ノンクラスプデンチャーについて

BLOG

ノンクラスプデンチャーについて

ノンクラスプデンチャーについて

ノンクラスプデンチャーについて


Warning: Trying to access array offset on value of type bool in /home/xs831370/miyazono-dc.com/public_html/wp/wp-content/themes/miyazono-dc/single-blog.php on line 112

Warning: Trying to access array offset on value of type bool in /home/xs831370/miyazono-dc.com/public_html/wp/wp-content/themes/miyazono-dc/single-blog.php on line 112

Warning: Trying to access array offset on value of type bool in /home/xs831370/miyazono-dc.com/public_html/wp/wp-content/themes/miyazono-dc/single-blog.php on line 112

Warning: Trying to access array offset on value of type bool in /home/xs831370/miyazono-dc.com/public_html/wp/wp-content/themes/miyazono-dc/single-blog.php on line 112

Warning: Trying to access array offset on value of type bool in /home/xs831370/miyazono-dc.com/public_html/wp/wp-content/themes/miyazono-dc/single-blog.php on line 112

Warning: Trying to access array offset on value of type bool in /home/xs831370/miyazono-dc.com/public_html/wp/wp-content/themes/miyazono-dc/single-blog.php on line 112

ノンクラスプデンチャーについて

ノンクラスプデンチャーについて

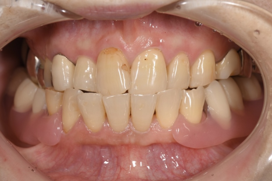
宮園歯科医院では、先代から得意としている入れ歯治療も継続して行なっております。

写真はノンクラスプデンチャーです。

通常の義歯の歯にかかるワイヤーは、金属でできているため、見た目が悪いですが、ノンクラスプデンチャーはピンクの柔軟性のあるプラスチックで出来ているため、審美性が良くなります。

また舌側の左右を繋ぐ金属(バー)がとても薄く出来ているため食事、会話で違和感が少なくなります。

制作の流れ

1.概形印象

大まかな型取りを行い専用のトレーをつくります。

2.精密印象

概形印象で作ったトレーを用いて、シリコンで精密な型取りを行います。

3.噛み合わせの決定

4.歯並びの確認

5.完成

完成後、数回の調整が必要な場合もあります。

入れ歯が合わない、痛いなどお悩みがございましたらご相談ください。

監修者情報

院長 宮園 智之 - Tomoyuki Miyazono

枚方市の歯医者「宮園歯科医院」では、患者様に寄り添って症状やお悩みをお聞きし、ご納得いただいたうえで治療を進めることを重視しています。当院が常に心掛けているのは、患者様にとって安心できる歯科治療を行うことです。 こちらでは、当院の診療理念と院長についてご紹介しています。当院での治療をご検討中の方は、まずは当院の歯科治療に対する考え方をご覧ください。当院は、皆様が安心して通える歯科医院を目指して日々力を尽くしています。

経歴

  • 大阪府枚方市出身
  • 2006年 高槻高等学校 卒業
  • 2013年 朝日大学 歯学部 卒業
  • 2014年 朝日大学病院 勤務
  • 2015年 大阪府内医療法人 勤務
  • 2017年 大阪府内医療法人 院長 理事就任
  • 2020年 宮園歯科医院 勤務
  • 2022年 宮園歯科医院 院長就任

所属・学会

  • JIADS エンドコース
  • JIADS 補綴コース
  • JIADS デンチャーコース
  • JIADS ペリオコース
  • JIADS 再生医療コース
  • 大森塾 5期
  • 日本臨床歯周病学会 会員
  • 日本口腔インプラント学会・JACID