オフィス・ホームホワイトニング|枚方市で歯医者なら医療法人宮園歯科医院
072-848-1105
大阪府枚方市須山町27−10
月・火・水・木・金曜日:
9:00 - 12:30 / 14:30 - 19:00
土曜日:
9:00 - 12:30 / 13:30 - 17:00
休診日:
日曜日・祝日
WEB診療予約
当院に初めてご来院の方
のみご利用ください
オフィス・ホームホワイトニング
concept
診療案内
診療方針
初診の流れ
medical
治療項目
インプラント治療
虫歯治療・根管治療
歯科口腔外科
審美歯科治療・ホワイトニング
予防歯科
入れ歯治療
小児歯科
歯周病治療
Price
料金表
Case
症例紹介
clinic
当院について
医院紹介・アクセス
院長紹介
設備紹介
採用情報
ブログ
072-848-1105
大阪府枚方市須山町27−10
WEB診療予約
当院に初めてご来院の方
のみご利用ください
Top
症例紹介
オフィス・ホームホワイトニング
case
オフィス・ホームホワイトニング
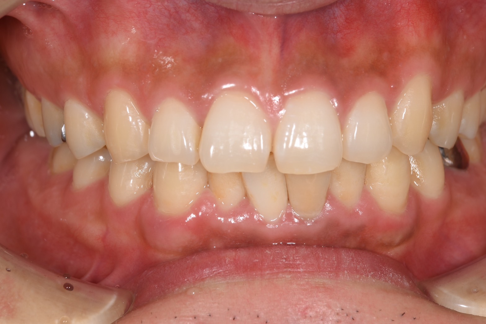
Before
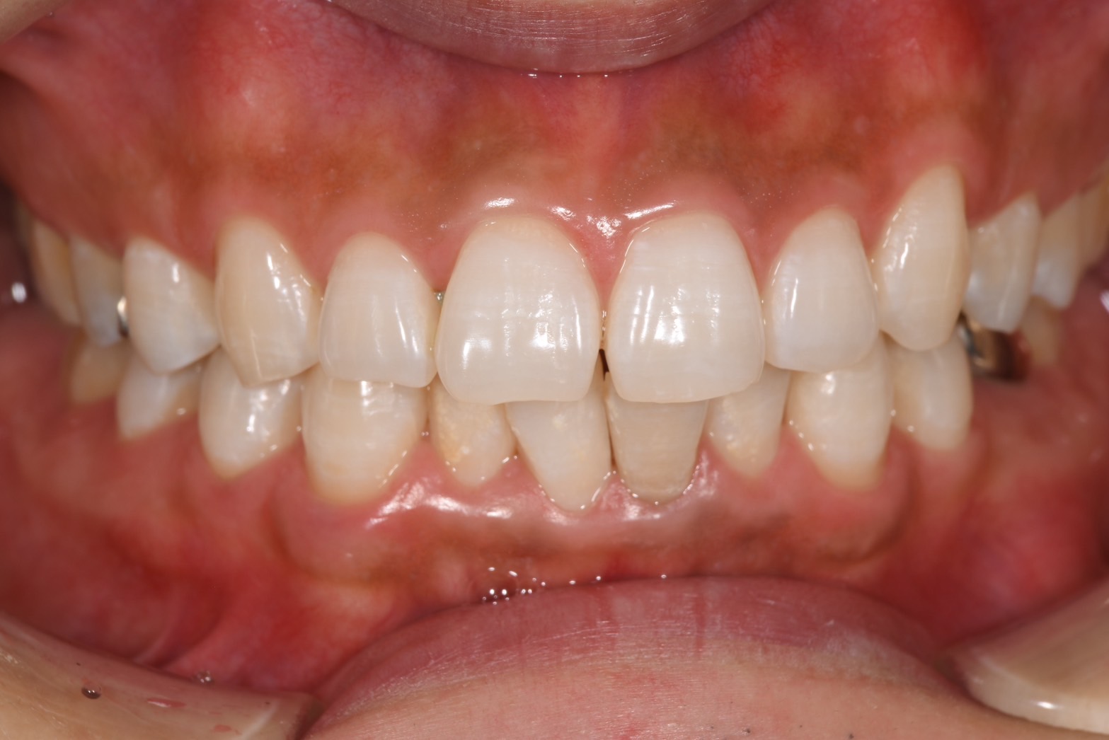
After
年齢
20代
性別
女性
地域
枚方市
主訴/ニーズ
歯を白くしたい
治療回数
治療期間
治療のリスク
想定される
副作用
治療内容
変色している歯をホワイトニング
費用
66,000円
前へ
一覧に戻る
次へ
電話をする
WEB診療予約
当院に初めてご来院の方
のみご利用ください