ノンクラスプデンチャー(バネのない入れ歯)
枚方市の歯医者、宮園歯科医院です。
ノンクラスプデンチャーについて詳しく説明いたします。
ノンクラスプデンチャーとは
バネのない入れ歯
入れ歯に見えない入れ歯
と言われている、自費の部分入れ歯となります。
一般的な入れ歯との違い
①自費治療となります
②金属ワイヤーは使用せず、ピンク色の樹脂を用いるため見た目が良い
③適合が良いため残りの歯に負荷がかかりづらい
入れ歯治療の注意点
保険、自費どちらの入れ歯に関わらず、部分入れ歯は残りの歯がありきの治療になります。
そのためしっかり噛める入れ歯を作るためには、入れ歯製作の前に残りの歯をしっかり治療する必要があります。
また残りの歯に負荷がかかるのは避けられないため、患者様の年齢が若ければ一番ベストな治療はインプラント治療となります。
骨粗鬆症などでインプラント治療を行えない方にはノンクラスプデンチャーをおすすめしております。
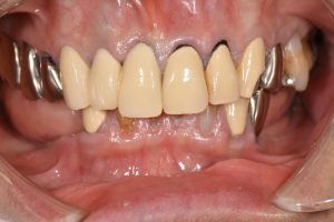
治療前

被せ物が古くせっかく入れ歯を作った後に、被せのやり直しが必要になる可能性があるため、先に被せ物治療を行いました。
また噛み合わせの修正も同時に行いました。
この患者様はインプラント治療を希望され来院していただきましたが、骨粗鬆症のお薬を使用されているため、入れ歯での治療となりました。
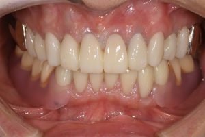
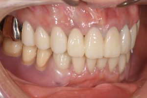
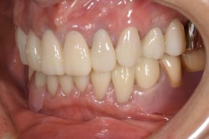
治療後



歯並び、噛み合わせも綺麗に修正しました。
下の前歯のブリッジ(被せ物)は入れ歯がしっかりはまるように、着脱可能ですが、ワンセットで製作しています。



枚方市、寝屋川市、交野市、八幡市で、入れ歯、インプラント、セラミックでお悩みの方はご相談ください。
院長 宮園 智之 - Tomoyuki Miyazono
枚方市の歯医者「宮園歯科医院」では、患者様に寄り添って症状やお悩みをお聞きし、ご納得いただいたうえで治療を進めることを重視しています。当院が常に心掛けているのは、患者様にとって安心できる歯科治療を行うことです。 こちらでは、当院の診療理念と院長についてご紹介しています。当院での治療をご検討中の方は、まずは当院の歯科治療に対する考え方をご覧ください。当院は、皆様が安心して通える歯科医院を目指して日々力を尽くしています。
経歴
- 大阪府枚方市出身
- 2006年 高槻高等学校 卒業
- 2013年 朝日大学 歯学部 卒業
- 2014年 朝日大学病院 勤務
- 2015年 大阪府内医療法人 勤務
- 2017年 大阪府内医療法人 院長 理事就任
- 2020年 宮園歯科医院 勤務
- 2022年 宮園歯科医院 院長就任
所属・学会
- JIADS エンドコース
- JIADS 補綴コース
- JIADS デンチャーコース
- JIADS ペリオコース
- JIADS 再生医療コース
- 大森塾 5期
- 日本臨床歯周病学会 会員
- 日本口腔インプラント学会・JACID