- 枚方市の歯医者なら「宮園歯科医院」
- スタッフブログ
- 前歯の変色でお悩みの患者様の治療
前歯の変色でお悩みの患者様の治療
Warning: Trying to access array offset on value of type bool in /home/xs831370/miyazono-dc.com/public_html/wp/wp-content/themes/miyazono-dc/single-blog.php on line 112
Warning: Trying to access array offset on value of type bool in /home/xs831370/miyazono-dc.com/public_html/wp/wp-content/themes/miyazono-dc/single-blog.php on line 112
Warning: Trying to access array offset on value of type bool in /home/xs831370/miyazono-dc.com/public_html/wp/wp-content/themes/miyazono-dc/single-blog.php on line 112
Warning: Trying to access array offset on value of type bool in /home/xs831370/miyazono-dc.com/public_html/wp/wp-content/themes/miyazono-dc/single-blog.php on line 112
Warning: Trying to access array offset on value of type bool in /home/xs831370/miyazono-dc.com/public_html/wp/wp-content/themes/miyazono-dc/single-blog.php on line 112
Warning: Trying to access array offset on value of type bool in /home/xs831370/miyazono-dc.com/public_html/wp/wp-content/themes/miyazono-dc/single-blog.php on line 112
大阪府枚方市の歯医者・宮園歯科医院です。
【長年悩まされていた前歯】
40代、女性
何年前より、前歯の色と歯茎の腫れで悩んでいた。
被せ物のやり直しを希望されて来院。
【治療の概要】
前歯の被せ物を除去して、仮歯の期間で歯肉の腫れが改善した後、被せ物をセラミッククラウン(emaxクラウン)で治療を行いました。
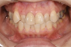
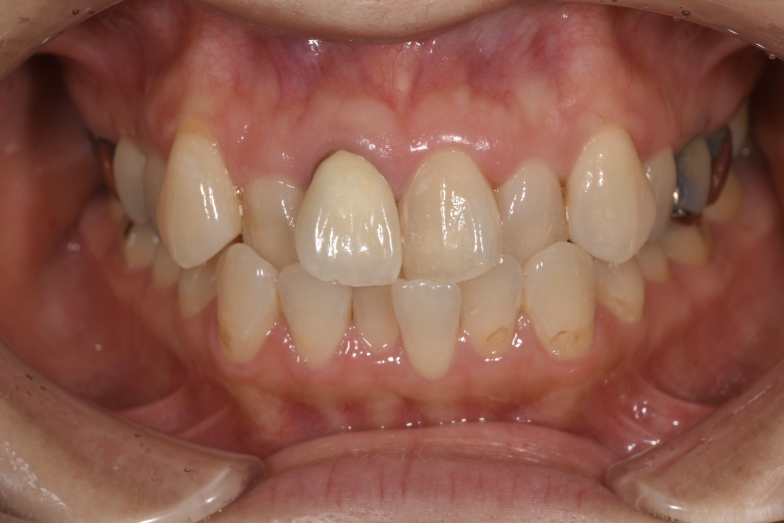
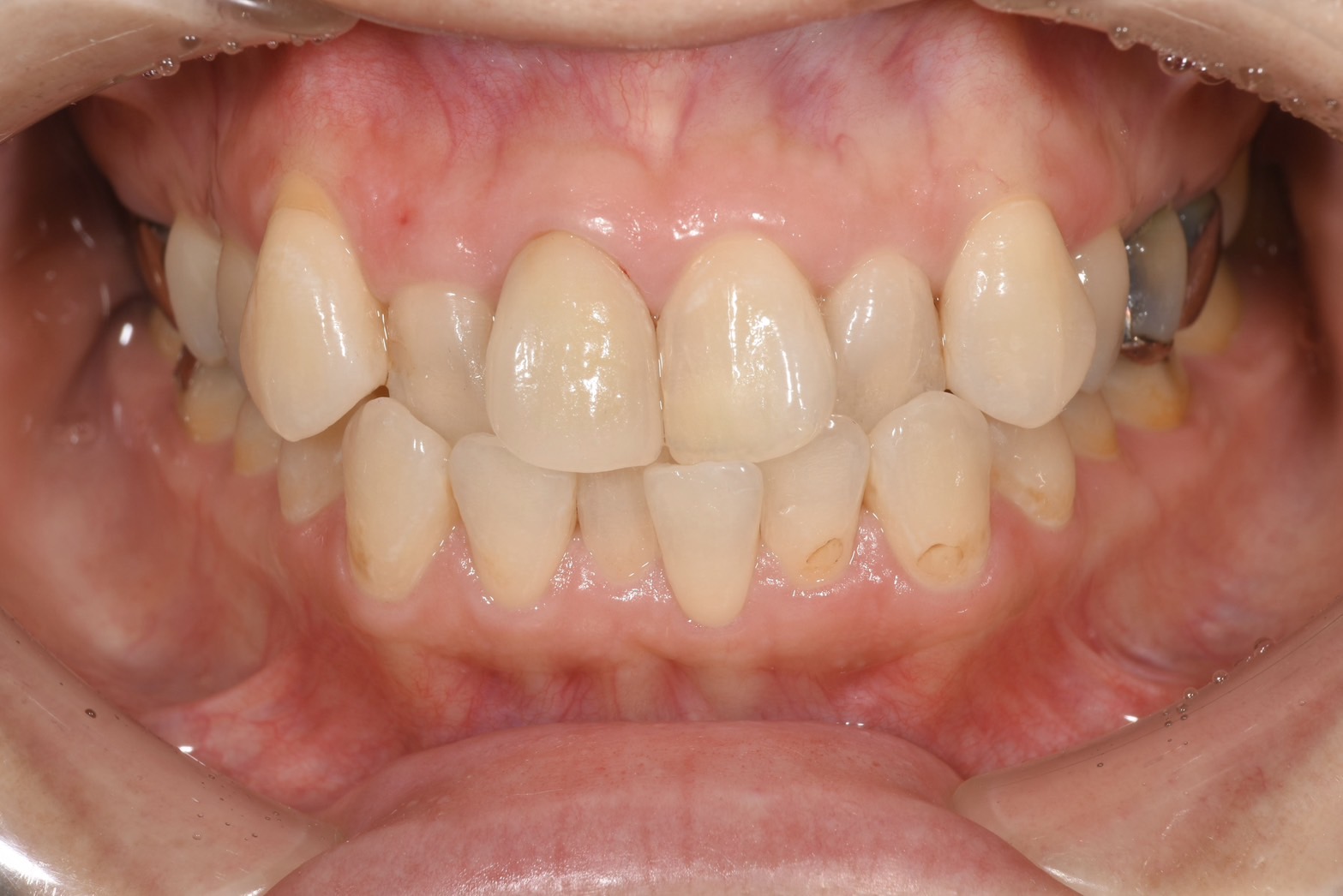
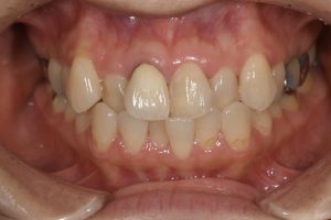
【治療前後の写真】
治療前
治療後
前歯のセラミックでの被せ物治療の写真です。写真は許可を頂いております。
【歯科医師目線で歯の状態】
古い被せ物の適合が悪く、被せ物と歯の間に段差があったため、そこにプラーク(磨き残し)が付着して、歯肉に炎症が起こり、治療前の写真を見ると歯肉が赤く腫れ、歯肉退縮をおこしています。
治療後の写真では、赤くなった歯肉がなおっています。
【治療の難易度】
このように適合のよい被せ物にすることで、歯肉の状態は改善してます。
その為には特別な方法を用いて、被せ物の型取りをおこないます。
その型取りが一番重要で難易度の高いものとなります。
次にその型取りの方法を説明します。
【治療のポイント、こだわり】
適合の良い被せ物を作るには、圧排コードを用いて歯茎の下まで型取りを行います。
歯茎の下の歯の形を再現できる為、歯科技工士が歯と、被せ物の間に段差がない被せ物を製作できます。
また型取りは変形の少ないシリコン印象材を用います。

通常の保険治療で用いる寒天、アルジネート印象では変形も大きく、歯茎の下まで型取りすることはできません。
また光学印象(口腔内スキャナーをもちいる型取り)は精度は高いですが、歯茎の下の型取りができません。
被せ物治療で、色だけ綺麗な被せ物ならば歯科技工士の腕次第ですので、ある程度の歯科医師であれば可能です。
しかし、被せ物を審美的に、長期的に維持するためには、歯肉のコントロールが大切です。
宮園歯科医院では、自費の被せ物治療の場合、全てこの方法で時間をかけて治療を行います。
【治療を終えて】

赤く腫れた歯肉もなおり、被せ物か天然歯かわからないぐらい綺麗に仕上がりました。
【他人から見える変化】
emaxクラウンは通常のセラミッククラウンと異なり、色調を綺麗に再現することが出来ます。
色調を綺麗に再現するには適切に歯の形を歯科医師が形成(支台歯形成)し、しっかりと被せ物の厚みを確保する必要があります。

厚みがしっかり取れないと、色がしっかり再現できなかったり、色が再現できても厚みが増してしまい、術前のように反対側の歯より少し出たような被せ物になってしまいます。
被せ物、セラミック治療でお悩みがございましたらご相談ください。
セラミック、インプラントは常時、無料相談を受け付けております。
院長 宮園 智之 - Tomoyuki Miyazono
枚方市の歯医者「宮園歯科医院」では、患者様に寄り添って症状やお悩みをお聞きし、ご納得いただいたうえで治療を進めることを重視しています。当院が常に心掛けているのは、患者様にとって安心できる歯科治療を行うことです。 こちらでは、当院の診療理念と院長についてご紹介しています。当院での治療をご検討中の方は、まずは当院の歯科治療に対する考え方をご覧ください。当院は、皆様が安心して通える歯科医院を目指して日々力を尽くしています。
経歴
- 大阪府枚方市出身
- 2006年 高槻高等学校 卒業
- 2013年 朝日大学 歯学部 卒業
- 2014年 朝日大学病院 勤務
- 2015年 大阪府内医療法人 勤務
- 2017年 大阪府内医療法人 院長 理事就任
- 2020年 宮園歯科医院 勤務
- 2022年 宮園歯科医院 院長就任
所属・学会
- JIADS エンドコース
- JIADS 補綴コース
- JIADS デンチャーコース
- JIADS ペリオコース
- JIADS 再生医療コース
- 大森塾 5期
- 日本臨床歯周病学会 会員
- 日本口腔インプラント学会・JACID
