ラミネートベニヤで前歯の治療

BLOG

ラミネートベニヤで前歯の治療

ラミネートベニヤで前歯の治療

ラミネートベニヤで前歯の治療


Warning: Trying to access array offset on value of type bool in /home/xs831370/miyazono-dc.com/public_html/wp/wp-content/themes/miyazono-dc/single-blog.php on line 112

Warning: Trying to access array offset on value of type bool in /home/xs831370/miyazono-dc.com/public_html/wp/wp-content/themes/miyazono-dc/single-blog.php on line 112

Warning: Trying to access array offset on value of type bool in /home/xs831370/miyazono-dc.com/public_html/wp/wp-content/themes/miyazono-dc/single-blog.php on line 112

Warning: Trying to access array offset on value of type bool in /home/xs831370/miyazono-dc.com/public_html/wp/wp-content/themes/miyazono-dc/single-blog.php on line 112

Warning: Trying to access array offset on value of type bool in /home/xs831370/miyazono-dc.com/public_html/wp/wp-content/themes/miyazono-dc/single-blog.php on line 112

Warning: Trying to access array offset on value of type bool in /home/xs831370/miyazono-dc.com/public_html/wp/wp-content/themes/miyazono-dc/single-blog.php on line 112

ラミネートベニヤで前歯の治療

ラミネートベニヤで前歯の治療

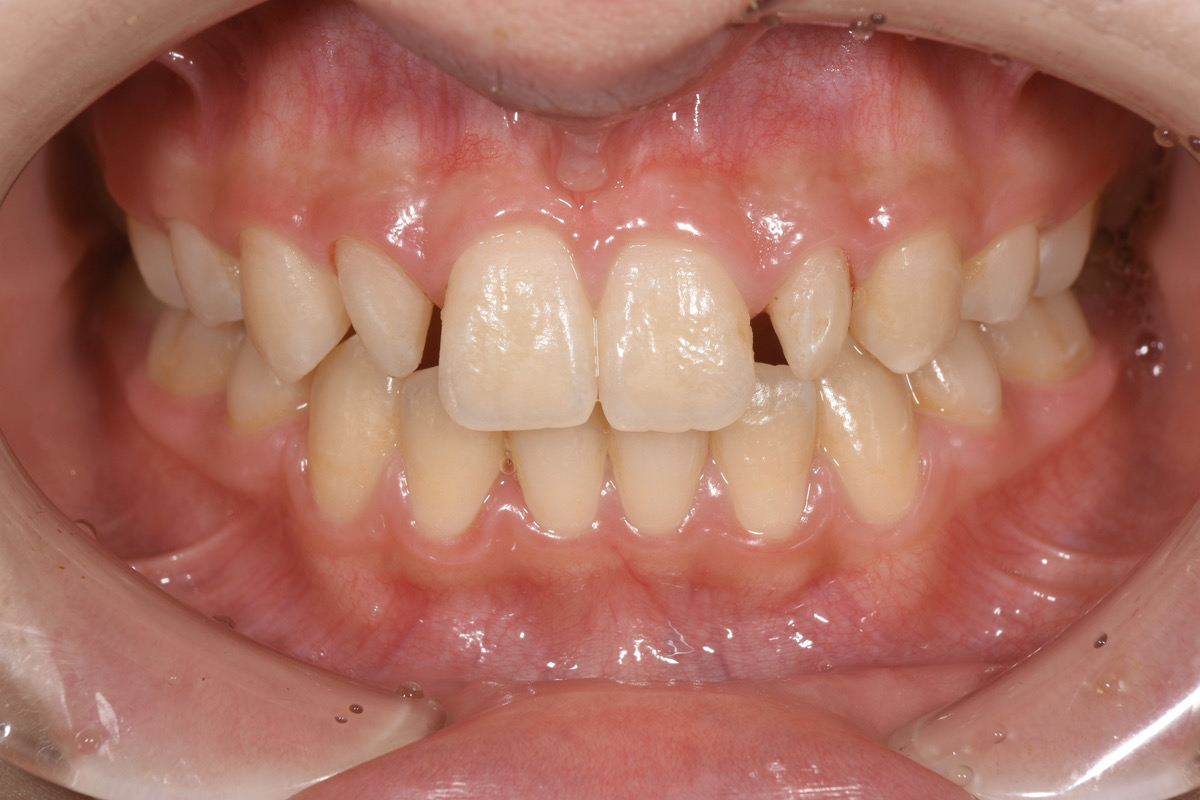
こんにちは、枚方市の宮園歯科医院です。

ラミネートベニヤで前歯の治療を行いました。

当院では被せ物治療を行う際、患者様が納得いくまで形、色をしっかり合わせることをたいせつにしております。

ラミネートベニヤは歯の外側のみ約1ミリほど削り、薄いセラミックを貼り付ける治療です。

出来るだけ歯を削らず、きれいに仕上げることが可能な治療方法ですが、適応は神経のある歯だけとなります。

また神経がある歯でも大幅に歯並びを修正する必要がある場合、ラミネートベニアではなく、セラミッククラウン(emaxクラウン、ジルコニアクラウン)での治療になる可能性もあります。

例えば、広範囲なコンポジットレジン(プラスチックの詰め物)の変色や矮小歯(写真の様な小さい歯)、すきっ歯などが適応となります。

治療の流れは、歯の形成、型取りの後一週間で出来上がります。

前歯の歯並びや色、形でお悩みがございましたらご相談ください。

本症例の詳細はこちらからご覧ください≫

監修者情報

院長 宮園 智之 - Tomoyuki Miyazono

枚方市の歯医者「宮園歯科医院」では、患者様に寄り添って症状やお悩みをお聞きし、ご納得いただいたうえで治療を進めることを重視しています。当院が常に心掛けているのは、患者様にとって安心できる歯科治療を行うことです。 こちらでは、当院の診療理念と院長についてご紹介しています。当院での治療をご検討中の方は、まずは当院の歯科治療に対する考え方をご覧ください。当院は、皆様が安心して通える歯科医院を目指して日々力を尽くしています。

経歴

  • 大阪府枚方市出身
  • 2006年 高槻高等学校 卒業
  • 2013年 朝日大学 歯学部 卒業
  • 2014年 朝日大学病院 勤務
  • 2015年 大阪府内医療法人 勤務
  • 2017年 大阪府内医療法人 院長 理事就任
  • 2020年 宮園歯科医院 勤務
  • 2022年 宮園歯科医院 院長就任

所属・学会

  • JIADS エンドコース
  • JIADS 補綴コース
  • JIADS デンチャーコース
  • JIADS ペリオコース
  • JIADS 再生医療コース
  • 大森塾 5期
  • 日本臨床歯周病学会 会員
  • 日本口腔インプラント学会・JACID