- 枚方市の歯医者なら「宮園歯科医院」
- 症例紹介
- ラミネートベニヤ
case ラミネートベニヤ
-
Before
-
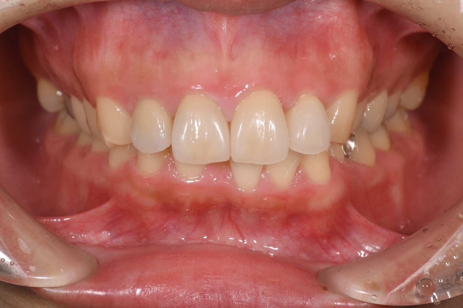
After
術後の写真は治療終了から5年経過したものです。
前歯4本の並びと色を気にされ来院されました。
全て神経のある歯であった為、歯の表面だけを少し削るラミネートベニヤで治療を行いました。
術後写真のように5年経過した現在でも色の変わりや歯茎の下りもなく、審美的、機能的に問題なく使用していただいております。
| カテゴリー | 被せ物 |
|---|---|
| 症例名 | ラミネートベニヤ |
| 年齢 | 30 | 性別 | 女性 | 地域 | 枚方市 |
|---|---|---|---|---|---|
| 主訴/ニーズ | 前歯を綺麗にしたい | ||||
| 治療回数 | 2回 | 治療期間 | 二週間 | ||
| 治療のリスク | 過度な力によるセラミックの破折 | ||||
| 想定される 副作用 |
ブラッシング不足による虫歯 | ||||
| 治療内容 | ラミネートベニヤ | ||||
| 費用 | 40万(税込) | ||||