前歯のインプラント治療

BLOG

前歯のインプラント治療

前歯のインプラント治療

前歯のインプラント治療


Warning: Trying to access array offset on value of type bool in /home/xs831370/miyazono-dc.com/public_html/wp/wp-content/themes/miyazono-dc/single-blog.php on line 112

Warning: Trying to access array offset on value of type bool in /home/xs831370/miyazono-dc.com/public_html/wp/wp-content/themes/miyazono-dc/single-blog.php on line 112

Warning: Trying to access array offset on value of type bool in /home/xs831370/miyazono-dc.com/public_html/wp/wp-content/themes/miyazono-dc/single-blog.php on line 112

Warning: Trying to access array offset on value of type bool in /home/xs831370/miyazono-dc.com/public_html/wp/wp-content/themes/miyazono-dc/single-blog.php on line 112

Warning: Trying to access array offset on value of type bool in /home/xs831370/miyazono-dc.com/public_html/wp/wp-content/themes/miyazono-dc/single-blog.php on line 112

Warning: Trying to access array offset on value of type bool in /home/xs831370/miyazono-dc.com/public_html/wp/wp-content/themes/miyazono-dc/single-blog.php on line 112

前歯のインプラント治療

前歯のインプラント治療

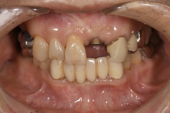
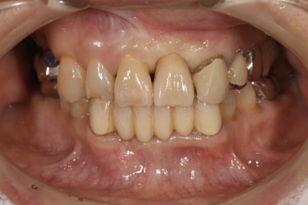
こんにちは!大阪府枚方市の歯医者・宮園歯科医院です。

前歯のインプラント治療をする際、審美的に一番大切なのは両隣の歯との歯茎のラインをそろえることとなります。

両隣より歯が長くなってしまうと、大きく歯を見せて笑った時などに不自然にみえてしまいます。

インプラント埋入する場合は大体が状態の悪い歯を抜歯してからのインプラントとなります。

状態の悪い歯はほぼ骨吸収が起こっていますが、インプラントの被せ物と両隣の歯との歯茎のラインを合わせるためには骨の高さが重要となるため、だいたいの症例でGBR(骨造成)が必要となります。

この症例もインプラント埋入時に骨造成を行っています。

見た目だけでなくインプラント治療を行う際は、しっかりと骨がある事、なければ骨を作ることが大切です。

宮園歯科医院ではGBRやサイナスリフトなどの骨造成もおこなっております。

インプラント治療をご希望の方はお問い合わせください。

 

監修者情報

院長 宮園 智之 - Tomoyuki Miyazono

枚方市の歯医者「宮園歯科医院」では、患者様に寄り添って症状やお悩みをお聞きし、ご納得いただいたうえで治療を進めることを重視しています。当院が常に心掛けているのは、患者様にとって安心できる歯科治療を行うことです。 こちらでは、当院の診療理念と院長についてご紹介しています。当院での治療をご検討中の方は、まずは当院の歯科治療に対する考え方をご覧ください。当院は、皆様が安心して通える歯科医院を目指して日々力を尽くしています。

経歴

  • 大阪府枚方市出身
  • 2006年 高槻高等学校 卒業
  • 2013年 朝日大学 歯学部 卒業
  • 2014年 朝日大学病院 勤務
  • 2015年 大阪府内医療法人 勤務
  • 2017年 大阪府内医療法人 院長 理事就任
  • 2020年 宮園歯科医院 勤務
  • 2022年 宮園歯科医院 院長就任

所属・学会

  • JIADS エンドコース
  • JIADS 補綴コース
  • JIADS デンチャーコース
  • JIADS ペリオコース
  • JIADS 再生医療コース
  • 大森塾 5期
  • 日本臨床歯周病学会 会員
  • 日本口腔インプラント学会・JACID