前歯のセラミッククラウン

BLOG

前歯のセラミッククラウン

前歯のセラミッククラウン


Warning: Trying to access array offset on value of type bool in /home/xs831370/miyazono-dc.com/public_html/wp/wp-content/themes/miyazono-dc/single-blog.php on line 112

Warning: Trying to access array offset on value of type bool in /home/xs831370/miyazono-dc.com/public_html/wp/wp-content/themes/miyazono-dc/single-blog.php on line 112

Warning: Trying to access array offset on value of type bool in /home/xs831370/miyazono-dc.com/public_html/wp/wp-content/themes/miyazono-dc/single-blog.php on line 112

Warning: Trying to access array offset on value of type bool in /home/xs831370/miyazono-dc.com/public_html/wp/wp-content/themes/miyazono-dc/single-blog.php on line 112

Warning: Trying to access array offset on value of type bool in /home/xs831370/miyazono-dc.com/public_html/wp/wp-content/themes/miyazono-dc/single-blog.php on line 112

Warning: Trying to access array offset on value of type bool in /home/xs831370/miyazono-dc.com/public_html/wp/wp-content/themes/miyazono-dc/single-blog.php on line 112

Warning: Trying to access array offset on value of type bool in /home/xs831370/miyazono-dc.com/public_html/wp/wp-content/themes/miyazono-dc/single-blog.php on line 112

前歯のセラミッククラウン

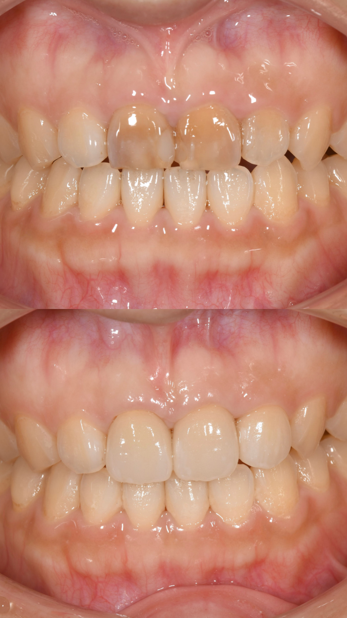
こんにちは!大阪府枚方市の歯医者・宮園歯科医院です。

前歯の変色でお悩みの患者様にセラミッククラウン(emaxクラウン)で治療をおこないました。

正面から見て真ん中二本と真ん中から二番目の歯が神経治療を行った歯であるため、変色していました。

真ん中から右2番目の歯はまだ変色の程度は軽いですが、今後変色する事が考えられますし、神経治療後の歯は被せて物理的に保護しないと破折の可能性があるため、3本同時に被せ物治療を行いました。

自費の被せ物治療では精密な治療を行うため、シリコンを用いて型取りをおこないます。

また技工士さんに色を綺麗に再現して身もらうために、歯科用の一眼レフで写真を撮影しています。

この症例は、元々の歯の長さも短かったため審美性を改善するために歯の長さも改善しています。

人によって綺麗に見える歯の長さは上の真ん中の歯で約10〜11ミリとなります。

この症例は下の前歯の長さを考えて10ミリの長さに設定しています。

セラミックの被せ物でお悩みがございましたらご相談下さい。

監修者情報

院長 宮園 智之 - Tomoyuki Miyazono

枚方市の歯医者「宮園歯科医院」では、患者様に寄り添って症状やお悩みをお聞きし、ご納得いただいたうえで治療を進めることを重視しています。当院が常に心掛けているのは、患者様にとって安心できる歯科治療を行うことです。 こちらでは、当院の診療理念と院長についてご紹介しています。当院での治療をご検討中の方は、まずは当院の歯科治療に対する考え方をご覧ください。当院は、皆様が安心して通える歯科医院を目指して日々力を尽くしています。

経歴

  • 大阪府枚方市出身
  • 2006年 高槻高等学校 卒業
  • 2013年 朝日大学 歯学部 卒業
  • 2014年 朝日大学病院 勤務
  • 2015年 大阪府内医療法人 勤務
  • 2017年 大阪府内医療法人 院長 理事就任
  • 2020年 宮園歯科医院 勤務
  • 2022年 宮園歯科医院 院長就任

所属・学会

  • JIADS エンドコース
  • JIADS 補綴コース
  • JIADS デンチャーコース
  • JIADS ペリオコース
  • JIADS 再生医療コース
  • 大森塾 5期
  • 日本臨床歯周病学会 会員
  • 日本口腔インプラント学会・JACID