スタッフブログ

  • Top
  • スタッフブログ
  • 駐車場が5台に増えました。

    駐車場が5台に増えました。

  • インプラント抜歯即時埋入

    インプラント抜歯即時埋入

  • インプラントメーカーについて

    インプラントメーカーについて

  • インプラント治療の治療期間

    インプラント治療の治療期間

  • インプラント治療のリスクについて

    インプラント治療のリスクについて

  • お子様の虫歯治療について(小児歯科)

    お子様の虫歯治療について(小児歯科)

  • 子供の虫歯はなぜ出来るのか(小児歯科)

    子供の虫歯はなぜ出来るのか(小児歯科)

  • インプラント治療が出来る場合、できない場合

    インプラント治療が出来る場合、できない場合

  • インプラント治療の精度を上げる為に

    インプラント治療の精度を上げる為に

  • 12/31まで診療:年末年始の診療について

    12/31まで診療:年末年始の診療について

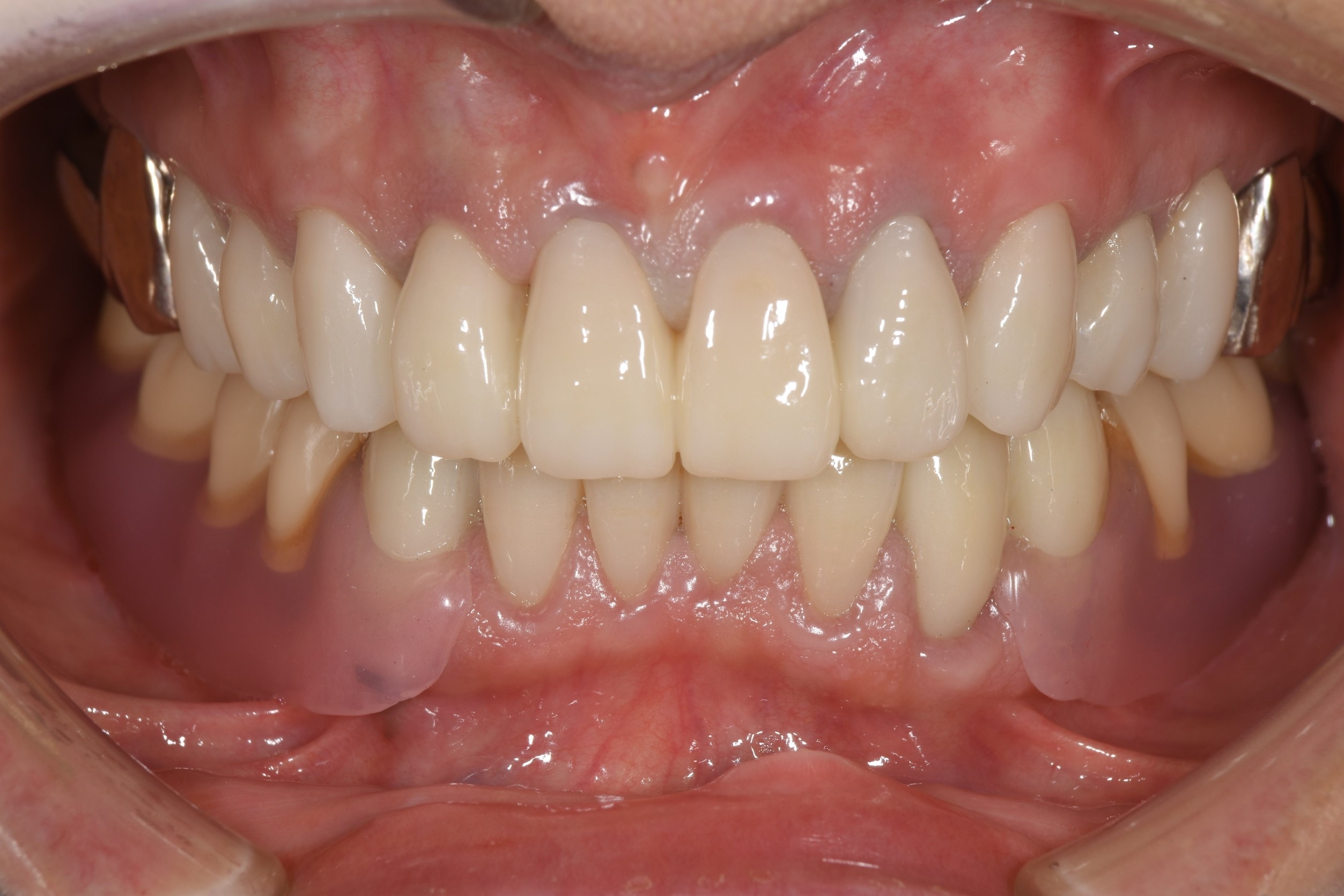
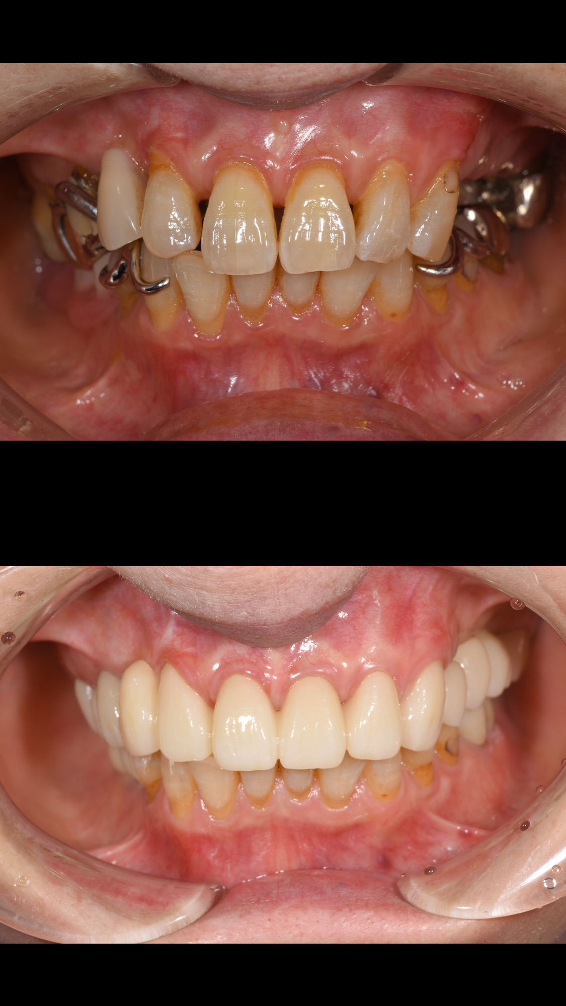
  • 被せ物の種類について

    被せ物の種類について

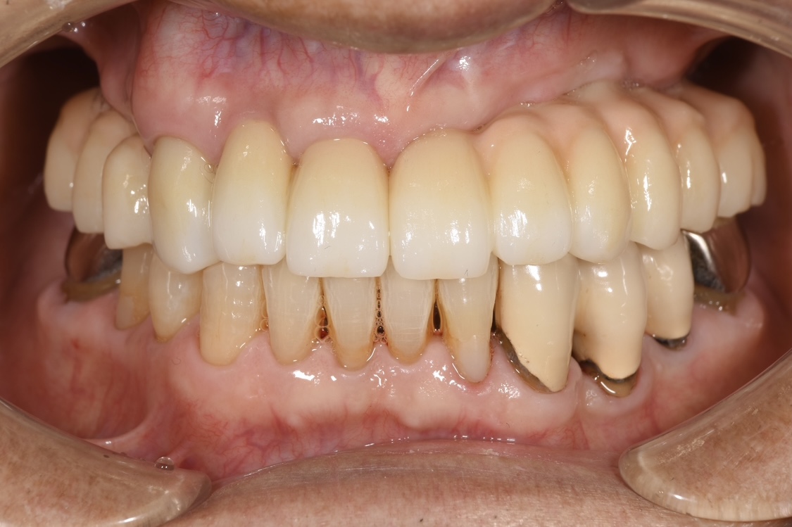
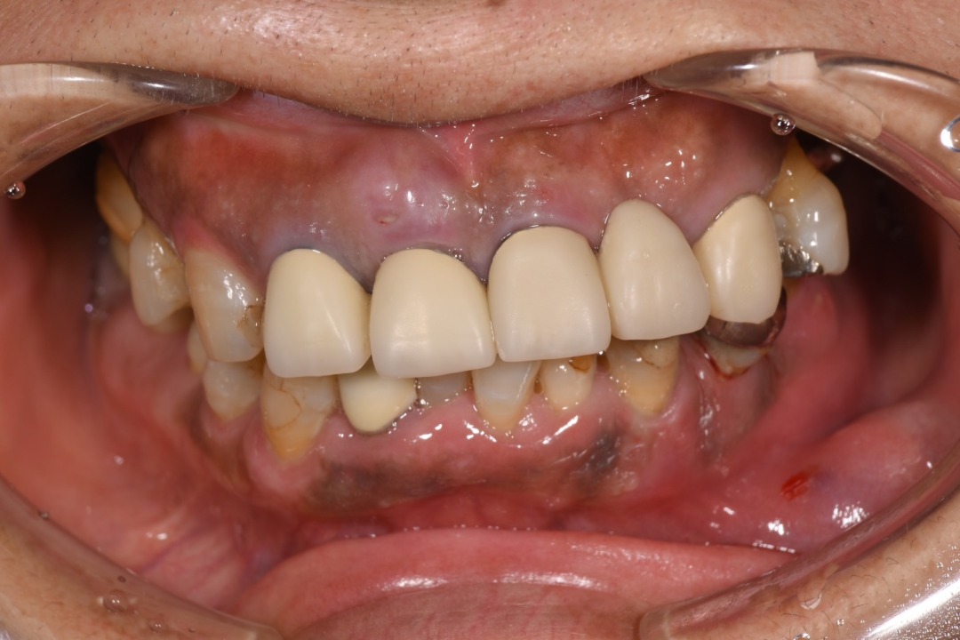
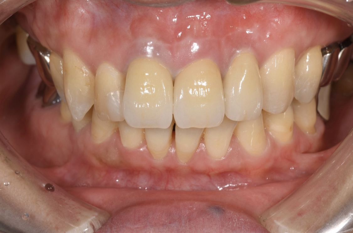
  • ノンクラスプデンチャー(バネのない入れ歯)

    ノンクラスプデンチャー(バネのない入れ歯)

  • 長持ちするインプラント

    長持ちするインプラント

  • 根管治療と歯根端切除術について

    根管治療と歯根端切除術について

  • 総義歯、総入れ歯について

    総義歯、総入れ歯について

  • インプラントの保証期間について

    インプラントの保証期間について