- 枚方市の歯医者なら「宮園歯科医院」
- 症例紹介
- 前歯のインプラント治療
case 前歯のインプラント治療
-
Before
-
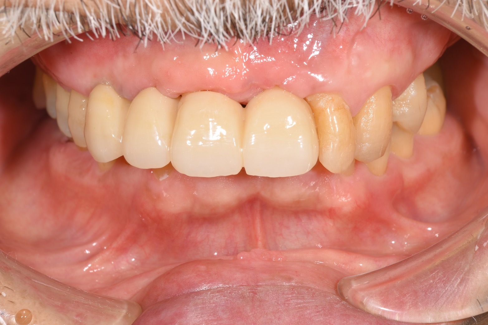
After
前歯の入れ歯を入れたが、噛みにくい、しゃべりにくいためインプラント治療を希望されて来院されました。
インプラントを埋入するための骨がかなり不足していた為、インプラント埋入と同時に骨造成(GBR)も行って治療しました。
治療費用
インプラント3本
30万×3本=90万
骨造成
25万
サージカルガイト
6万
合計 121万(税込)
| カテゴリー | インプラント |
|---|---|
| 症例名 | 前歯のインプラント治療 |
| 年齢 | 70 | 性別 | 男性 | 地域 | 枚方市 |
|---|---|---|---|---|---|
| 主訴/ニーズ | 入れ歯からインプラントにしたい | ||||
| 治療回数 | 10回 | 治療期間 | 6ヶ月 | ||
| 治療のリスク | 過度な力によるセラミックの破折 | ||||
| 想定される 副作用 |
ブラッシング不足によるインプラント周囲炎 | ||||
| 治療内容 | 前歯のインプラント治療 | ||||
| 費用 | 121万(税込) | ||||