- 枚方市の歯医者なら「宮園歯科医院」
- 症例紹介
- セラミックで咬合再構成
case セラミックで咬合再構成
-
Before
-
After
古い被せ物の変色と被せ物や詰め物がよく取れる。
との事で来院されました。
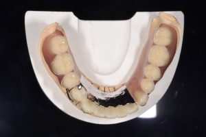
部分的な治療の繰り返しにより、噛み合わせ(咬合)が壊れてしまっていることが原因で、被せ物や詰め物が脱離してしまっており、また被せ物の変色も気にされていたため、セラミックと金属床義歯で治療を行いました。
それと並行して再治療が必要のないように噛み合わせ治療を行いました。



費用
フルジルコニアクラウン
8万×19本=152万
金属床義歯30万
合計182万(税込)
| カテゴリー | 被せ物治療 |
|---|---|
| 症例名 | セラミックで咬合再構成 |
| 年齢 | 70 | 性別 | 男性 | 地域 | 枚方市 |
|---|---|---|---|---|---|
| 主訴/ニーズ | 再治療をなくしたい | ||||
| 治療回数 | 30回 | 治療期間 | 一年 | ||
| 治療のリスク | 過度な力によるセラミックの破折 | ||||
| 想定される 副作用 |
ブラッシング不足による虫歯、歯周病 | ||||
| 治療内容 | セラミックで咬合再構成 | ||||
| 費用 | 182万(税込) | ||||