前歯のセラミックブリッジ

BLOG

前歯のセラミックブリッジ

前歯のセラミックブリッジ

前歯のセラミックブリッジ


Warning: Trying to access array offset on value of type bool in /home/xs831370/miyazono-dc.com/public_html/wp/wp-content/themes/miyazono-dc/single-blog.php on line 112

Warning: Trying to access array offset on value of type bool in /home/xs831370/miyazono-dc.com/public_html/wp/wp-content/themes/miyazono-dc/single-blog.php on line 112

Warning: Trying to access array offset on value of type bool in /home/xs831370/miyazono-dc.com/public_html/wp/wp-content/themes/miyazono-dc/single-blog.php on line 112

Warning: Trying to access array offset on value of type bool in /home/xs831370/miyazono-dc.com/public_html/wp/wp-content/themes/miyazono-dc/single-blog.php on line 112

Warning: Trying to access array offset on value of type bool in /home/xs831370/miyazono-dc.com/public_html/wp/wp-content/themes/miyazono-dc/single-blog.php on line 112

Warning: Trying to access array offset on value of type bool in /home/xs831370/miyazono-dc.com/public_html/wp/wp-content/themes/miyazono-dc/single-blog.php on line 112

前歯のセラミックブリッジ

前歯のセラミックブリッジ

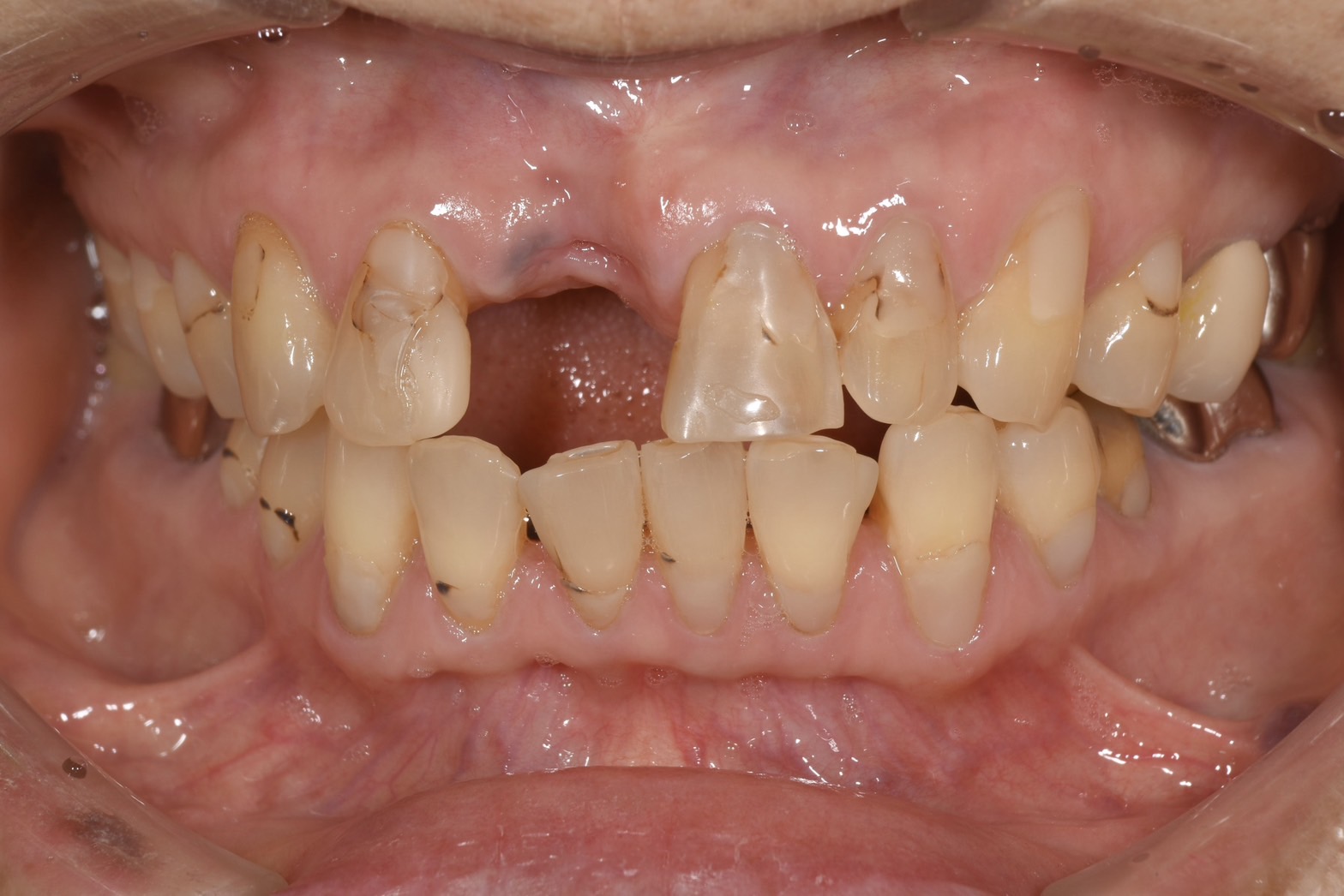
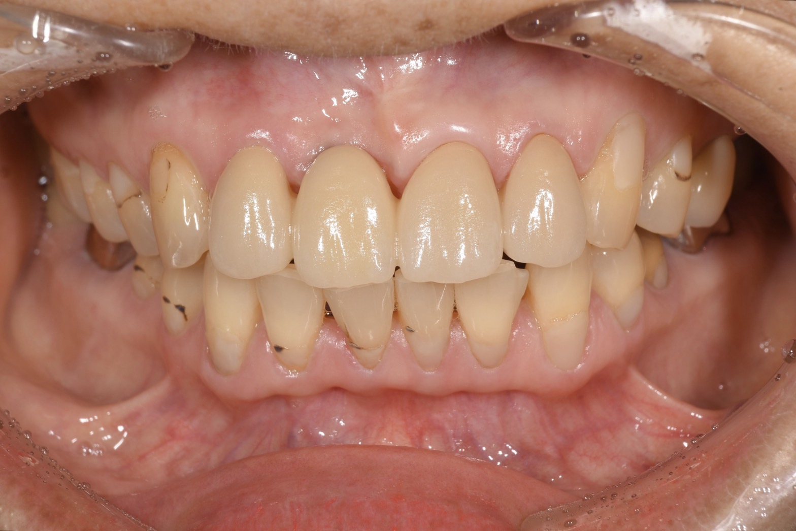
枚方市の歯医者、宮園歯科医院の宮園です。

今回の患者様のお悩み。

「出来るだけ負担を少なく前歯をキレイにしたい」

前歯をセラミック(emax)ブリッジで治療しました。

ブリッジとなる歯が神経のある歯のため、本来は削らずにできるインプラント治療が第一選択です。

インプラント治療をするには骨造成が必要であり、ご高齢であったのでブリッジで治療を行いました。

ブリッジであっても80歳の患者様であれば生涯ブリッジがもつためです。

逆に60歳の患者様には、90歳まで残り30年と考えるとブリッジはおすすめいたしません。

患者様のお口の状態と、年齢を考えて治療方法を選択しております。

高齢の方はブリッジで歯を削っても神経の部屋が狭いため神経の治療(いわゆる差し歯)になる可能性が少なく、この場合も神経の治療をせずにブリッジ治療を行えました。

さらに保険治療のプラスチックと比較して、セラミックのため、磨き残しが付きづらく適合も良い為、虫歯や歯周病にもなりづらくなっています。

前歯やセラミックの被せ物でお悩みの方は一度ご相談下さい。

 

監修者情報

院長 宮園 智之 - Tomoyuki Miyazono

枚方市の歯医者「宮園歯科医院」では、患者様に寄り添って症状やお悩みをお聞きし、ご納得いただいたうえで治療を進めることを重視しています。当院が常に心掛けているのは、患者様にとって安心できる歯科治療を行うことです。 こちらでは、当院の診療理念と院長についてご紹介しています。当院での治療をご検討中の方は、まずは当院の歯科治療に対する考え方をご覧ください。当院は、皆様が安心して通える歯科医院を目指して日々力を尽くしています。

経歴

  • 大阪府枚方市出身
  • 2006年 高槻高等学校 卒業
  • 2013年 朝日大学 歯学部 卒業
  • 2014年 朝日大学病院 勤務
  • 2015年 大阪府内医療法人 勤務
  • 2017年 大阪府内医療法人 院長 理事就任
  • 2020年 宮園歯科医院 勤務
  • 2022年 宮園歯科医院 院長就任

所属・学会

  • JIADS エンドコース
  • JIADS 補綴コース
  • JIADS デンチャーコース
  • JIADS ペリオコース
  • JIADS 再生医療コース
  • 大森塾 5期
  • 日本臨床歯周病学会 会員
  • 日本口腔インプラント学会・JACID