銀歯をセラミックインレーに

BLOG

銀歯をセラミックインレーに

銀歯をセラミックインレーに

銀歯をセラミックインレーに


Warning: Trying to access array offset on value of type bool in /home/xs831370/miyazono-dc.com/public_html/wp/wp-content/themes/miyazono-dc/single-blog.php on line 112

Warning: Trying to access array offset on value of type bool in /home/xs831370/miyazono-dc.com/public_html/wp/wp-content/themes/miyazono-dc/single-blog.php on line 112

Warning: Trying to access array offset on value of type bool in /home/xs831370/miyazono-dc.com/public_html/wp/wp-content/themes/miyazono-dc/single-blog.php on line 112

Warning: Trying to access array offset on value of type bool in /home/xs831370/miyazono-dc.com/public_html/wp/wp-content/themes/miyazono-dc/single-blog.php on line 112

Warning: Trying to access array offset on value of type bool in /home/xs831370/miyazono-dc.com/public_html/wp/wp-content/themes/miyazono-dc/single-blog.php on line 112

Warning: Trying to access array offset on value of type bool in /home/xs831370/miyazono-dc.com/public_html/wp/wp-content/themes/miyazono-dc/single-blog.php on line 112

銀歯をセラミックインレーに

銀歯をセラミックインレーに

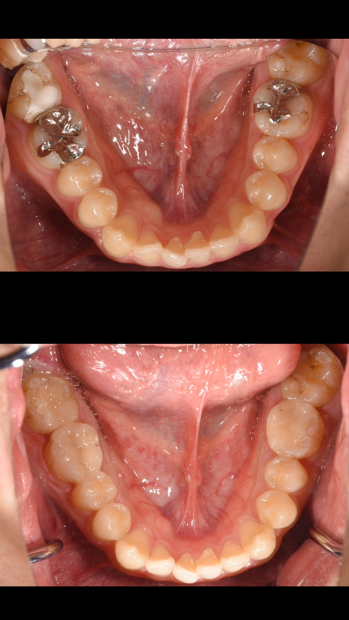
銀歯の色を気にされていたため、セラミックインレーで治療しました。

初回来院時にカウンセリング。

2回目来院時に8本まとめて銀歯、銀歯の下の虫歯を除去し、セラミックインレーの型取り。

3回目来院時に8本まとめてセラミックインレーのセットを行いました。

銀歯の適合が悪く、銀歯を除去すると全ての歯が虫歯になっている状態でしたので、歯を守るためにも治療を行ってよかったケースです。

基本的に保険治療の型取りは寒天+アルジネートで行うため、できてきた補綴物(銀歯)は適合がわるくなります。 適合が悪くなると、セメントスペース(接着剤の厚み)が多くなります。

時間が経つとセメントが劣化、溶出し、そこにプラークが入り込むことが、2次カリエス(銀歯の下の虫歯)の原因となります。

そのため自費のセラミックインレーやセラミッククラウンの型取りはシリコンで行います。

シリコン印象は寒天+アルジネート印象と比べてセメントスペースが1/10程度になるため、2次カリエスになりづらくなります。

またセラミックインレーは銀歯と比べ、熱伝導しにくいため、術後もしみにくいメリットがあります。

虫歯や銀歯などでお悩みがございましたらご相談ください。

監修者情報

院長 宮園 智之 - Tomoyuki Miyazono

枚方市の歯医者「宮園歯科医院」では、患者様に寄り添って症状やお悩みをお聞きし、ご納得いただいたうえで治療を進めることを重視しています。当院が常に心掛けているのは、患者様にとって安心できる歯科治療を行うことです。 こちらでは、当院の診療理念と院長についてご紹介しています。当院での治療をご検討中の方は、まずは当院の歯科治療に対する考え方をご覧ください。当院は、皆様が安心して通える歯科医院を目指して日々力を尽くしています。

経歴

  • 大阪府枚方市出身
  • 2006年 高槻高等学校 卒業
  • 2013年 朝日大学 歯学部 卒業
  • 2014年 朝日大学病院 勤務
  • 2015年 大阪府内医療法人 勤務
  • 2017年 大阪府内医療法人 院長 理事就任
  • 2020年 宮園歯科医院 勤務
  • 2022年 宮園歯科医院 院長就任

所属・学会

  • JIADS エンドコース
  • JIADS 補綴コース
  • JIADS デンチャーコース
  • JIADS ペリオコース
  • JIADS 再生医療コース
  • 大森塾 5期
  • 日本臨床歯周病学会 会員
  • 日本口腔インプラント学会・JACID