- 枚方市の歯医者なら「宮園歯科医院」
- 症例紹介
- 骨造成 インプラント治療
case 骨造成 インプラント治療
-
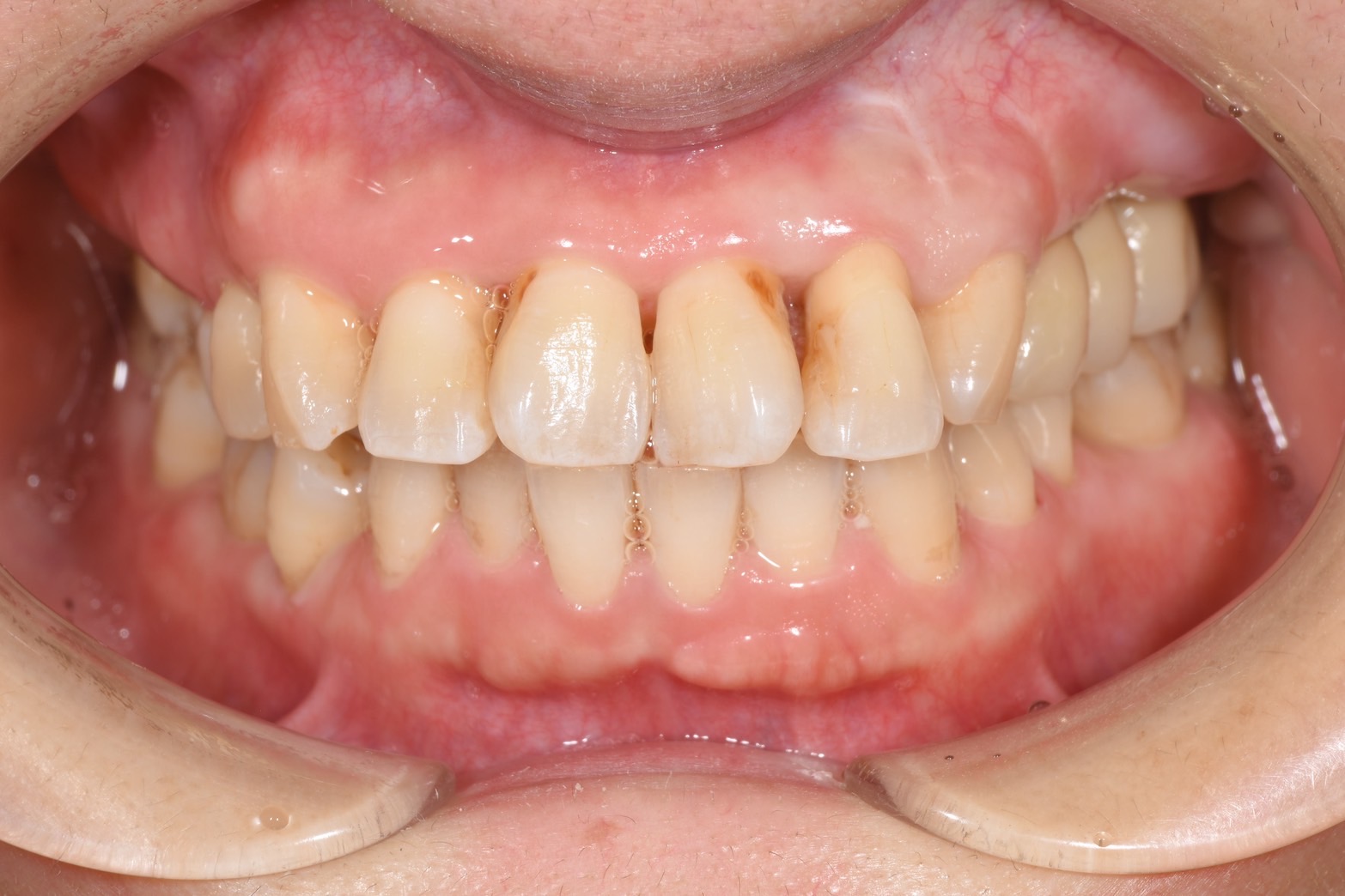
Before
-
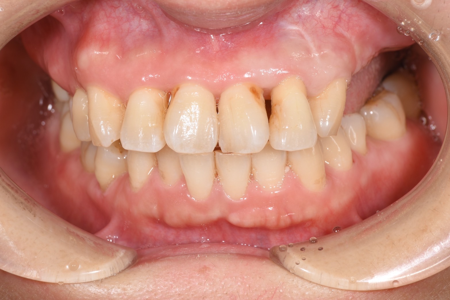
After
歯周病によって骨が無くなり、インプラントができない状態であったため、骨造成してインプラント治療を行いました。
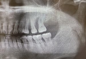
治療前レントゲン

歯の周りの骨がなくなり、レントゲンで黒くうつっている。
治療後レントゲン

人工骨を用いて骨造成を行ったため、レントゲンで白く映る骨ができている。
治療費用
インプラント 30万円×2本
ブリッジ部分ダミー 8万円×1本
サージカルガイト 6万円
骨造成 25万円
合計 99万円(税込)
| カテゴリー | インプラント |
|---|---|
| 症例名 | 骨造成してインプラント治療 |
| 年齢 | 50 | 性別 | 女性 | 地域 | 枚方市 |
|---|---|---|---|---|---|
| 主訴/ニーズ | インプラント治療をしたい | ||||
| 治療回数 | 15回 | 治療期間 | 8ヶ月 | ||
| 治療のリスク | 過度な力によるセラミックの破折 | ||||
| 想定される 副作用 |
過度な力によるセラミックの破折 | ||||
| 治療内容 | 骨造成とインプラント | ||||
| 費用 | 99万円 | ||||