- 枚方市の歯医者なら「宮園歯科医院」
- 症例紹介
- オールオン6
case オールオン6
-
Before
-
After
【オールオン6(AO6)とは】
歯が一本もない場合に、インプラントを6本埋入しその上に被せ物をする治療です。
上顎では6本インプラントをするAO6が基本ですが、骨が硬い下顎ではインプラントを4本するAO4も可能です。
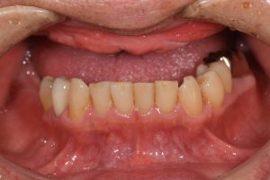
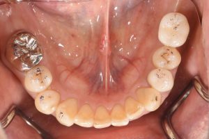
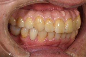
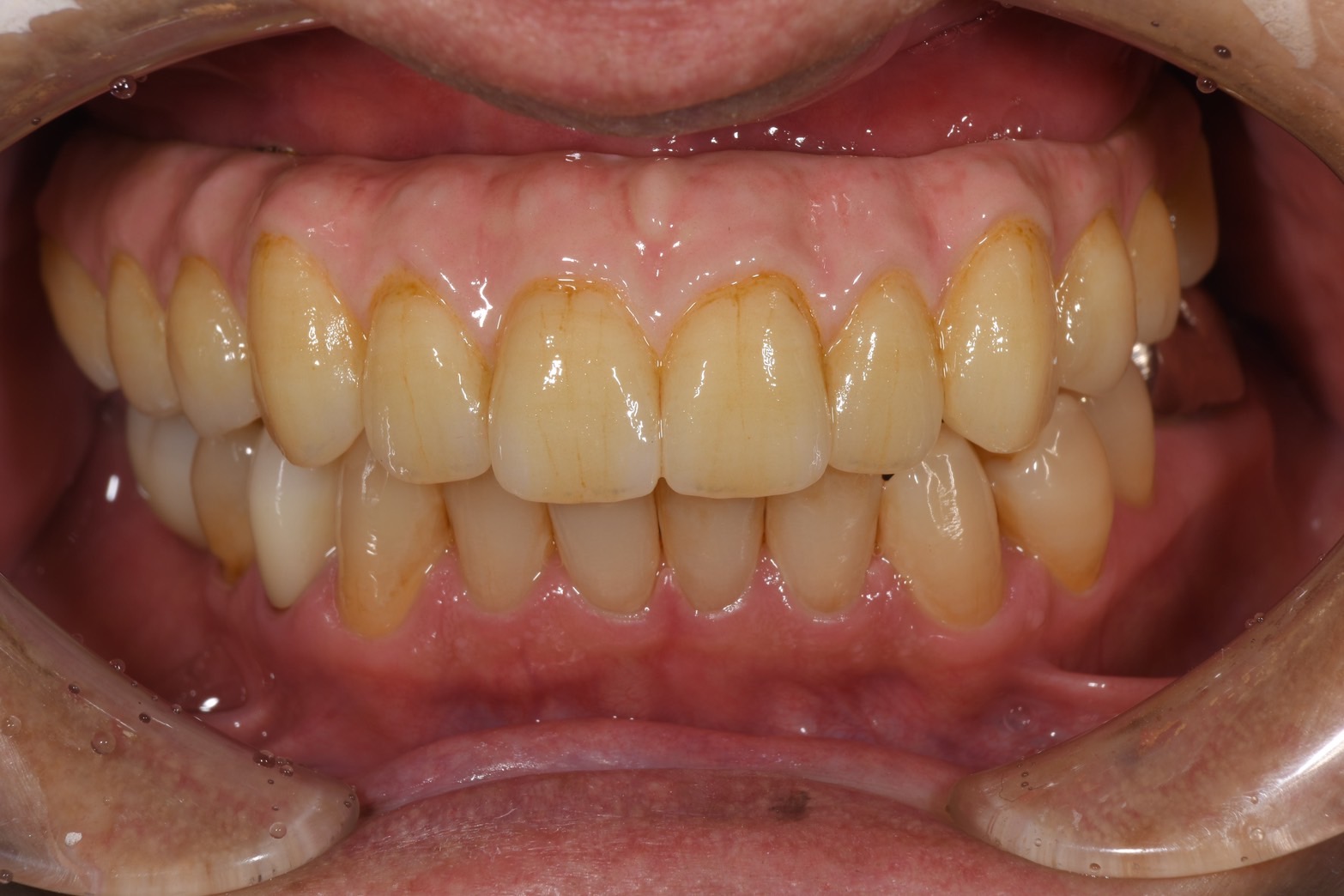
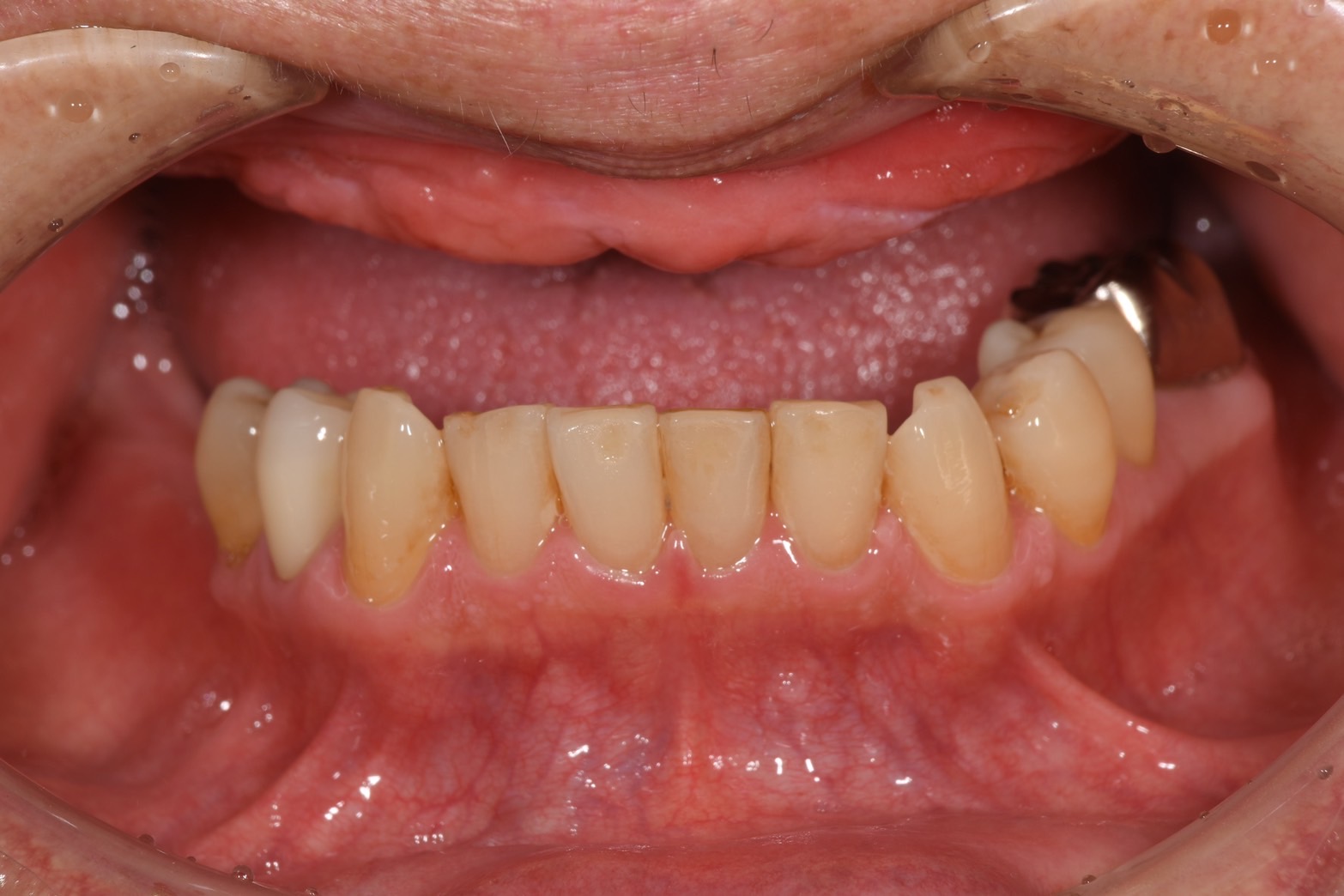
【初診時口腔内写真】





【仮歯】

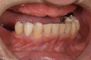
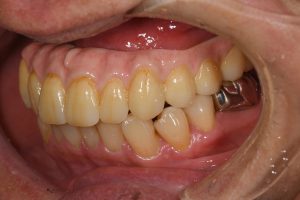
【仮歯セット時口腔内写真】





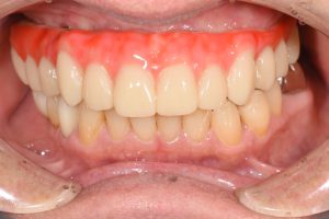
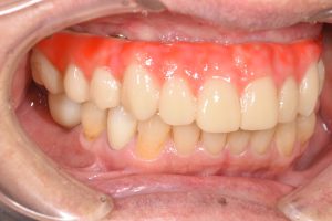
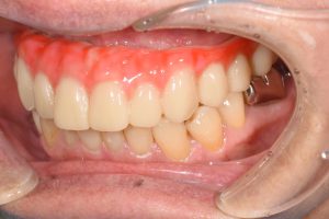
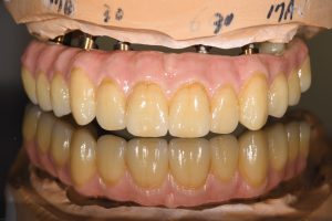
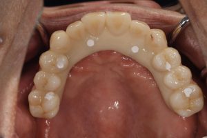
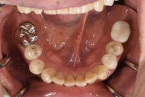
【最終補綴物】

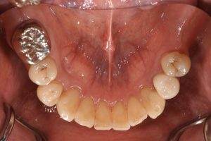
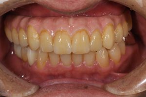
【最終補綴物セット時口腔内写真】





入れ歯で日常生活に支障や不満がない方は入れ歯のままで良いと思いますが、そうではない患者様には費用はかかりますが、インプラント治療は生活と残りの人生を変える、非常に良い治療だと思っています。
インプラント治療でお悩みがございましたら、ご相談下さい。
費用内訳
・AO6用サージカルガイト
10万(税込)
・インプラント埋入
20万×6本=120万(税込)
・上部構造
150万(税込)
・合計
280万(税込)
※AO4の場合は 240万(税込)
| カテゴリー | インプラント |
|---|---|
| 症例名 | オールオン6 |
| 年齢 | 60 | 性別 | 男性 | 地域 | 枚方市 |
|---|---|---|---|---|---|
| 主訴/ニーズ | 歯を入れたい。入れ歯は絶対に嫌だ。 | ||||
| 治療回数 | 20回 | 治療期間 | 8ヶ月 | ||
| 治療のリスク | ブラッシング不足によるインプラント周囲炎 | ||||
| 想定される 副作用 |
過度な力によるセラミックの破折 | ||||
| 治療内容 | オールオン6 | ||||
| 費用 | 280万円(税込) | ||||