case ホワイトニング
-
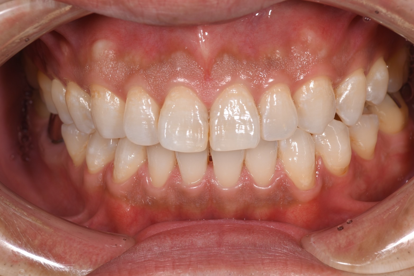
Before
-
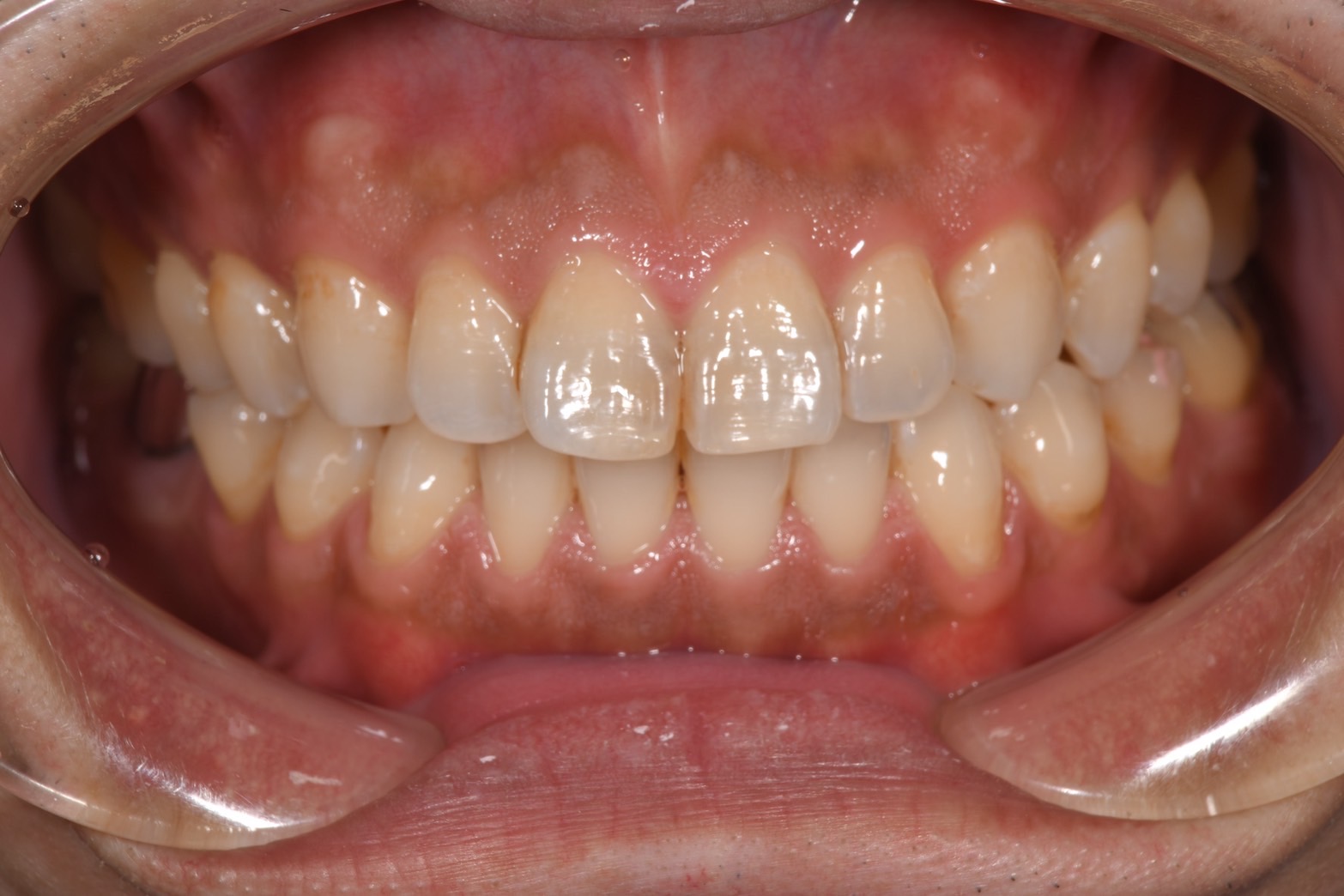
After
オフィスホワイトニング1回目にホームホワイトニングキットをお渡しし、ホームホワイトニングを2週間して来院していただき、2回目のオフィスホワイトニングが終わった後の写真です。
| カテゴリー | ホワイトニング |
|---|---|
| 症例名 | ホワイトニング |
| 年齢 | 40 | 性別 | 男性 | 地域 | 枚方市 |
|---|---|---|---|---|---|
| 主訴/ニーズ | 歯を白くしたい | ||||
| 治療回数 | 2回 | 治療期間 | 二週間 | ||
| 治療のリスク | 歯の知覚過敏 | ||||
| 想定される 副作用 |
知覚過敏 | ||||
| 治療内容 | ホームホワイトニング+オフィスホワイトニング | ||||
| 費用 | 5.5万円 | ||||