前歯のインプラント

BLOG

前歯のインプラント

前歯のインプラント

前歯のインプラント


Warning: Trying to access array offset on value of type bool in /home/xs831370/miyazono-dc.com/public_html/wp/wp-content/themes/miyazono-dc/single-blog.php on line 112

Warning: Trying to access array offset on value of type bool in /home/xs831370/miyazono-dc.com/public_html/wp/wp-content/themes/miyazono-dc/single-blog.php on line 112

Warning: Trying to access array offset on value of type bool in /home/xs831370/miyazono-dc.com/public_html/wp/wp-content/themes/miyazono-dc/single-blog.php on line 112

Warning: Trying to access array offset on value of type bool in /home/xs831370/miyazono-dc.com/public_html/wp/wp-content/themes/miyazono-dc/single-blog.php on line 112

Warning: Trying to access array offset on value of type bool in /home/xs831370/miyazono-dc.com/public_html/wp/wp-content/themes/miyazono-dc/single-blog.php on line 112

Warning: Trying to access array offset on value of type bool in /home/xs831370/miyazono-dc.com/public_html/wp/wp-content/themes/miyazono-dc/single-blog.php on line 112

前歯のインプラント

前歯のインプラント

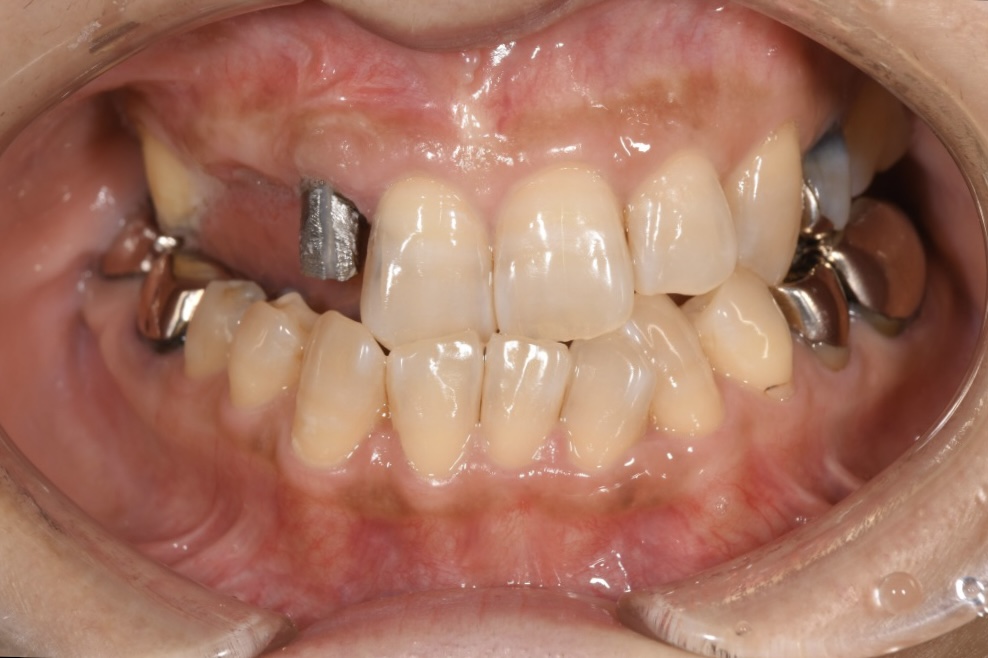
こんにちは!大阪府枚方市の歯医者・宮園歯科医院です。

前歯のセラミックでの被せ物治療とインプラント治療の写真です。

前から見て2番目の歯は状態があまり良くありませんでしたが、3番目、4番目にインプラントを埋入する際に、歯根端切除術を行い保存してレイヤリングジルコニアクラウンで治療しました。

レイヤリングジルコニアクラウンは通常のジルコニアクラウンと異なり、色調を綺麗に再現することが出来ます。

3番目、4番目のインプラント埋入時には、骨の高さが低く、そのままインプラントを行うと、歯が長くなってしまい審美的に良くないため、GBR(骨造成)も行いました。

その結果、反対側の天然歯と同じ長さなの歯に仕上げることができました。

インプラント治療でインプラントをただ打つだけであれば、ある程度の歯科医師であれば可能です。

しかし、インプラントを審美的に、長期的に維持するためには、骨や、歯肉のコントロールが大切です。

インプラント治療でお悩みがございましたらご相談ください。

インプラントは常時、無料相談を受け付けております。

監修者情報

院長 宮園 智之 - Tomoyuki Miyazono

枚方市の歯医者「宮園歯科医院」では、患者様に寄り添って症状やお悩みをお聞きし、ご納得いただいたうえで治療を進めることを重視しています。当院が常に心掛けているのは、患者様にとって安心できる歯科治療を行うことです。 こちらでは、当院の診療理念と院長についてご紹介しています。当院での治療をご検討中の方は、まずは当院の歯科治療に対する考え方をご覧ください。当院は、皆様が安心して通える歯科医院を目指して日々力を尽くしています。

経歴

  • 大阪府枚方市出身
  • 2006年 高槻高等学校 卒業
  • 2013年 朝日大学 歯学部 卒業
  • 2014年 朝日大学病院 勤務
  • 2015年 大阪府内医療法人 勤務
  • 2017年 大阪府内医療法人 院長 理事就任
  • 2020年 宮園歯科医院 勤務
  • 2022年 宮園歯科医院 院長就任

所属・学会

  • JIADS エンドコース
  • JIADS 補綴コース
  • JIADS デンチャーコース
  • JIADS ペリオコース
  • JIADS 再生医療コース
  • 大森塾 5期
  • 日本臨床歯周病学会 会員
  • 日本口腔インプラント学会・JACID