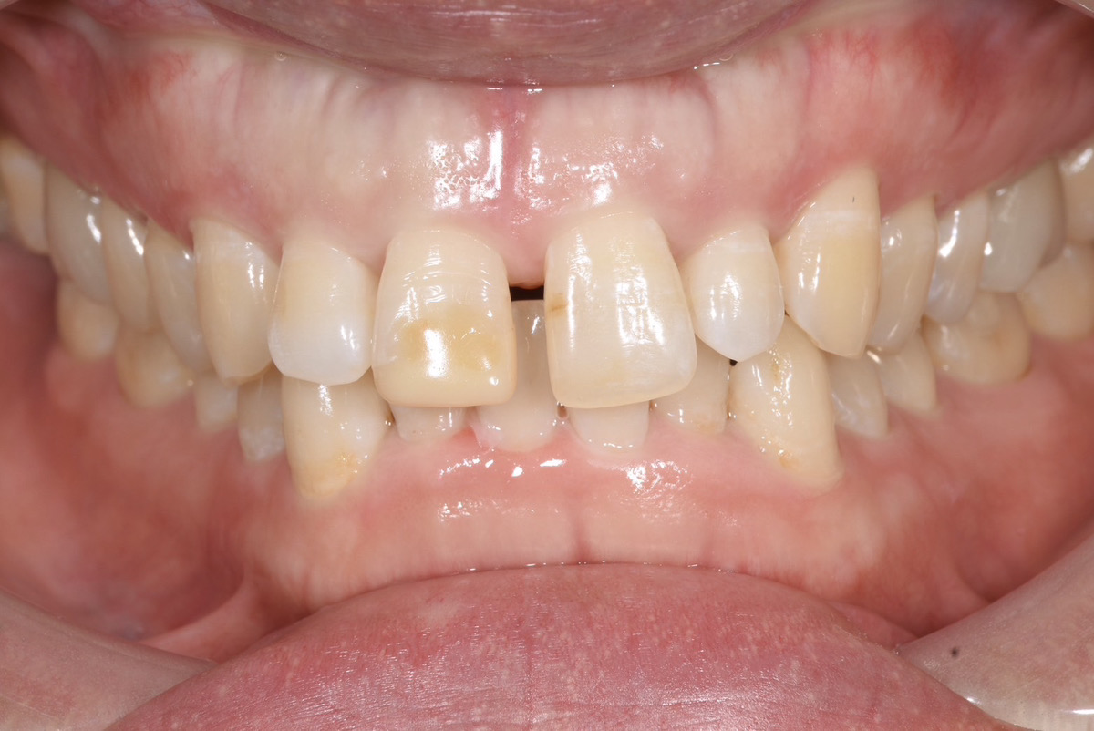
After
カテゴリー
ラミネートべニア
症例名
ラミネートべニアで前歯治療
年齢
性別
地域
主訴/ニーズ
前歯の変色を治したい
治療回数
治療期間
治療のリスク
治療後は正しい歯磨きを行う必要があります。
想定される
副作用
破折
治療内容
変色している前歯をラミネートベニヤで治療
費用
44,000円
前へ
一覧に戻る
次へ
電話をする
WEB診療予約
当院に初めてご来院の方
のみご利用ください