- 枚方市の歯医者なら「宮園歯科医院」
- 症例紹介
- 前歯の被せ物(e-max)治療
case 前歯の被せ物(e-max)治療
-
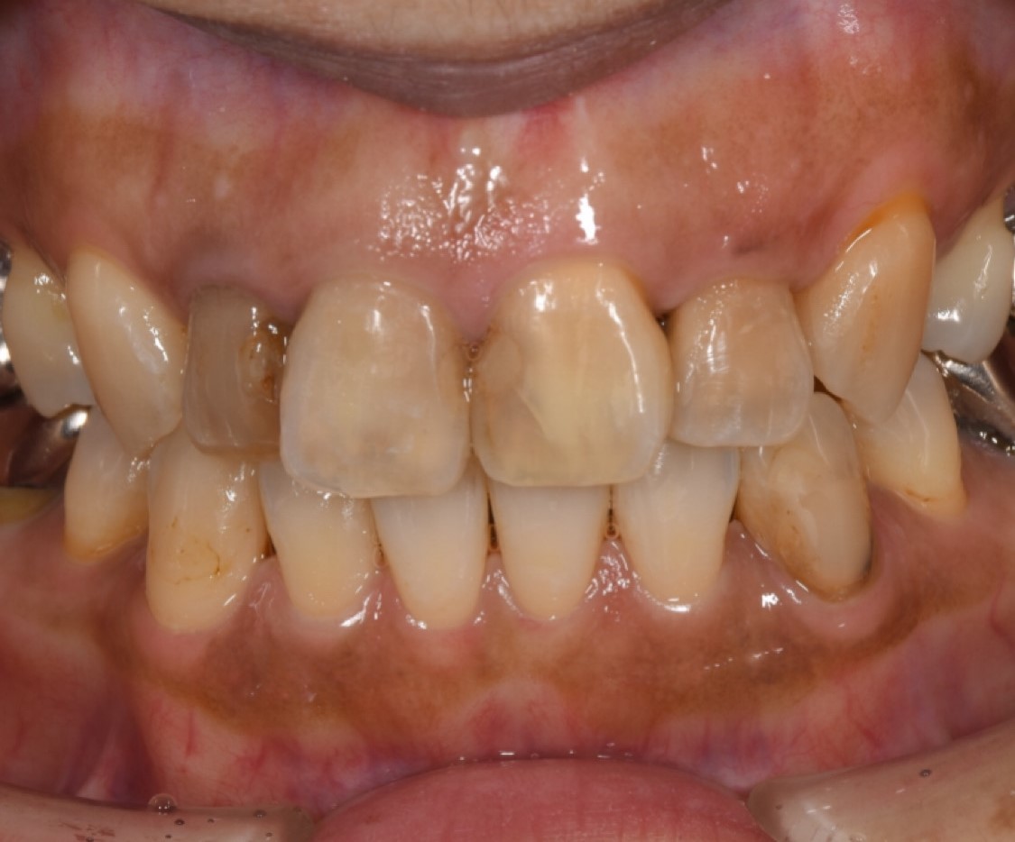
Before
-
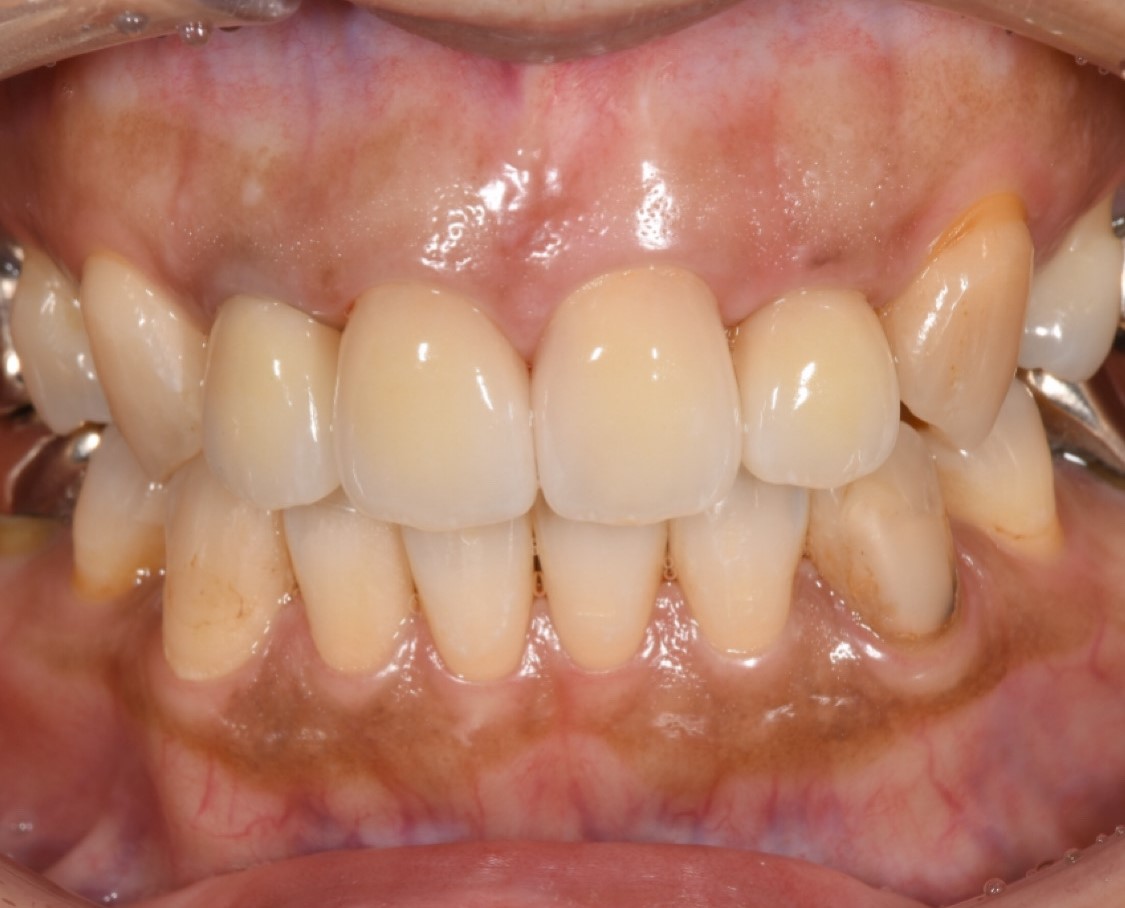
After
| カテゴリー | 被せ物治療 |
|---|---|
| 症例名 | e-maxクラウンでの治療 |
| 年齢 | 50代 | 性別 | 女性 | 地域 | 枚方市 |
|---|---|---|---|---|---|
| 主訴/ニーズ | 前歯の変色を治したい | ||||
| 治療回数 | 5回 | 治療期間 | 2か月 | ||
| 治療のリスク | 治療後は正しい歯磨きを行う必要があります。歯磨きが悪いと虫歯になったり歯周病を発症し歯肉がさがってしまいます。定期検診を継続してください。 | ||||
| 想定される 副作用 |
過度な力での破折 | ||||
| 治療内容 | 変色している4前歯をセラミックで治療 | ||||
| 費用 | 99,000円×4=396,000円 | ||||