- 枚方市の歯医者なら「宮園歯科医院」
- 症例紹介
- ホワイトニング
case ホワイトニング
-
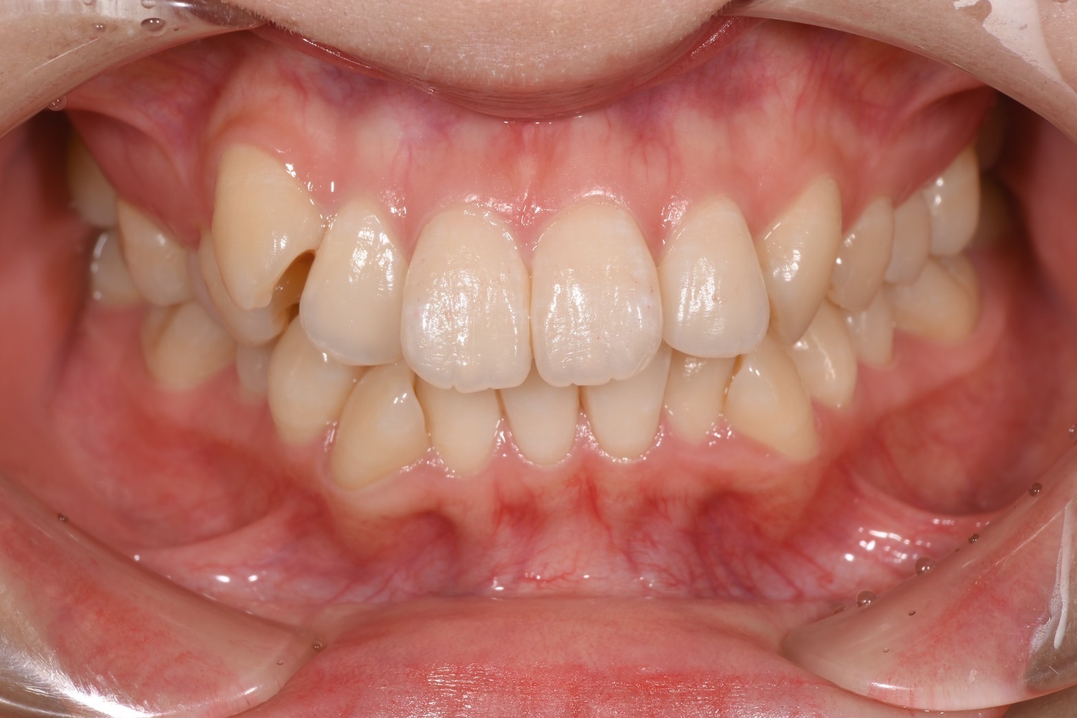
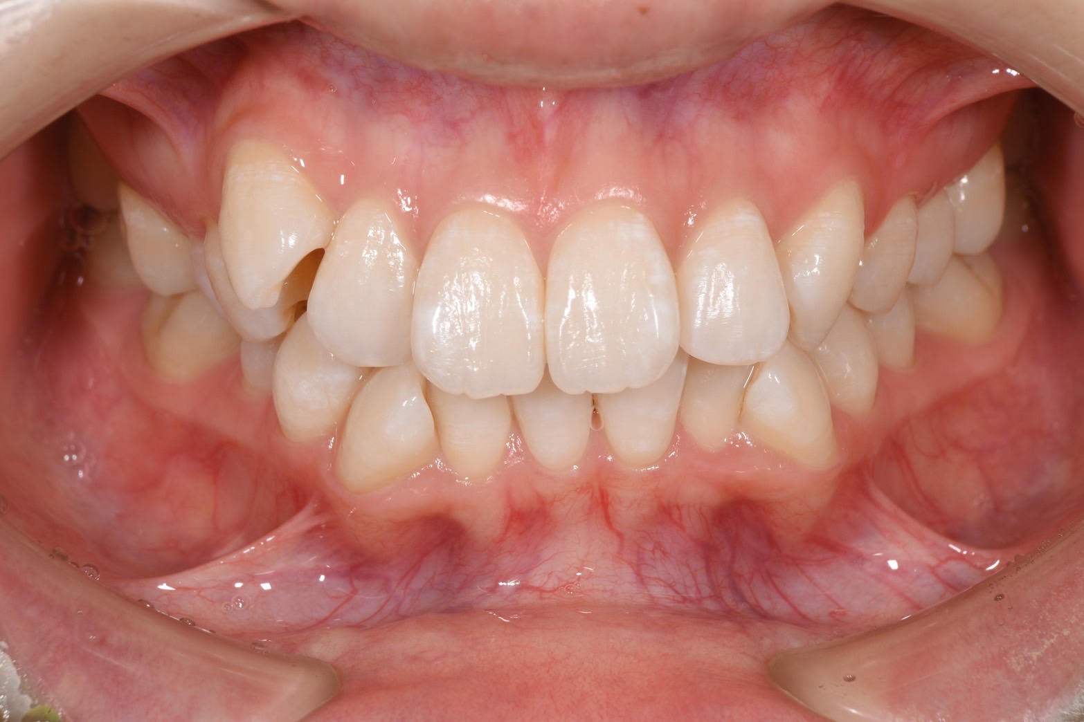
Before
-
After
ホワイトニングスタート前と
1.オフィスホワイトニング1回目
2.ホームホワイトニング2週間
3.オフィスホワイトニング2回目
の1〜3まで終了した写真となります。
| カテゴリー | ホワイトニング |
|---|---|
| 症例名 | ホワイトニング |
| 年齢 | 20 | 性別 | 女性 | 地域 | 枚方市 |
|---|---|---|---|---|---|
| 主訴/ニーズ | ホワイトニングをしたい | ||||
| 治療回数 | 3回 | 治療期間 | 二週間 | ||
| 治療のリスク | 知覚過敏 | ||||
| 想定される 副作用 |
過度なホワイトニングによる知覚過敏 | ||||
| 治療内容 | オフィス+ホームホワイトニング | ||||
| 費用 | 5.5万円 | ||||