- 枚方市の歯医者なら「宮園歯科医院」
- 症例紹介
- e-maxクラウンでの被せ物治療
case e-maxクラウンでの被せ物治療
-
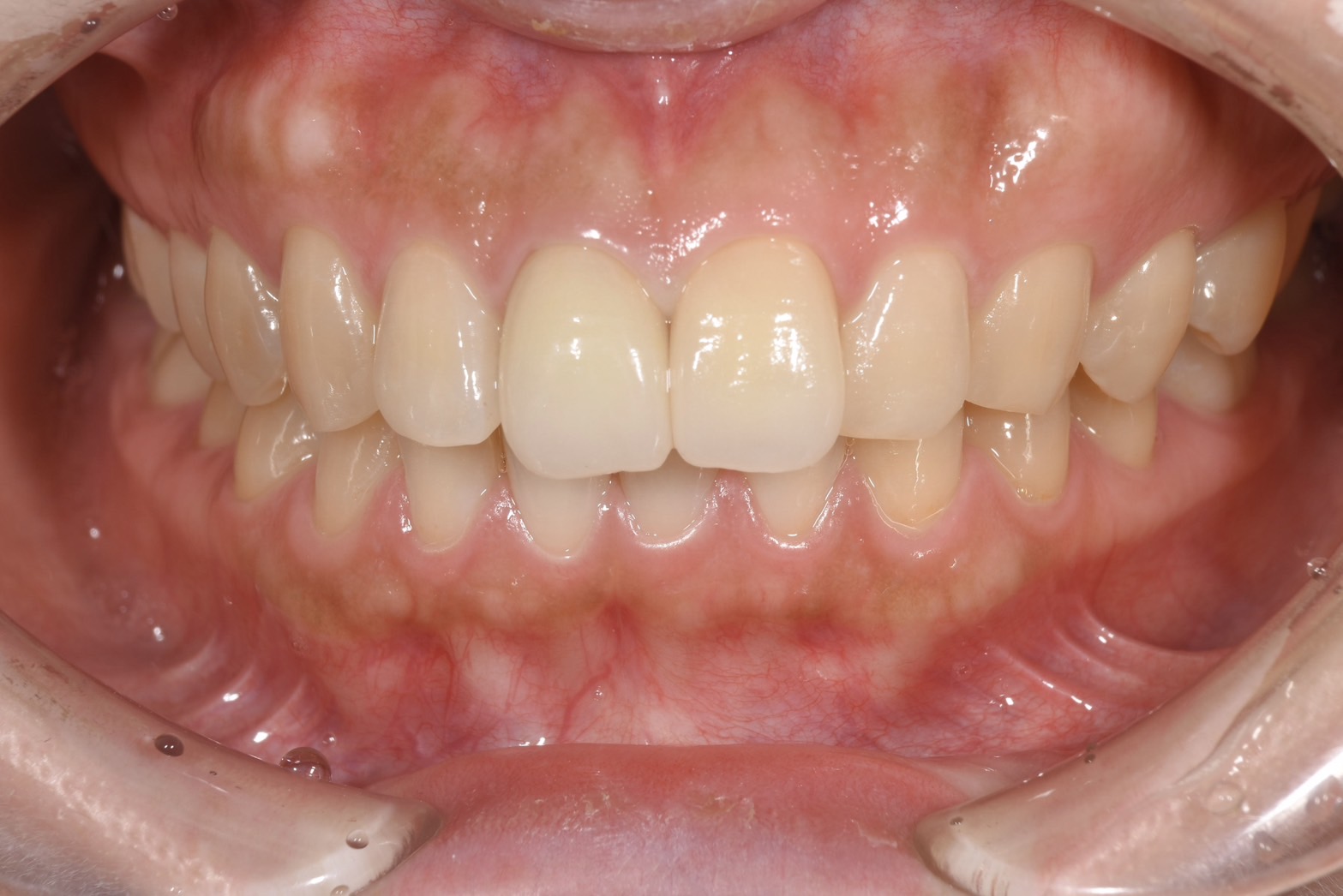
Before
-
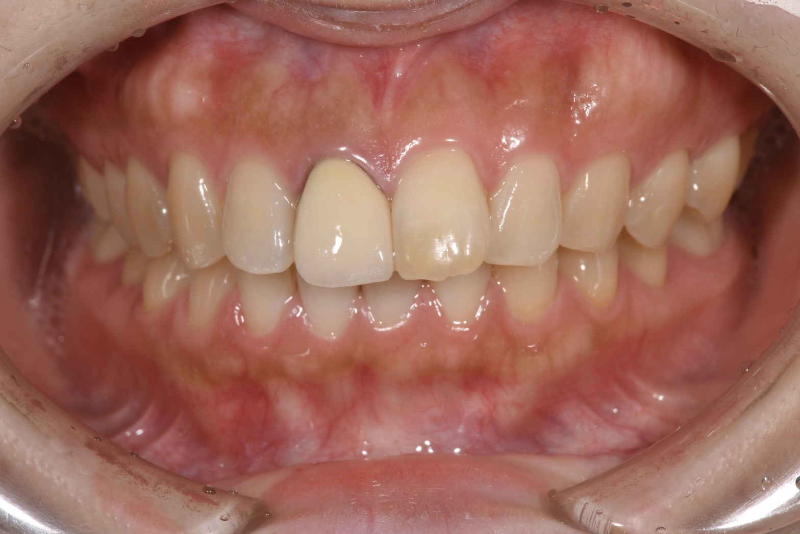
After
| カテゴリー | 被せ物治療 |
|---|---|
| 症例名 | e-maxクラウンでの治療 |
| 年齢 | 30代 | 性別 | 女性 | 地域 | 枚方市 |
|---|---|---|---|---|---|
| 主訴/ニーズ | 右上1.被せ物の色、左上1外傷により歯の変色が気になる | ||||
| 治療回数 | 5回 | 治療期間 | |||
| 治療のリスク | 治療後は正しい歯磨きを行う必要があります。 | ||||
| 想定される 副作用 |
セラミックの破折 | ||||
| 治療内容 | 前歯の変色をセラミック(e-max)にて治療を行いました | ||||
| 費用 | 99,000円×2本=198,000円 | ||||