- 枚方市の歯医者なら「宮園歯科医院」
- スタッフブログ
- 根管治療と歯根端切除術について
根管治療と歯根端切除術について
Warning: Trying to access array offset on value of type bool in /home/xs831370/miyazono-dc.com/public_html/wp/wp-content/themes/miyazono-dc/single-blog.php on line 112
Warning: Trying to access array offset on value of type bool in /home/xs831370/miyazono-dc.com/public_html/wp/wp-content/themes/miyazono-dc/single-blog.php on line 112
Warning: Trying to access array offset on value of type bool in /home/xs831370/miyazono-dc.com/public_html/wp/wp-content/themes/miyazono-dc/single-blog.php on line 112
Warning: Trying to access array offset on value of type bool in /home/xs831370/miyazono-dc.com/public_html/wp/wp-content/themes/miyazono-dc/single-blog.php on line 112
Warning: Trying to access array offset on value of type bool in /home/xs831370/miyazono-dc.com/public_html/wp/wp-content/themes/miyazono-dc/single-blog.php on line 112
Warning: Trying to access array offset on value of type bool in /home/xs831370/miyazono-dc.com/public_html/wp/wp-content/themes/miyazono-dc/single-blog.php on line 112
Warning: Trying to access array offset on value of type bool in /home/xs831370/miyazono-dc.com/public_html/wp/wp-content/themes/miyazono-dc/single-blog.php on line 112
【根管治療とは】
大きな虫歯になって歯の神経が感染してしまった時や、外傷で歯が破折して神経が露出してしまった場合に行う治療が根管治療です。
また、根管治療がうまくいかず根管治療のやり直しが必要な場合があります。
それを感染根管処置(再根管治療)といいます。
感染根管治療が必要になる原因は大きく分けて二つあります。
①不十分な根管治療による感染
根管治療時に根管内に汚れを取り残すことが原因となります。
②不適合補綴物による感染
100点の根管治療が出来ていても、被せ物がしっかりしていないと根管内に感染してしまいます。
セラミッククラウンやゴールドクラウンは適合がよく再治療になるリスクを下げることができます。
【歯根端切除術とは】
感染根管治療だけでは、治らない場合に行う治療です。
根の先から出た汚れと、感染した根の先を外科的に除去する方法です。
歯根端切除術を行えない場合は基本的には抜歯となります。
歯根端切除術を行える場合と行えない場合があります。
行えない場合
①歯根が短すぎる場合
※歯根が元々短い場合や歯周病で歯根が短くなってしまっている歯は、歯根を切除するとさらに歯根が短くなる為適応外となります。
②歯周ポケットが深すぎる場合
※歯周ポケットと根の先が繋がっている場合は適応外となります。
③下顎の神経と近い場合
④上顎洞と近い場合
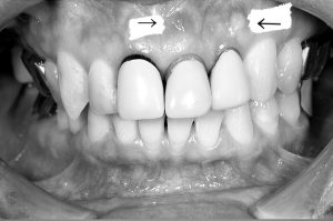
【歯根端切除術の流れ】

矢印の部分は膿が溜まって歯茎が腫れています。

レントゲンでは根の先が黒く写り、骨が溶けているのがわかります。

歯茎を開くと白い膿の袋がある状態です。

膿の袋と感染している根の先を切除した写真です。

縫合して終了です。

術後半年のレントゲン写真では、根の先の骨が溶けていたところもなくなり経過が良好であることがわかります。
治癒傾向にあったため、ジルコニアにて最終補綴を行い、治療終了となりました。

根管治療でお悩みがございましたらご相談下さい。
当院では治療可能な歯はエビデンスに基づき抜歯をせずに治療をおこなっております。
院長 宮園 智之 - Tomoyuki Miyazono
枚方市の歯医者「宮園歯科医院」では、患者様に寄り添って症状やお悩みをお聞きし、ご納得いただいたうえで治療を進めることを重視しています。当院が常に心掛けているのは、患者様にとって安心できる歯科治療を行うことです。 こちらでは、当院の診療理念と院長についてご紹介しています。当院での治療をご検討中の方は、まずは当院の歯科治療に対する考え方をご覧ください。当院は、皆様が安心して通える歯科医院を目指して日々力を尽くしています。
経歴
- 大阪府枚方市出身
- 2006年 高槻高等学校 卒業
- 2013年 朝日大学 歯学部 卒業
- 2014年 朝日大学病院 勤務
- 2015年 大阪府内医療法人 勤務
- 2017年 大阪府内医療法人 院長 理事就任
- 2020年 宮園歯科医院 勤務
- 2022年 宮園歯科医院 院長就任
所属・学会
- JIADS エンドコース
- JIADS 補綴コース
- JIADS デンチャーコース
- JIADS ペリオコース
- JIADS 再生医療コース
- 大森塾 5期
- 日本臨床歯周病学会 会員
- 日本口腔インプラント学会・JACID