- 枚方市の歯医者なら「宮園歯科医院」
- 症例紹介
- ジルコニアブリッジ
case ジルコニアブリッジ
-
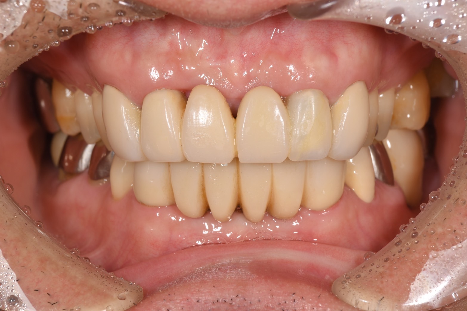
Before
-
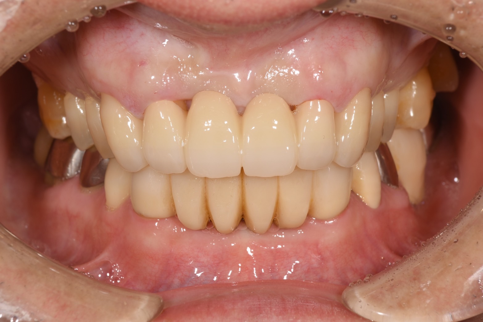
After
保険治療のプラスチックのブリッジの劣化による変色と表面のざらつきを改善するためジルコニアブリッジを希望され来院された患者様です。
歯の色と形態も修正して治療しました。
黄色で表示されているのが新しい被せ物。ブルーで表示されているのが古い被せ物です。
古い被せ物よりも綺麗な形態にするため、写真のようにデジタル化し比較して被せ物を製作しています。




| カテゴリー | 被せ物 |
|---|---|
| 症例名 | セラミックブリッジ |
| 年齢 | 50 | 性別 | 男性 | 地域 | 枚方市 |
|---|---|---|---|---|---|
| 主訴/ニーズ | 前歯の色が気になる | ||||
| 治療回数 | 3回 | 治療期間 | 三週間 | ||
| 治療のリスク | 過度な力によるセラミックの破折 | ||||
| 想定される 副作用 |
ブラッシング不足による虫歯 | ||||
| 治療内容 | |||||
| 費用 | 48万円(税込) | ||||