- 枚方市の歯医者なら「宮園歯科医院」
- スタッフブログ
- 長持ちするインプラント
長持ちするインプラント
Warning: Trying to access array offset on value of type bool in /home/xs831370/miyazono-dc.com/public_html/wp/wp-content/themes/miyazono-dc/single-blog.php on line 112
Warning: Trying to access array offset on value of type bool in /home/xs831370/miyazono-dc.com/public_html/wp/wp-content/themes/miyazono-dc/single-blog.php on line 112
Warning: Trying to access array offset on value of type bool in /home/xs831370/miyazono-dc.com/public_html/wp/wp-content/themes/miyazono-dc/single-blog.php on line 112
Warning: Trying to access array offset on value of type bool in /home/xs831370/miyazono-dc.com/public_html/wp/wp-content/themes/miyazono-dc/single-blog.php on line 112
Warning: Trying to access array offset on value of type bool in /home/xs831370/miyazono-dc.com/public_html/wp/wp-content/themes/miyazono-dc/single-blog.php on line 112
Warning: Trying to access array offset on value of type bool in /home/xs831370/miyazono-dc.com/public_html/wp/wp-content/themes/miyazono-dc/single-blog.php on line 112
Warning: Trying to access array offset on value of type bool in /home/xs831370/miyazono-dc.com/public_html/wp/wp-content/themes/miyazono-dc/single-blog.php on line 112
通常インプラントの生存率は
10年で90%
20年で70%です。
インプラントをさらに長持ちさせるためには大きく分けて二つのポイントがあります。
患者さんサイドのポイント
①ブラッシング、フロスなどのセルフメインテナンスをしっかりできているか。
②定期的に通院し、クリーニング、噛み合わせの確認などのメインテナンスを受けているか。
歯科医師サイドのポイント
①骨量、歯肉の量の十分な箇所に、正しい位置、方向に埋入出来ているか。
②インプラント箇所だけでなく、残りの歯をしっかり見れているか。
②については、歯科医師がインプラントを打つだけではなく、お口全体を診断して、「木を見て森を見ず」になっていないかが重要となります。
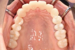
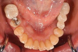
お口全体をひとまとめに見て治療した症例で説明いたします。
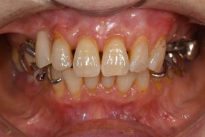
【初診時】

上下奥歯には義歯が装着されている
正面から見て噛み合わせの平面が凸凹している
入れ歯で噛みづらく、残った前歯でばかり咬むため、前歯が揺れている
※患者さんのご希望は「前歯が揺れてきたのでなんとかしてほしい」という内容でした。
揺れは物理的に被せ物で連結固定する事で治りますが、入れ歯のままではまた負荷がかかり、長持ちしません。
また逆に入れ歯をインプラントに変えただけでは、前歯が長持ちしません。
その為、入れ歯の部分にインプラント治療を行い、揺れてる前歯はセラミックの被せ物で連結固定しました。
それと同時に崩れた噛み合わせも治療しました。
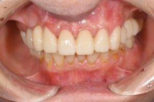
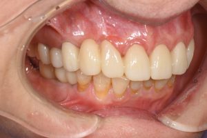
【術後】





①術前に崩れていた噛み合わせの修正
②虫歯になっていた銀歯をセラミックの被せ物に
③揺れていた前歯の固定
④入れ歯をインプラントに
以上を行いお口全体の治療を行いました。
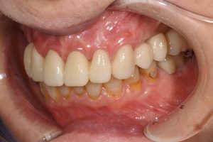
【現在】
治療後3年経過しましたが、この患者様は二ヶ月に一回メインテナンスに来てくださり、またセルフケアもしっかりしていただいている為、よい状態を維持できています。
また、入れ歯で前歯が揺れていた治療前よりも「今の方が10倍ご飯がおいしい!」と言っていただき大変嬉しく思っています。
症例数と治療内容を評価していただき来年度より、院長がストローマンインプラント講師となります。
※インプラントを学びたい歯科医師を対象とした講師です。
枚方市、寝屋川、交野市、八幡市、でインプラント治療をお考えの方はぜひ一度ご相談ください。
院長 宮園 智之 - Tomoyuki Miyazono
枚方市の歯医者「宮園歯科医院」では、患者様に寄り添って症状やお悩みをお聞きし、ご納得いただいたうえで治療を進めることを重視しています。当院が常に心掛けているのは、患者様にとって安心できる歯科治療を行うことです。 こちらでは、当院の診療理念と院長についてご紹介しています。当院での治療をご検討中の方は、まずは当院の歯科治療に対する考え方をご覧ください。当院は、皆様が安心して通える歯科医院を目指して日々力を尽くしています。
経歴
- 大阪府枚方市出身
- 2006年 高槻高等学校 卒業
- 2013年 朝日大学 歯学部 卒業
- 2014年 朝日大学病院 勤務
- 2015年 大阪府内医療法人 勤務
- 2017年 大阪府内医療法人 院長 理事就任
- 2020年 宮園歯科医院 勤務
- 2022年 宮園歯科医院 院長就任
所属・学会
- JIADS エンドコース
- JIADS 補綴コース
- JIADS デンチャーコース
- JIADS ペリオコース
- JIADS 再生医療コース
- 大森塾 5期
- 日本臨床歯周病学会 会員
- 日本口腔インプラント学会・JACID