- 枚方市の歯医者なら「宮園歯科医院」
- スタッフブログ
- 被せ物の種類について
被せ物の種類について
枚方市の歯医者、宮園歯科医院です。
被せ物、詰め物治療とその違いについて、患者様によくご質問いただく内容を説明いたします。
被せ物、詰め物の素材の種類
①銀歯(保険適用)
②プラスチック(保険適用)
CAD/CAM冠、Peek冠など
③セラミック(自費治療)
emax、ジルコニアなど
歯科医師目線のおすすめ順位
①セラミック 熱膨張係数約10
型取りをシリコン又はスキャナーを用いるため精度が良い
→精度が良いと、歯と接着する接着剤のスペースが少なくなる(銀歯、プラスチックの約1/10)
→接着剤のスペースがすくないと、虫歯になりにくい(接着剤が劣化や熱膨張で溶け出すのが治療後の虫歯の原因)
プラスチックと異なり、歯に近い色を再現できる
表面が滑沢なため、磨き残しや汚れがつきにくく虫歯になりにくい
セラミックのデメリット、副作用
歯軋りを強くされる方、噛み合わせが深く強い方は破折する可能性がある。
当院での治療費用
¥55.000(emaxインレー 小さい詰め物)
¥80.000(ジルコニアクラウン 被せ物)
¥100.000(emaxクラウン 被せ物)
②銀歯 熱膨張係数約15
適合はセラミックに比べて劣るが、熱膨張係数はプラスチックより低いため、膨張、収縮による接着剤の溶け出しが少ない
ただし、鋳造して製作するため、鋳造による収縮が1.5%ある。
③プラスチック 熱膨張係数40〜47
メリットは白いだけで、歯にとってはデメリットしかありません。
熱膨張係数が高く、膨張、収縮が大きいため、接着剤が溶け出しやすく、虫歯、脱離、破折がおこりやすい。
またセラミックや銀歯に比べ、強度が低いため、ある程度の厚みが被せ物、詰め物に必要です。
被せ物の厚みを確保するにはそれだけ歯を多く削る必要があります。
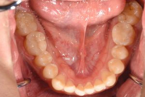
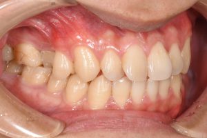
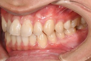
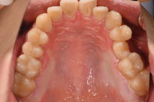
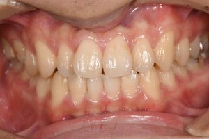
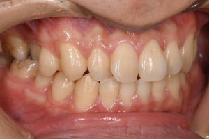
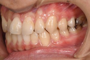
銀歯を全てセラミックにした症例
治療前

完成したセラミックインレー

治療後

この患者様の場合
1回目にカウンセリング
2回目に型取り
3回目にセラミックのセット
の合計3回で治療終了となりました。
セラミックや被せ物でお悩みの方はご相談ください。
院長 宮園 智之 - Tomoyuki Miyazono
枚方市の歯医者「宮園歯科医院」では、患者様に寄り添って症状やお悩みをお聞きし、ご納得いただいたうえで治療を進めることを重視しています。当院が常に心掛けているのは、患者様にとって安心できる歯科治療を行うことです。 こちらでは、当院の診療理念と院長についてご紹介しています。当院での治療をご検討中の方は、まずは当院の歯科治療に対する考え方をご覧ください。当院は、皆様が安心して通える歯科医院を目指して日々力を尽くしています。
経歴
- 大阪府枚方市出身
- 2006年 高槻高等学校 卒業
- 2013年 朝日大学 歯学部 卒業
- 2014年 朝日大学病院 勤務
- 2015年 大阪府内医療法人 勤務
- 2017年 大阪府内医療法人 院長 理事就任
- 2020年 宮園歯科医院 勤務
- 2022年 宮園歯科医院 院長就任
所属・学会
- JIADS エンドコース
- JIADS 補綴コース
- JIADS デンチャーコース
- JIADS ペリオコース
- JIADS 再生医療コース
- 大森塾 5期
- 日本臨床歯周病学会 会員
- 日本口腔インプラント学会・JACID