症例紹介

  • 左上犬歯のセラミッククラウン 左上犬歯のセラミッククラウン

    左上犬歯のセラミッククラウン

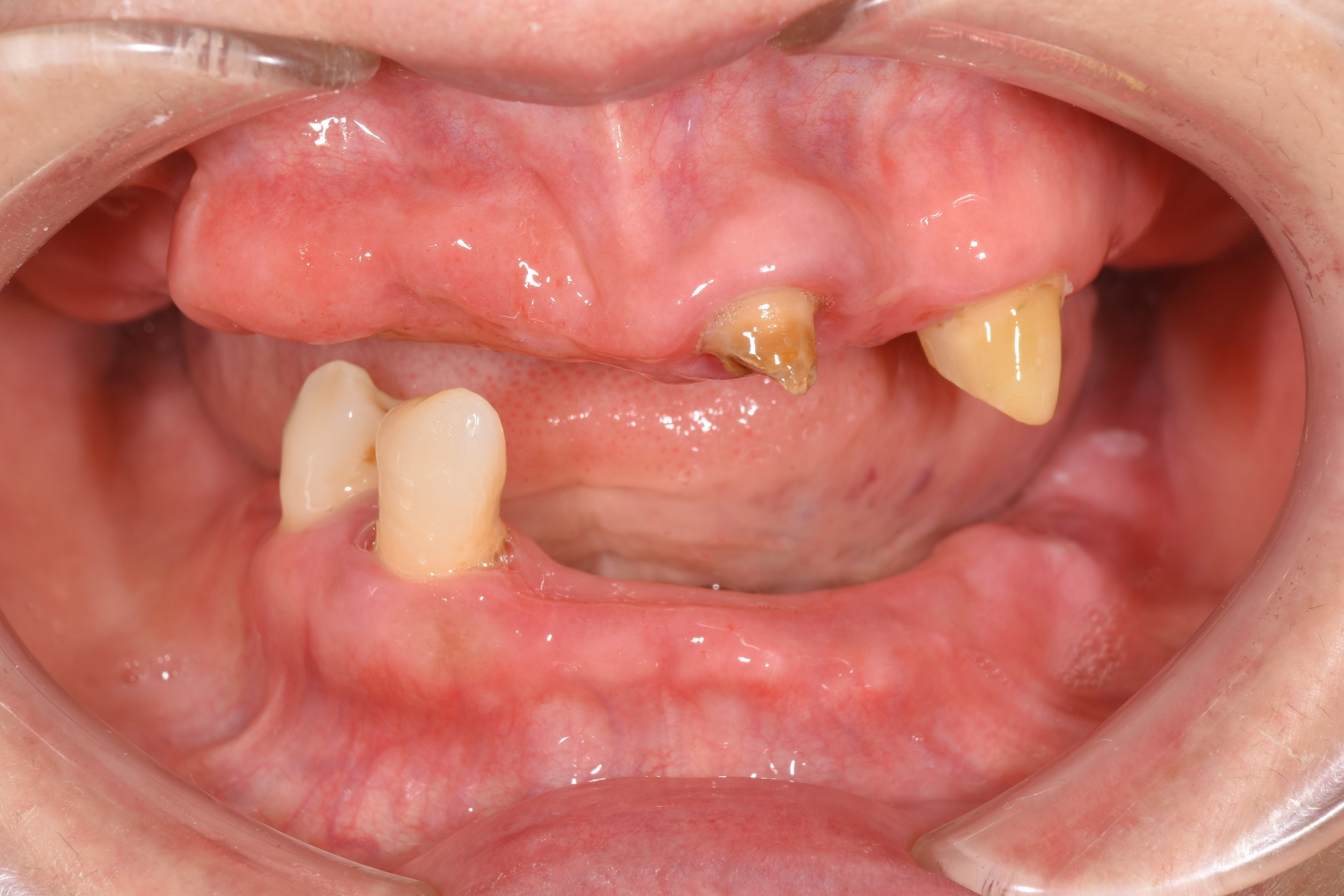
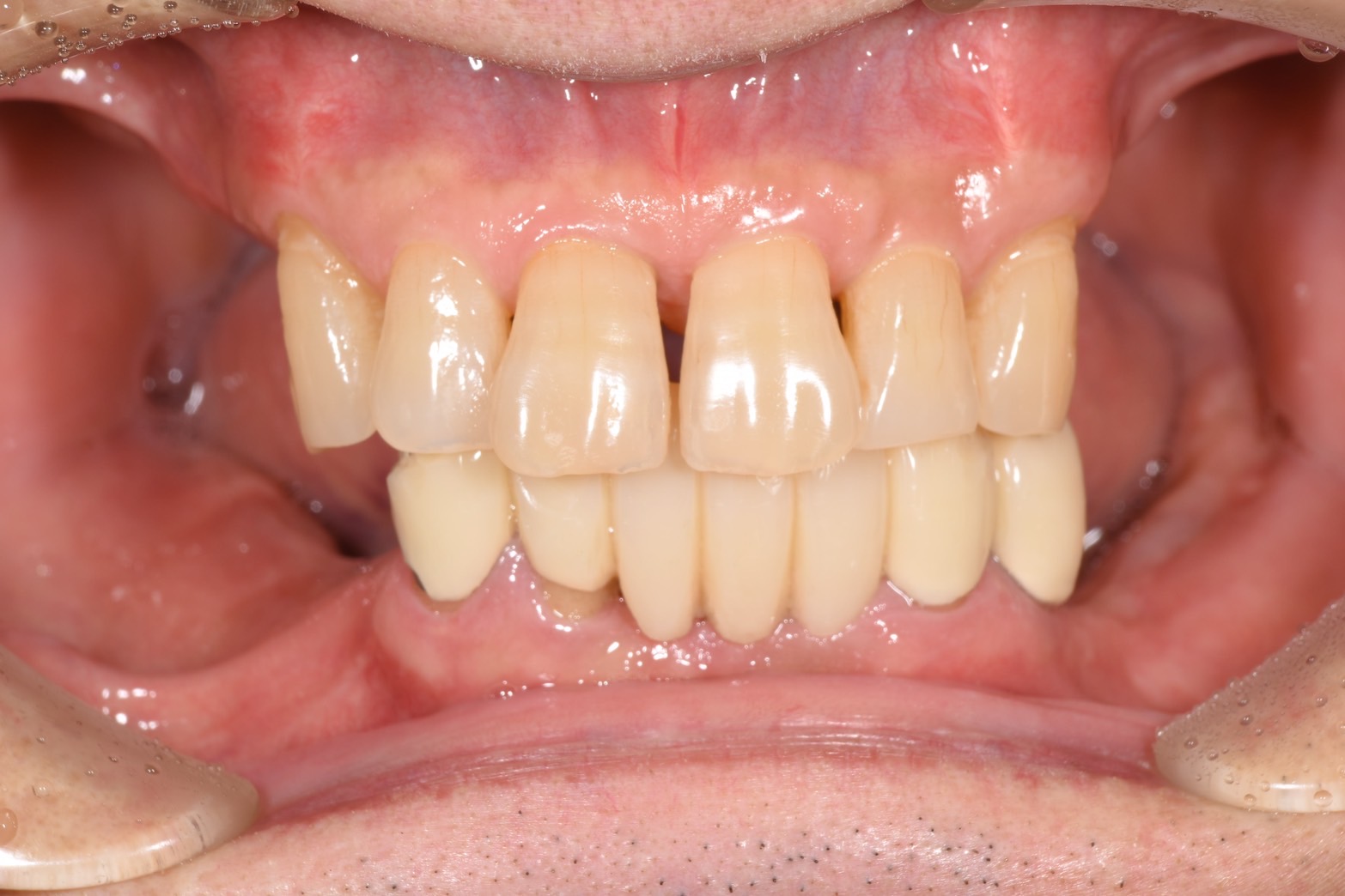
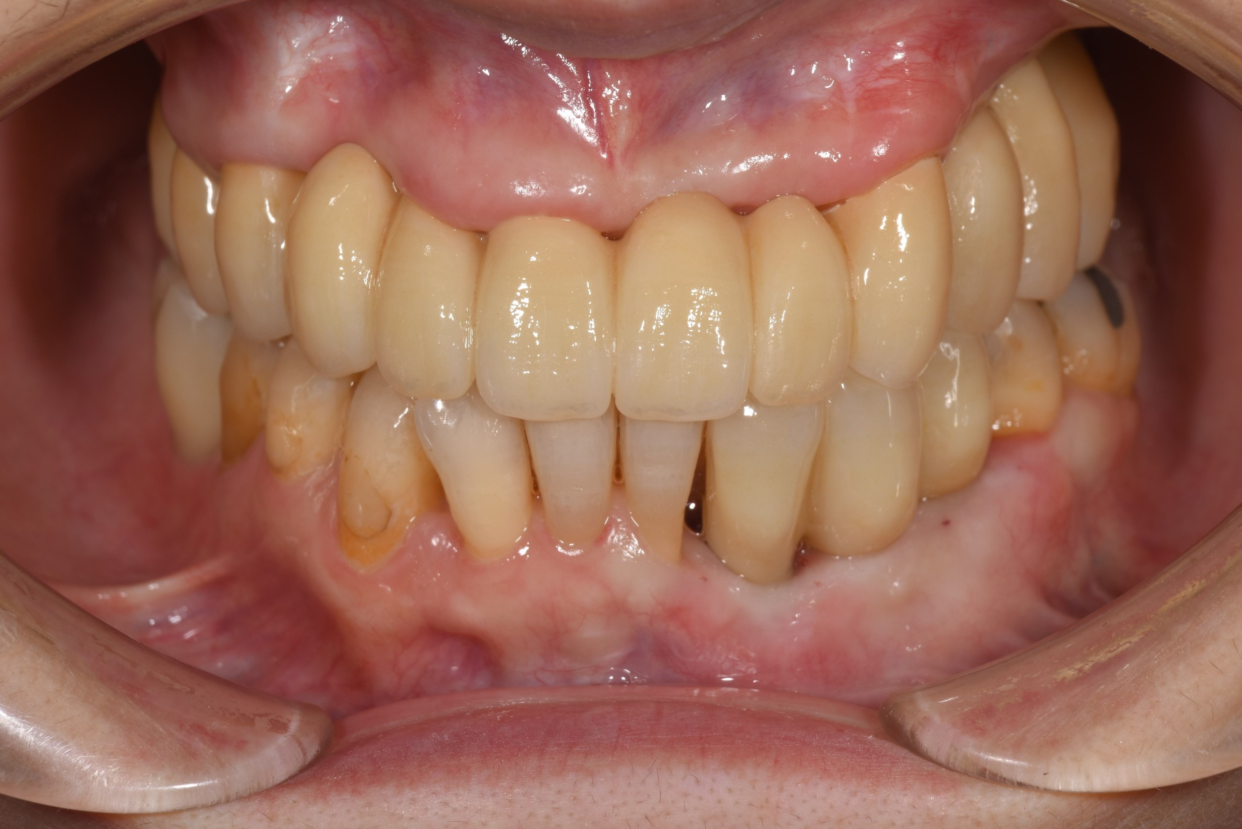
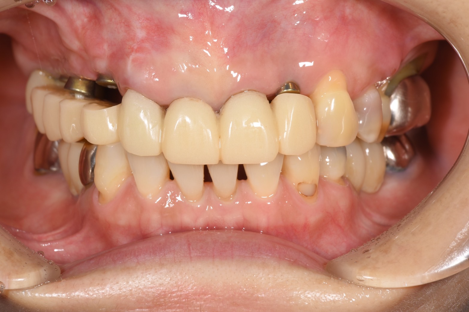
  • 奥歯のインプラントブリッジ 奥歯のインプラントブリッジ

    奥歯のインプラントブリッジ

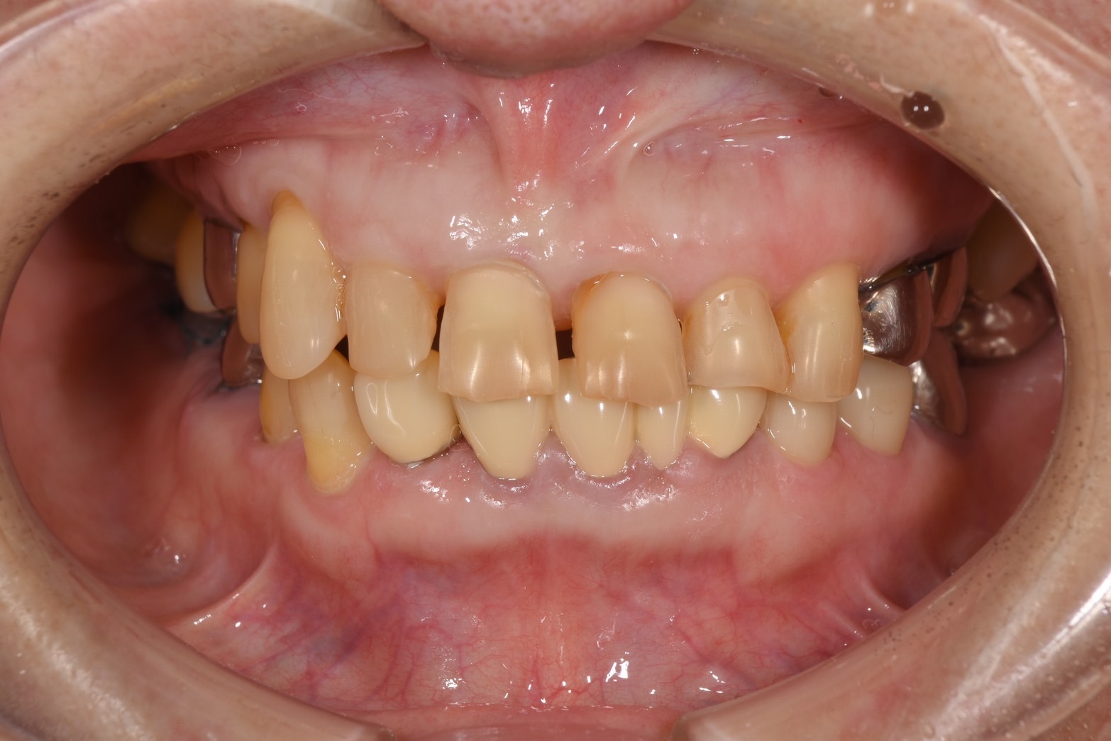
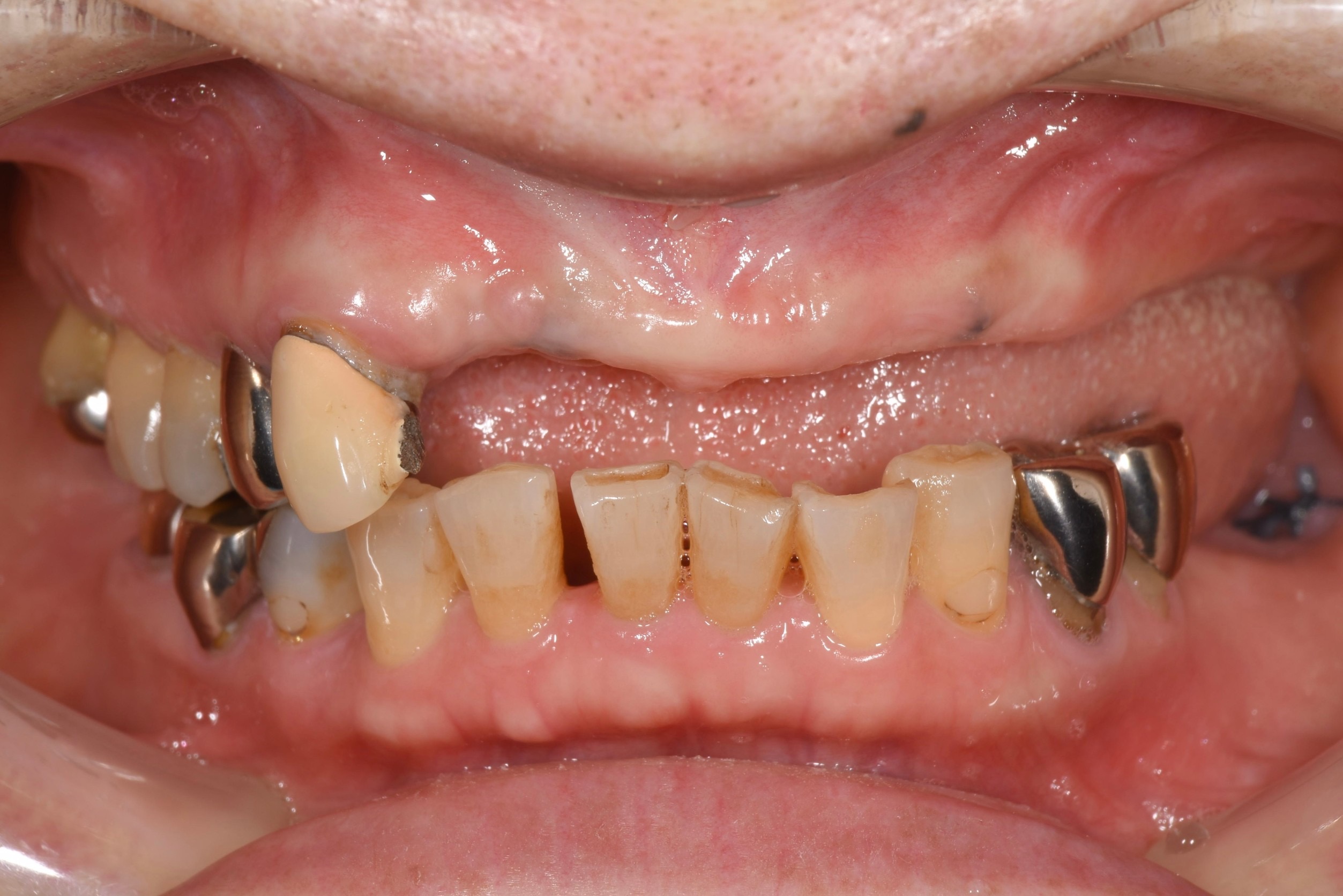
  • 保険治療の被せ物を除去してセラミックに 保険治療の被せ物を除去してセラミックに

    保険治療の被せ物を除去してセラミックに

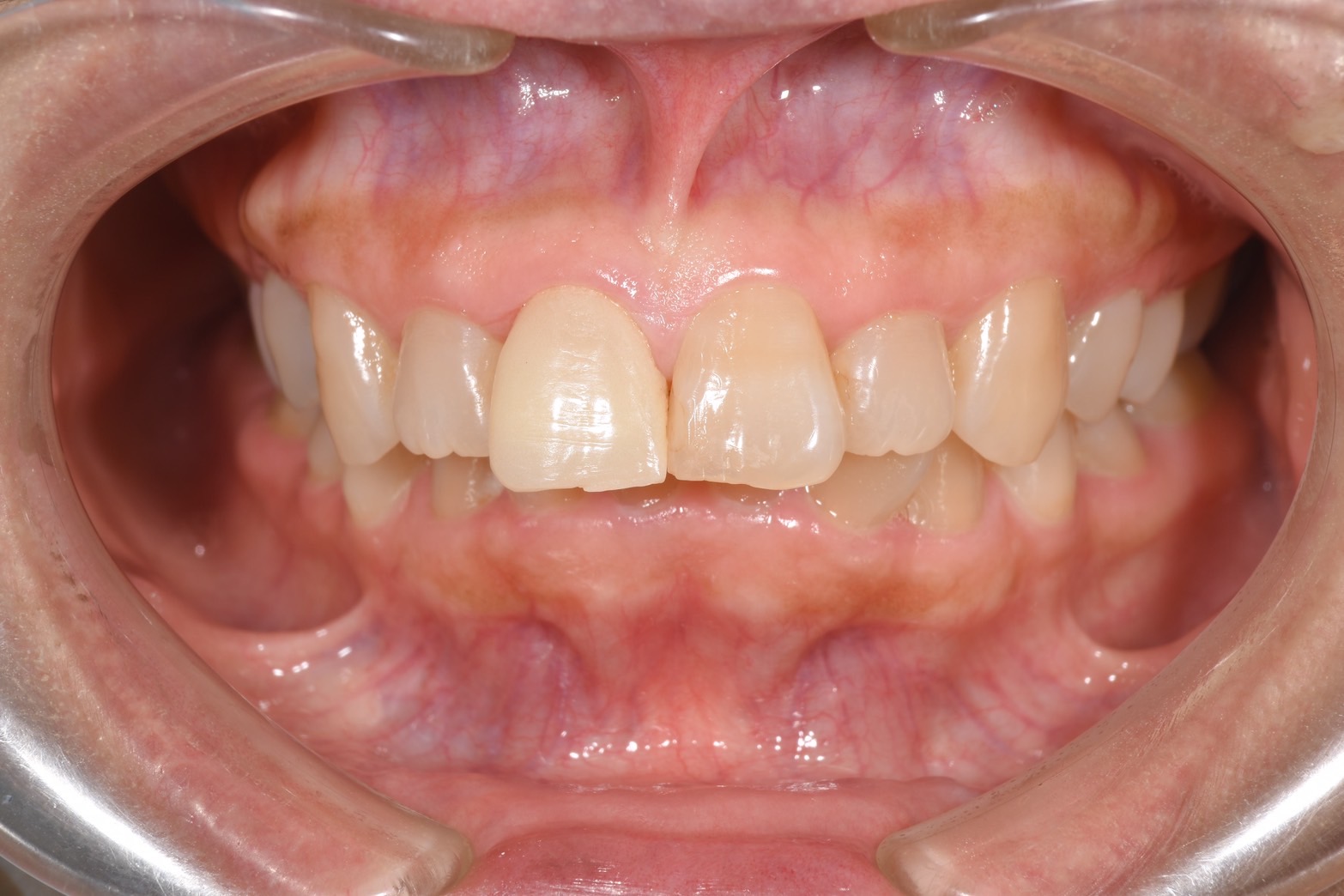
  • 犬歯(前歯)のセラミッククラウン 犬歯(前歯)のセラミッククラウン

    犬歯(前歯)のセラミッククラウン

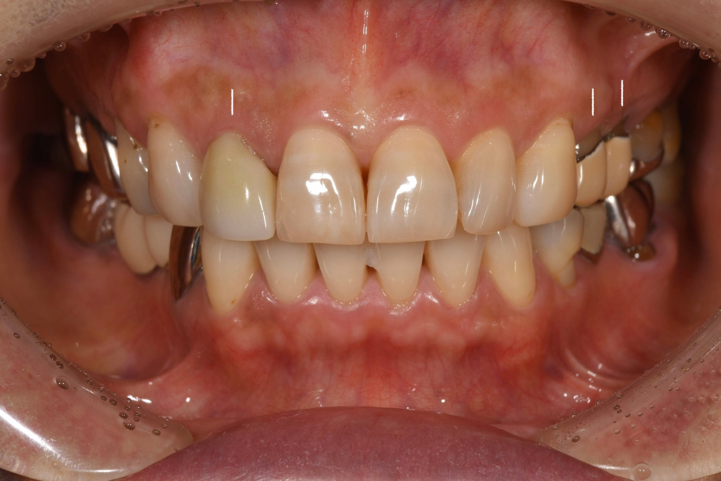
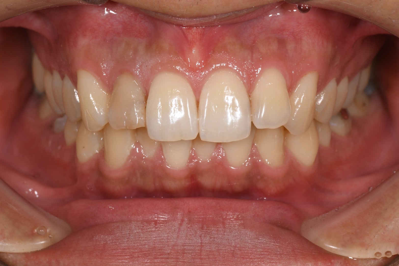
  • 前歯のセラミッククラウン 前歯のセラミッククラウン

    前歯のセラミッククラウン

  • ガミースマイルを歯冠長延長術とセラミックで治療 ガミースマイルを歯冠長延長術とセラミックで治療

    ガミースマイルを歯冠長延長術とセラミックで治療

  • 前歯のインプラントブリッジ 前歯のインプラントブリッジ

    前歯のインプラントブリッジ

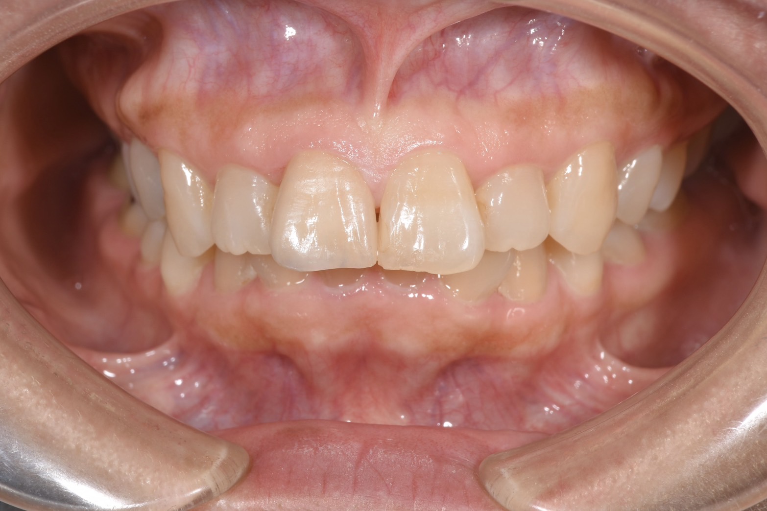
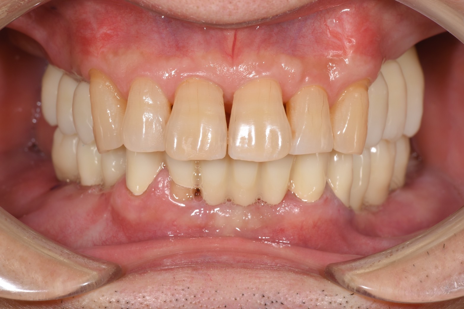
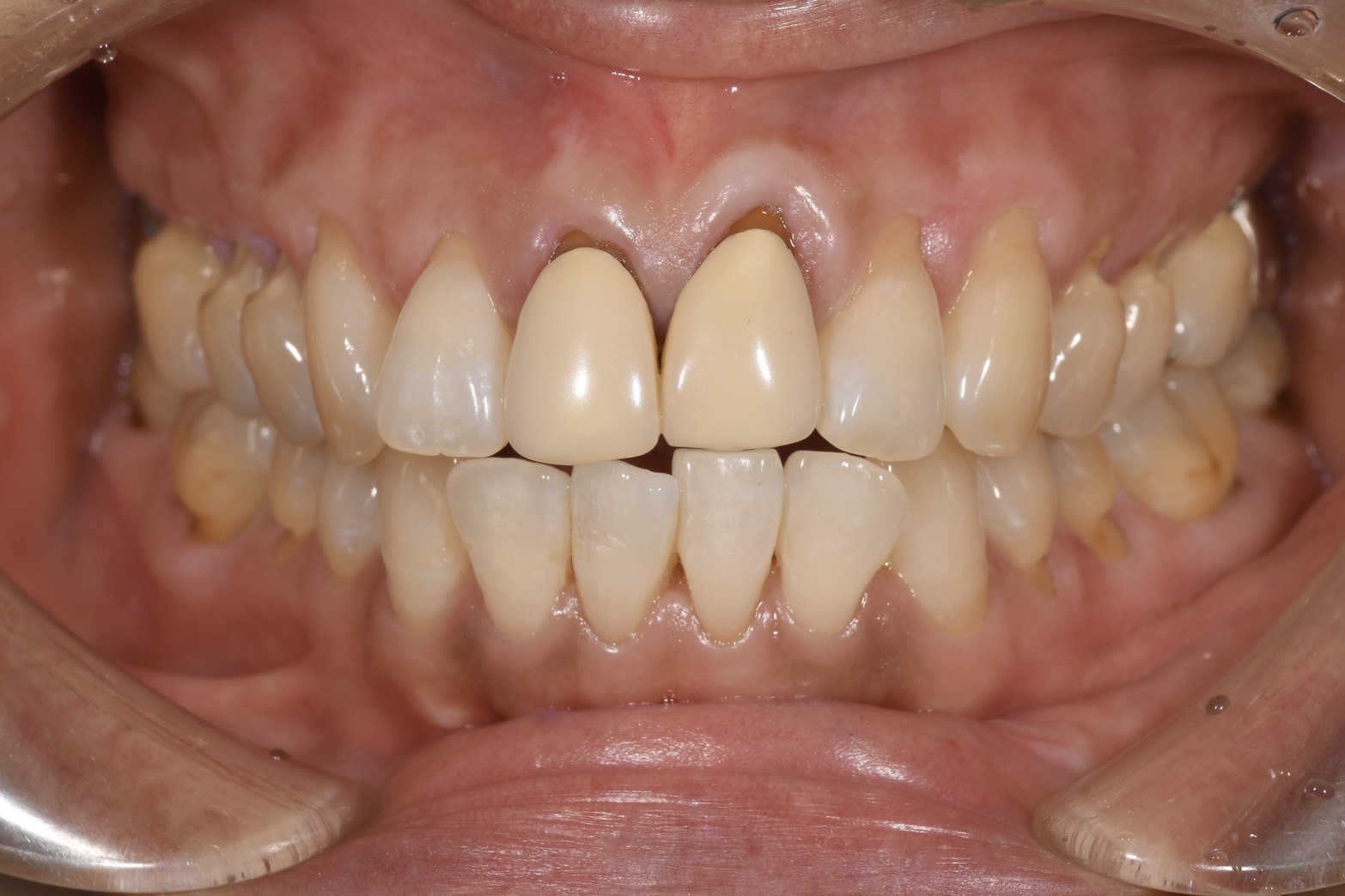
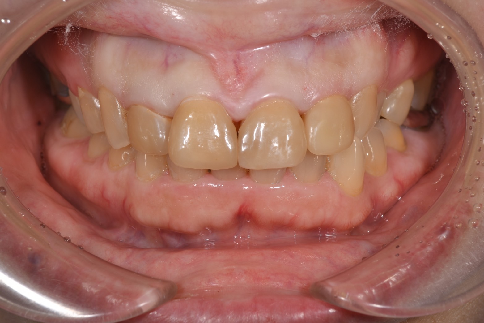
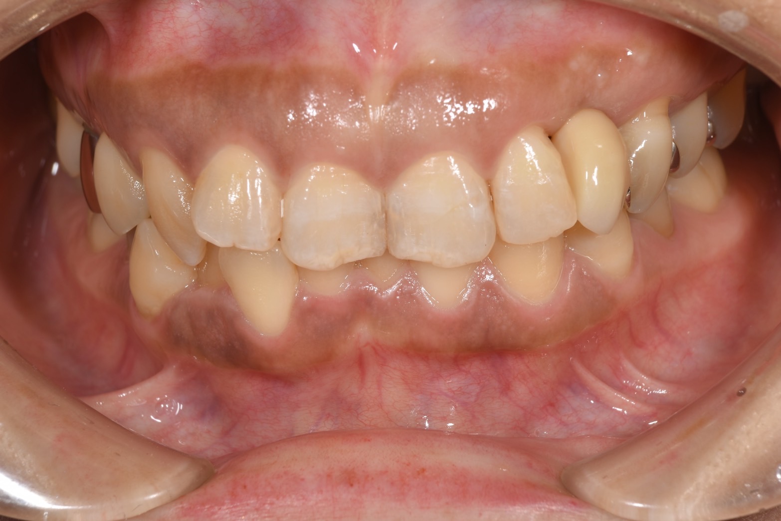
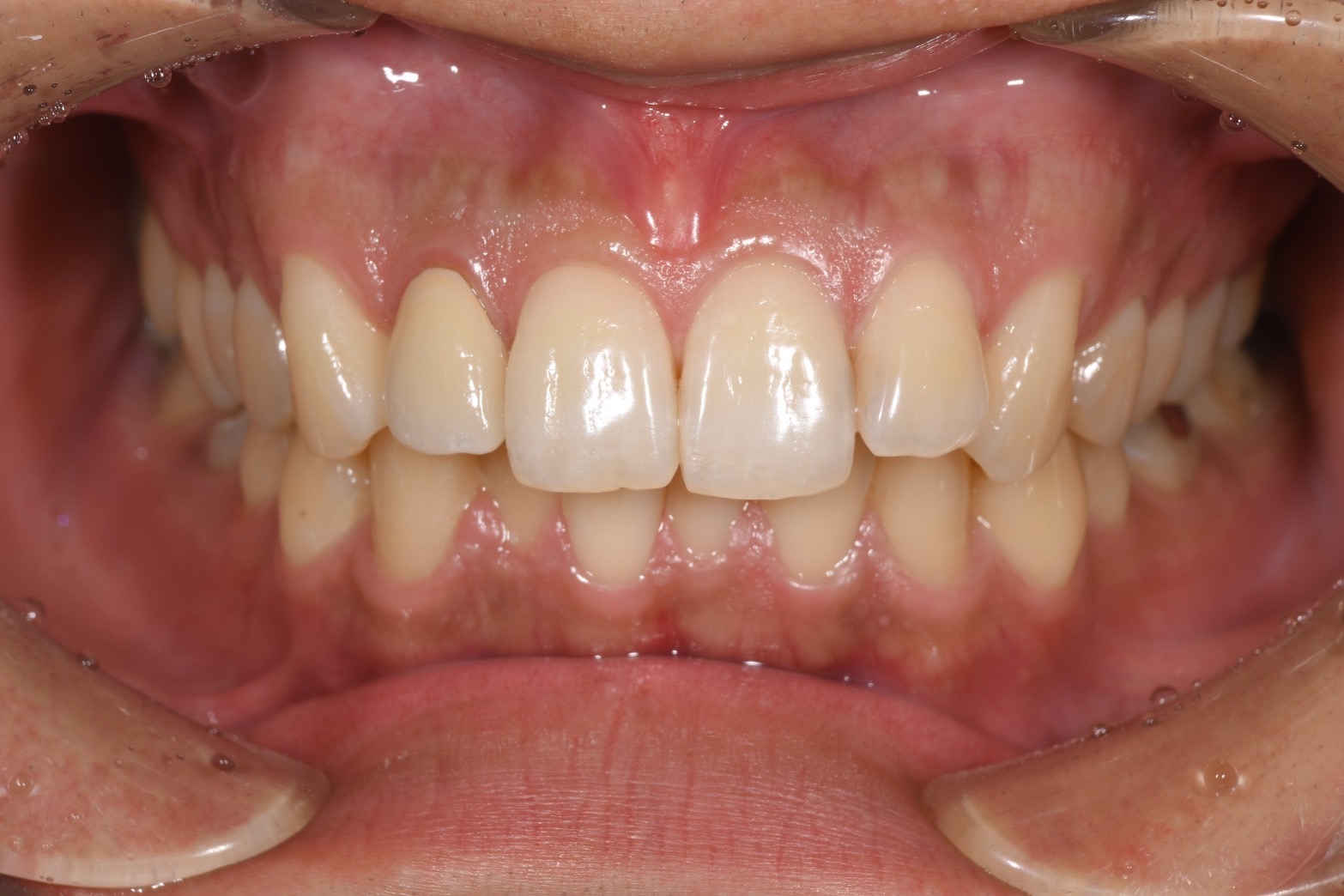
  • 変色した前歯をセラミックで治療 変色した前歯をセラミックで治療

    変色した前歯をセラミックで治療

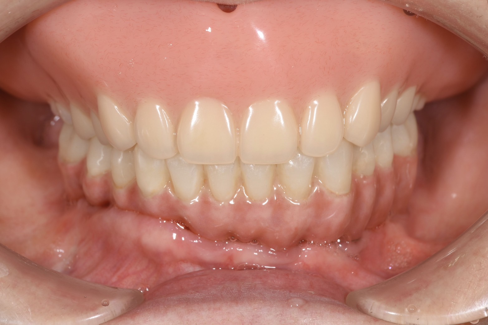
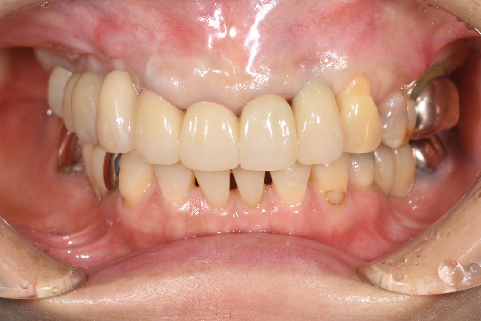
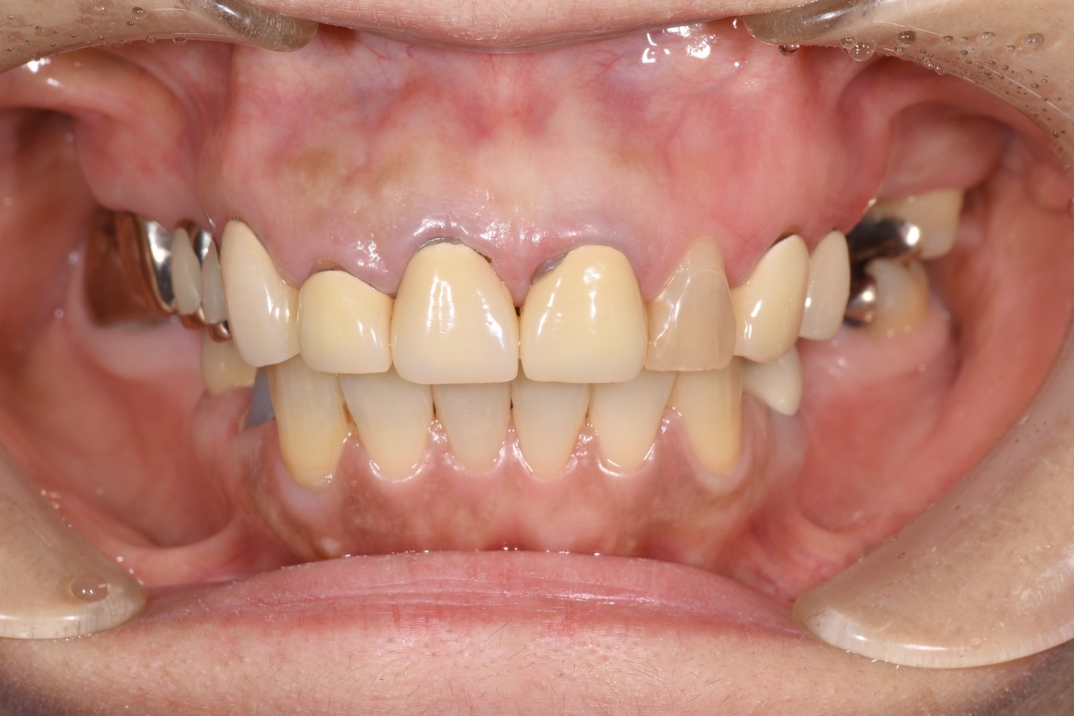
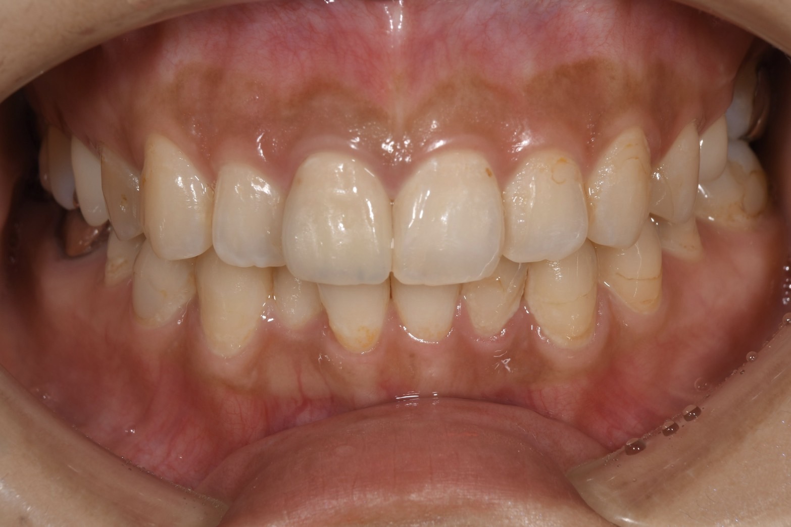
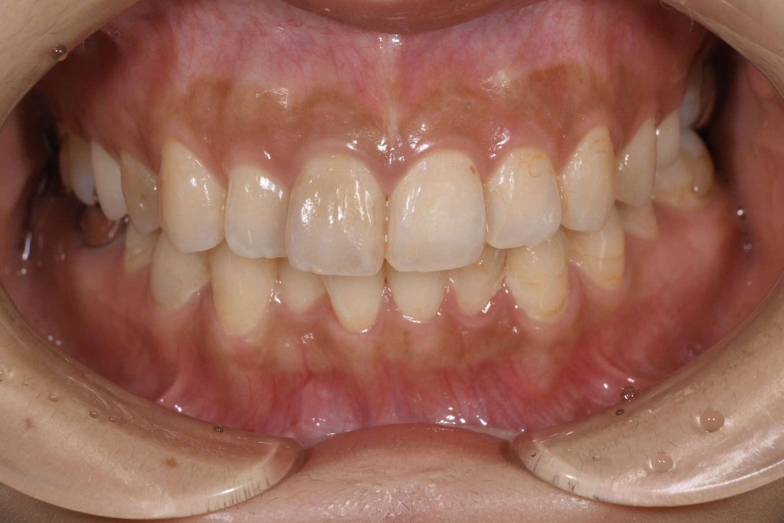
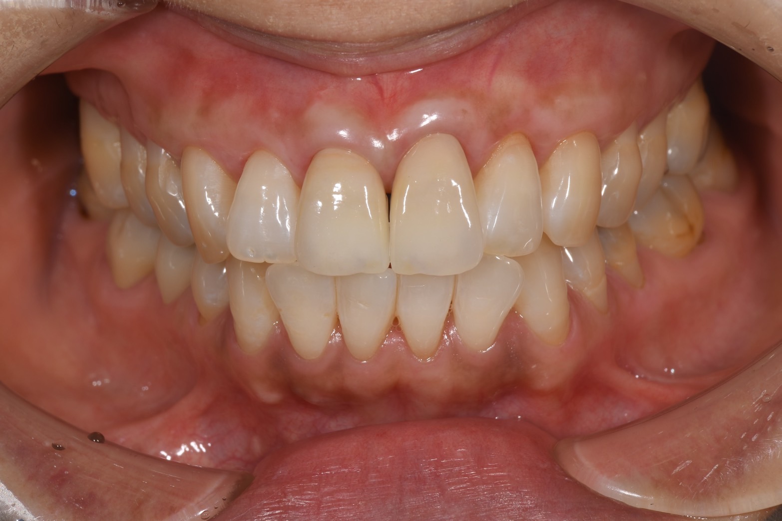
  • セラミックの被せ物で審美性を改善 セラミックの被せ物で審美性を改善

    セラミックの被せ物で審美性を改善

  • ノンクラスプデンチャー(入れ歯に見えない入れ歯) ノンクラスプデンチャー(入れ歯に見えない入れ歯)

    ノンクラスプデンチャー(入れ歯に見えない入れ歯)

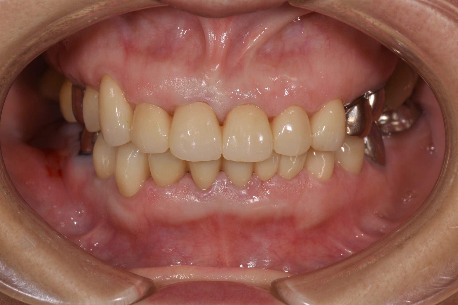
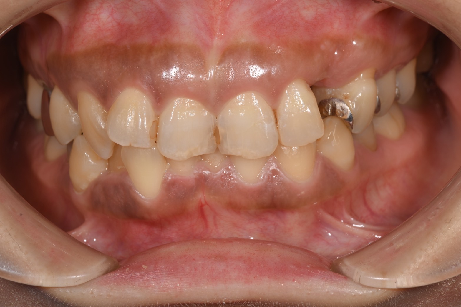
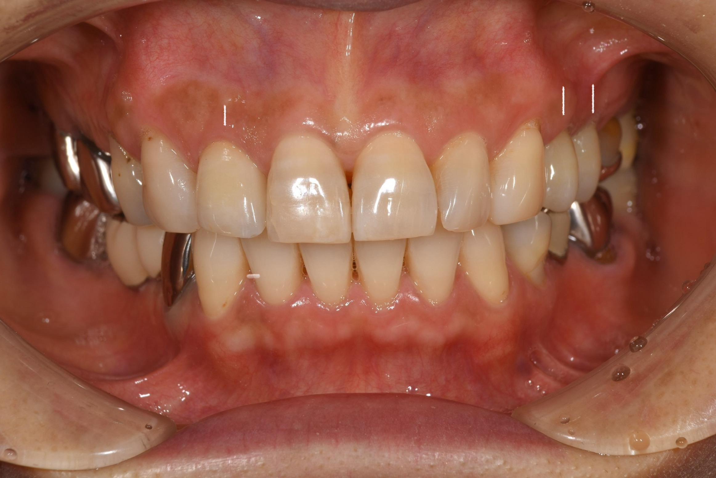
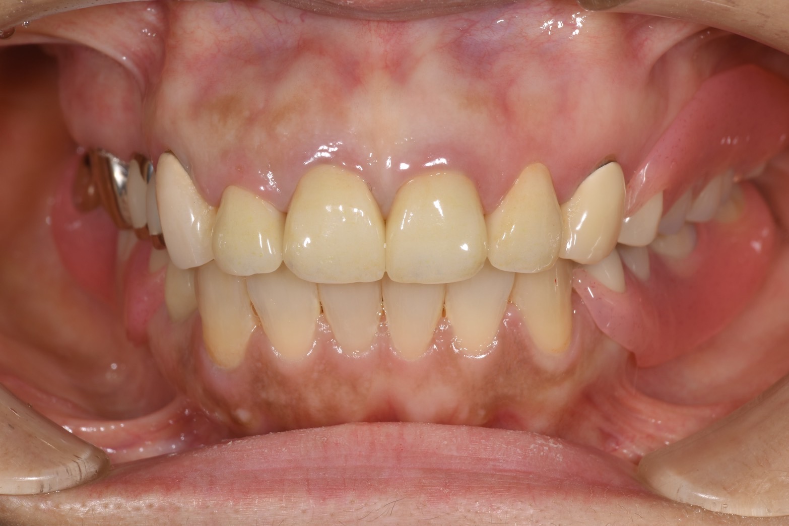
  • 変色した前歯をセラミッククラウンで治療 変色した前歯をセラミッククラウンで治療

    変色した前歯をセラミッククラウンで治療

  • オールオン6(下顎) オールオン6(下顎)

    オールオン6(下顎)

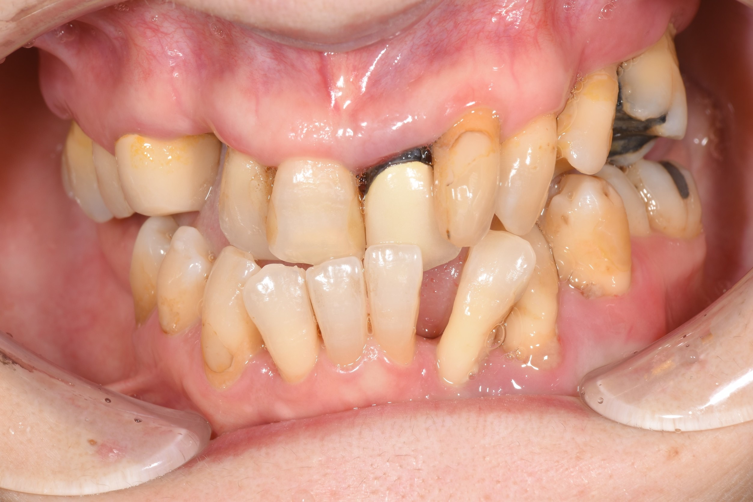
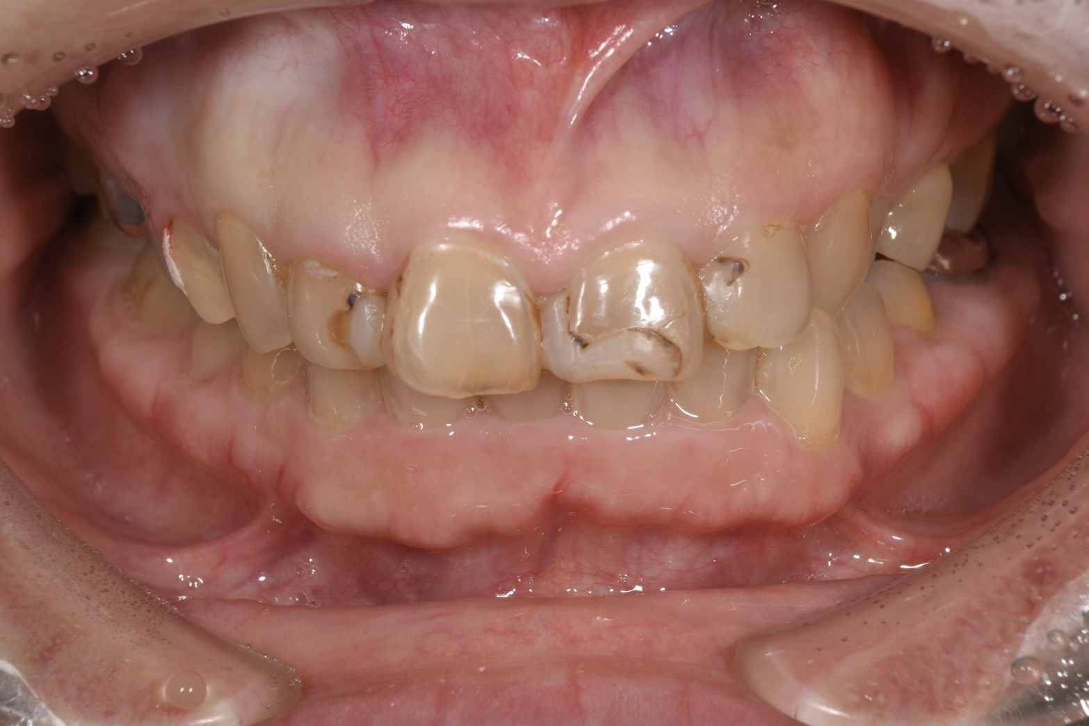
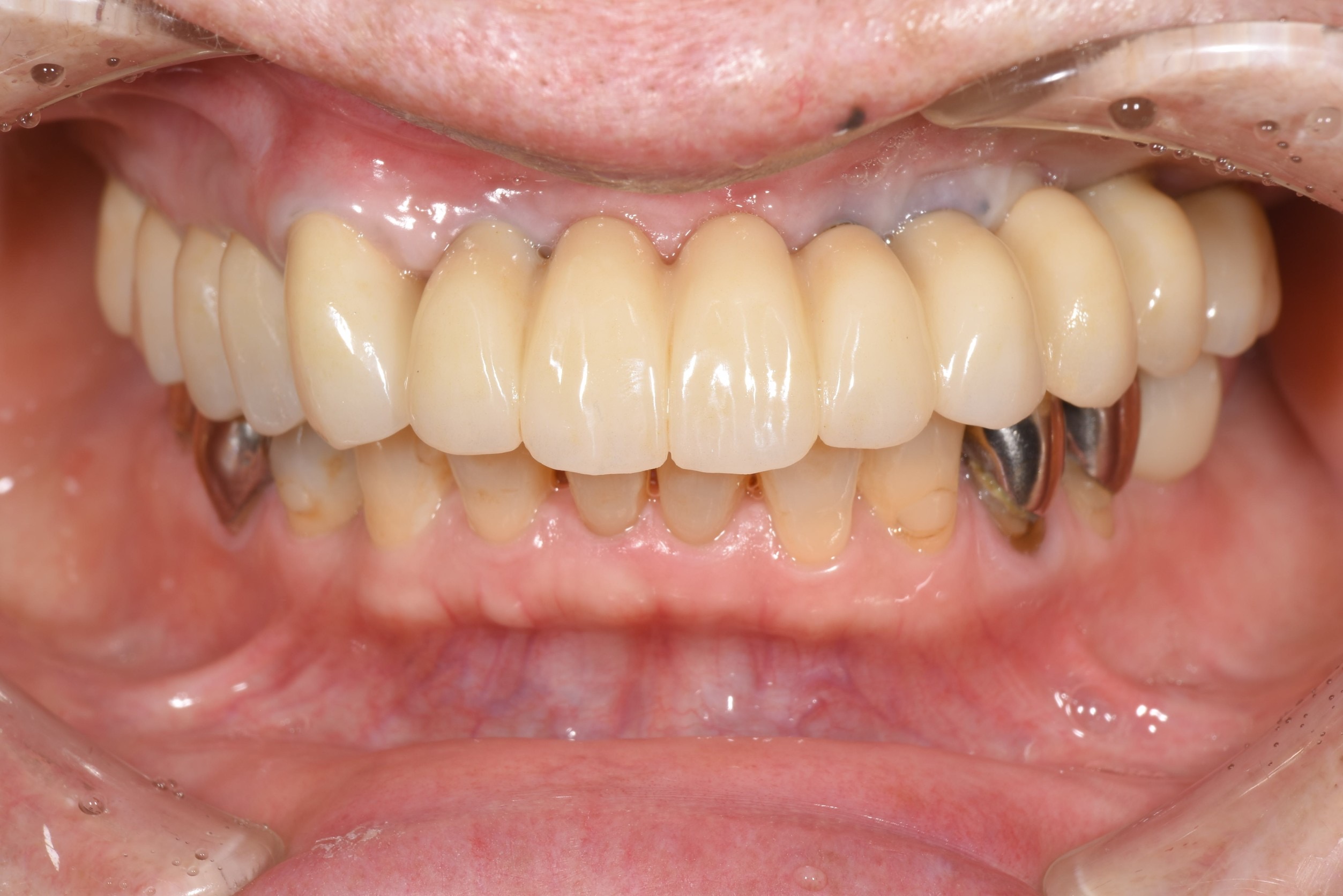
  • インプラント、被せ物治療 インプラント、被せ物治療

    インプラント、被せ物治療

  • インプラントオーバーデンチャー インプラントオーバーデンチャー

    インプラントオーバーデンチャー

  • 接着ブリッジ 接着ブリッジ

    接着ブリッジ

  • インプラントで全顎治療 インプラントで全顎治療

    インプラントで全顎治療