ホワイトニング

case ホワイトニング

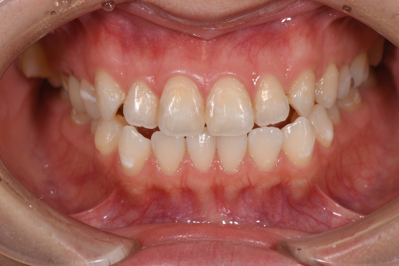
  • Before

    ホワイトニング

  • After

    ホワイトニング

ホワイトニングスタート前と

1.オフィスホワイトニング1回目
2.ホームホワイトニング2週間
3.オフィスホワイトニング2回目

の1〜3まで終了した写真となります。

カテゴリー ホワイトニング
症例名 ホワイトニング
年齢 18 性別 女性 地域 枚方市
主訴/ニーズ 歯を白くしたい
治療回数 2回 治療期間 二週間
治療のリスク 知覚過敏
想定される
副作用
知覚過敏
治療内容 ホワイトニング
費用 5.5万円(税込)