- 枚方市の歯医者なら「宮園歯科医院」
- スタッフブログ
- 上顎の骨が足りない方のインプラント事例
上顎の骨が足りない方のインプラント事例
こんにちは!大阪府枚方市の歯医者・宮園歯科医院です。
【今回の患者さんのお悩み】
50代、女性
何年前より、奥歯がなくなり食事がしづらく悩んでいた。
家族の勧めでインプラントを決意し来院。
【治療の概要】
インプラントをするには、骨が不足していたためサイナスリフト【骨造成】と歯が抜けている部分(欠損部分)にインプラント手術を行なった。
【患者さんの写真】
サイナスリフトと同時にインプラント埋入を行ったCTです。写真は許可を頂いております。

右上6

右上7
【歯科医師目線での状態】
サイナスリフトより少ない量の骨造成手術のソケットリフトという方法もあります。
しかし、ソケットリフトで安全に増やせる骨の高さは3ミリまでです。
今回は6ミリ増やす必要があったため、ソケットリフトでは、上顎洞粘膜を破ってしまうリスクがあるためサイナスリフトを選択しました。
また既存の骨の高さがある程度あったため、サイナスリフトと同時にインプラント埋入をおこなっています。
既存の骨の高さが少ない場合、サイナスリフト後半年おいてインプラント埋入を行います。
【治療の難易度】
サイナスリフトは非常に難しい治療であるため、高度な口腔外科スキルのある歯科医師が行う必要があります。
当院では院長のみがおこないます。
【治療のポイント、こだわり】
サイナスリフトとは
上顎洞(鼻水がたまる場所)に骨を増やす方法
1.局所麻酔、切開、歯肉の剥離をおこなってから、マーキングを行い、骨を削って窓を開ける部位を明確にする。

2.骨を削り、人工骨をいれる為の窓を開け、上顎洞粘膜(シュナイダー膜)を上顎洞から剥離する。
上顎洞粘膜を破らないように慎重に行います。

3.上顎洞粘膜を剥離し、上顎洞底との間にできたスペースに人工骨をいれる。
写真で見える白い粒々が人工骨です。

4.始めにけずった骨を元の位置に戻し、縫合して終了です。

インプラント治療でインプラントをただ打つだけであれば、ある程度の歯科医師であれば可能です。
しかし、インプラントを、長期的に維持するためには、骨や、歯肉のコントロールが大切です。
【治療を終えて】
この患者様は本日、サイナスリフトとインプラント埋入をおこなったばかりです。
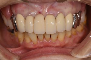
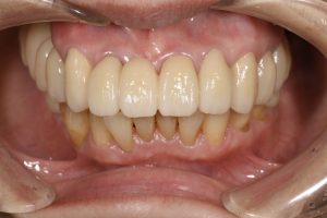
他の患者様ではこのような変化があります。
術前

術後

この患者様は上のはに元々被せ物と入れ歯がはいっていましたが、右上にサイナスリフトを行い、2本インプラントを埋入。
左上に1本、右下に1本、左下に1本インプラントを行いました。
残りの上の歯は歯周病でゆれていた歯を抜歯して、ジルコニアクラウン(セラミッククラウン)で治療しています。
【確実な治療を行うために】
高難度の治療の際は、毎回手書きで治療の流れ、内容を計画して行います。

※今回の治療に際して院長が書いた治療計画です。
インプラント治療でお悩みがございましたらご相談ください。
インプラント、セラミック治療の無料相談は随時受け付けております。
お電話にてお問い合わせください。
院長 宮園 智之 - Tomoyuki Miyazono
枚方市の歯医者「宮園歯科医院」では、患者様に寄り添って症状やお悩みをお聞きし、ご納得いただいたうえで治療を進めることを重視しています。当院が常に心掛けているのは、患者様にとって安心できる歯科治療を行うことです。 こちらでは、当院の診療理念と院長についてご紹介しています。当院での治療をご検討中の方は、まずは当院の歯科治療に対する考え方をご覧ください。当院は、皆様が安心して通える歯科医院を目指して日々力を尽くしています。
経歴
- 大阪府枚方市出身
- 2006年 高槻高等学校 卒業
- 2013年 朝日大学 歯学部 卒業
- 2014年 朝日大学病院 勤務
- 2015年 大阪府内医療法人 勤務
- 2017年 大阪府内医療法人 院長 理事就任
- 2020年 宮園歯科医院 勤務
- 2022年 宮園歯科医院 院長就任
所属・学会
- JIADS エンドコース
- JIADS 補綴コース
- JIADS デンチャーコース
- JIADS ペリオコース
- JIADS 再生医療コース
- 大森塾 5期
- 日本臨床歯周病学会 会員
- 日本口腔インプラント学会・JACID
