- 枚方市の歯医者なら「宮園歯科医院」
- スタッフブログ
- オールオン6(入れ歯からインプラント)
オールオン6(入れ歯からインプラント)
【オールオン4.オールオン6】
オールオン4.オールオン6(以下AO4.6)は上顎または下顎で歯が一本もない場合に行うインプラント治療です。
AO4ならインプラント4本、AO6ならインプラント6本の上に被せ物をつけます。
総入れ歯と異なり、サイズも普通の歯と同じになるため、喋りやすい、食事しやすい、見た目が良い、などの特徴があります。
普通のインプラント治療と比べたAO6のメリットは、埋入するインプラント本数が少ないためかなり費用がおさえられます。
当院ではAO6の場合の治療費はインプラント埋入、被せ物、サージカルガイトなど全て込みで270万円で行っております。
【治療の流れ】
①サージカルガイトの作成

サージカルガイトはインプラントを想定した位置に確実に埋入するための道具です。
サージカルガイトなしでフリーハンドで埋入した場合、位置がずれる可能性があります。
位置や角度がズレるとインプラントの持ちが悪くなったり、神経や血管などを傷つけるリスクがあるため、当院ではインプラント治療の際に必ず制作しています。
②インプラントの埋入
術前

術中

口腔内でサージカルガイトがずれるのを防ぐために、AO4.6では骨にピンでサージカルガイトを固定して行います。
術後

埋入本数おおいため、通常のフラップオペ(歯肉を切開剥離し、骨が見えた状態で行うインプラント治療)ではなく、フラップレスで行いました。
ブラックレスのため治療時間は45分で、翌日は痛み止めも必要ありませんでした。
※骨が少ない場合はフラップレスで行えない場合もあります。
※この患者様の場合、2本歯が残っていますが、入れ歯のワイヤーをかける歯が残っている方が生活しやすいため、仮歯が入る時に抜歯してAO6にします。
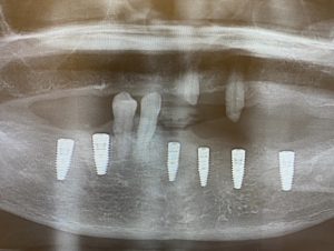
術前パノラマレントゲン

術前シュミレーション

術後パノラマレントゲン

サージカルガイトを用いたため術前シュミレーションと術後レントゲンを比較すると埋入角度、位置がほぼ一致しています。
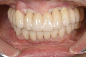
③被せ物のセット

インプラント埋入から上顎では4ヶ月、下顎では3ヶ月後に被せ物を入れます。
※インプラント埋入時に仮歯を入れて負荷をかけるインプラント即時荷重という方法もありますが、インプラントロストのリスクがあるため当院では行っておりません。
期間、費用がかかる治療ですが、入れ歯から解放されて普通に食事、会話ができるようになる治療です。
AO6をお考えの方はご相談下さい。
院長 宮園 智之 - Tomoyuki Miyazono
枚方市の歯医者「宮園歯科医院」では、患者様に寄り添って症状やお悩みをお聞きし、ご納得いただいたうえで治療を進めることを重視しています。当院が常に心掛けているのは、患者様にとって安心できる歯科治療を行うことです。 こちらでは、当院の診療理念と院長についてご紹介しています。当院での治療をご検討中の方は、まずは当院の歯科治療に対する考え方をご覧ください。当院は、皆様が安心して通える歯科医院を目指して日々力を尽くしています。
経歴
- 大阪府枚方市出身
- 2006年 高槻高等学校 卒業
- 2013年 朝日大学 歯学部 卒業
- 2014年 朝日大学病院 勤務
- 2015年 大阪府内医療法人 勤務
- 2017年 大阪府内医療法人 院長 理事就任
- 2020年 宮園歯科医院 勤務
- 2022年 宮園歯科医院 院長就任
所属・学会
- JIADS エンドコース
- JIADS 補綴コース
- JIADS デンチャーコース
- JIADS ペリオコース
- JIADS 再生医療コース
- 大森塾 5期
- 日本臨床歯周病学会 会員
- 日本口腔インプラント学会・JACID